• 文献检索
  • 文档翻译
  • 深度研究
  • 学术资讯
  • Suppr Zotero 插件Zotero 插件
  • 邀请有礼
  • 套餐&价格
  • 历史记录
应用&插件
Suppr Zotero 插件Zotero 插件浏览器插件Mac 客户端Windows 客户端微信小程序
定价
高级版会员购买积分包购买API积分包
服务
文献检索文档翻译深度研究API 文档MCP 服务
关于我们
关于 Suppr公司介绍联系我们用户协议隐私条款
关注我们

Suppr 超能文献

核心技术专利:CN118964589B侵权必究
粤ICP备2023148730 号-1Suppr @ 2026

文献检索

告别复杂PubMed语法,用中文像聊天一样搜索,搜遍4000万医学文献。AI智能推荐,让科研检索更轻松。

立即免费搜索

文件翻译

保留排版,准确专业,支持PDF/Word/PPT等文件格式,支持 12+语言互译。

免费翻译文档

深度研究

AI帮你快速写综述,25分钟生成高质量综述,智能提取关键信息,辅助科研写作。

立即免费体验

去分化脂肪肉瘤的生物学特性与管理:现状与展望

Biology and Management of Dedifferentiated Liposarcoma: State of the Art and Perspectives.

作者信息

Nishio Jun, Nakayama Shizuhide, Nabeshima Kazuki, Yamamoto Takuaki

机构信息

Department of Orthopaedic Surgery, Faculty of Medicine, Fukuoka University, 7-45-1 Nanakuma, Jonan-ku, Fukuoka 814-0180, Japan.

Department of Pathology, Faculty of Medicine, Fukuoka University, 7-45-1 Nanakuma, Jonan-ku, Fukuoka 814-0180, Japan.

出版信息

J Clin Med. 2021 Jul 22;10(15):3230. doi: 10.3390/jcm10153230.

DOI:10.3390/jcm10153230
PMID:34362013
原文链接:https://pmc.ncbi.nlm.nih.gov/articles/PMC8348700/
Abstract

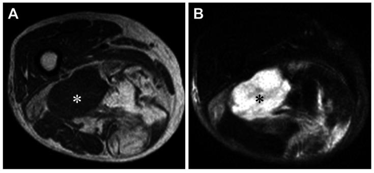
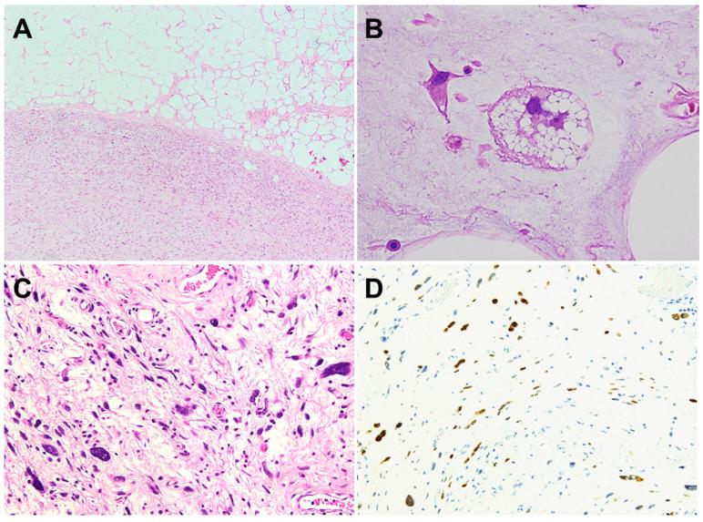
Dedifferentiated liposarcoma (DDL) is defined as the transition from well-differentiated liposarcoma (WDL)/atypical lipomatous tumor (ALT) to non-lipogenic sarcoma, which arises mostly in the retroperitoneum and deep soft tissue of proximal extremities. It is characterized by a supernumerary ring and giant marker chromosomes, both of which contain amplified sequences of 12q13-15 including () and () cell cycle oncogenes. Detection of (and/or ) amplification serves to distinguish DDL from other undifferentiated sarcomas. Recently, - fusion genes have been identified in a subset of DDL. However, the genetic events associated with dedifferentiation of WDL/ALT remain to be clarified. The standard treatment for localized DDL is surgery, with or without radiotherapy. In advanced disease, the standard first-line therapy is an anthracycline-based regimen, with either single-agent anthracycline or anthracycline in combination with the alkylating agent ifosfamide. Unfortunately, this regimen has not necessarily led to a satisfactory clinical outcome. Recent advances in the understanding of the pathogenesis of DDL may allow for the development of more-effective innovative therapeutic strategies. This review provides an overview of the current knowledge on the clinical presentation, pathogenesis, histopathology and treatment of DDL.

摘要

去分化脂肪肉瘤(DDL)被定义为从高分化脂肪肉瘤(WDL)/非典型脂肪瘤性肿瘤(ALT)向非脂肪生成性肉瘤的转变,其主要发生于腹膜后和近端肢体的深部软组织。它的特征是有额外的环状和巨大标记染色体,两者均包含12q13 - 15的扩增序列,包括()和()细胞周期致癌基因。检测(和/或)扩增有助于将DDL与其他未分化肉瘤区分开来。最近,在一部分DDL中发现了 - 融合基因。然而,与WDL/ALT去分化相关的遗传事件仍有待阐明。局限性DDL的标准治疗方法是手术,可联合或不联合放疗。对于晚期疾病,标准的一线治疗方案是以蒽环类药物为基础的方案,可使用单药蒽环类药物,或蒽环类药物与烷化剂异环磷酰胺联合使用。不幸的是,该方案不一定能带来令人满意的临床结果。对DDL发病机制认识的最新进展可能有助于开发更有效的创新治疗策略。本综述概述了目前关于DDL的临床表现、发病机制、组织病理学和治疗的知识。

https://cdn.ncbi.nlm.nih.gov/pmc/blobs/cd0d/8348700/eb1b926ba0dc/jcm-10-03230-g005.jpg
https://cdn.ncbi.nlm.nih.gov/pmc/blobs/cd0d/8348700/f3d76472c7b6/jcm-10-03230-g001.jpg
https://cdn.ncbi.nlm.nih.gov/pmc/blobs/cd0d/8348700/f9629c26aa81/jcm-10-03230-g002.jpg
https://cdn.ncbi.nlm.nih.gov/pmc/blobs/cd0d/8348700/8f7d29b6ff3b/jcm-10-03230-g003.jpg
https://cdn.ncbi.nlm.nih.gov/pmc/blobs/cd0d/8348700/28d2de6ae769/jcm-10-03230-g004.jpg
https://cdn.ncbi.nlm.nih.gov/pmc/blobs/cd0d/8348700/eb1b926ba0dc/jcm-10-03230-g005.jpg
https://cdn.ncbi.nlm.nih.gov/pmc/blobs/cd0d/8348700/f3d76472c7b6/jcm-10-03230-g001.jpg
https://cdn.ncbi.nlm.nih.gov/pmc/blobs/cd0d/8348700/f9629c26aa81/jcm-10-03230-g002.jpg
https://cdn.ncbi.nlm.nih.gov/pmc/blobs/cd0d/8348700/8f7d29b6ff3b/jcm-10-03230-g003.jpg
https://cdn.ncbi.nlm.nih.gov/pmc/blobs/cd0d/8348700/28d2de6ae769/jcm-10-03230-g004.jpg
https://cdn.ncbi.nlm.nih.gov/pmc/blobs/cd0d/8348700/eb1b926ba0dc/jcm-10-03230-g005.jpg

相似文献

1
Biology and Management of Dedifferentiated Liposarcoma: State of the Art and Perspectives.去分化脂肪肉瘤的生物学特性与管理:现状与展望
J Clin Med. 2021 Jul 22;10(15):3230. doi: 10.3390/jcm10153230.
2
Well-differentiated liposarcoma and dedifferentiated liposarcoma: An updated review.高分化脂肪肉瘤和去分化脂肪肉瘤:最新综述。
Semin Diagn Pathol. 2019 Mar;36(2):112-121. doi: 10.1053/j.semdp.2019.02.006. Epub 2019 Feb 28.
3
Expression of FRS2 in atypical lipomatous tumor/well-differentiated liposarcoma and dedifferentiated liposarcoma: an immunohistochemical analysis of 182 cases with genetic data.FRS2 在非典型性脂肪肉瘤/高分化脂肪肉瘤和去分化脂肪肉瘤中的表达:182 例病例的免疫组化分析及遗传学数据。
Diagn Pathol. 2021 Oct 25;16(1):96. doi: 10.1186/s13000-021-01161-9.
4
Overlapping features between dedifferentiated liposarcoma and undifferentiated high-grade pleomorphic sarcoma.去分化脂肪肉瘤与未分化高级别多形性肉瘤之间的重叠特征。
Am J Surg Pathol. 2009 Nov;33(11):1594-600. doi: 10.1097/PAS.0b013e3181accb01.
5
A novel sclerosing atypical lipomatous tumor/well-differentiated liposarcoma in a 7-year-old girl: report of a case with molecular confirmation.一例 7 岁女孩的新型硬化性非典型性脂肪瘤/高分化脂肪肉瘤:分子学确诊病例报告。
Hum Pathol. 2018 Jan;71:41-46. doi: 10.1016/j.humpath.2017.06.015. Epub 2017 Jul 11.
6
Diagnostic utility of p16, CDK4, and MDM2 as an immunohistochemical panel in distinguishing well-differentiated and dedifferentiated liposarcomas from other adipocytic tumors.p16、CDK4 和 MDM2 的免疫组织化学组合在鉴别高分化和去分化脂肪肉瘤与其他脂肪性肿瘤中的诊断效用。
Am J Surg Pathol. 2012 Mar;36(3):462-9. doi: 10.1097/PAS.0b013e3182417330.
7
Dedifferentiated Liposarcoma: Updates on Morphology, Genetics, and Therapeutic Strategies.去分化脂肪肉瘤:形态学、遗传学及治疗策略的最新进展
Adv Anat Pathol. 2016 Jan;23(1):30-40. doi: 10.1097/PAP.0000000000000101.
8
Dedifferentiated liposarcoma with lipoma-like well-differentiated liposarcoma: clinicopathological study of 30 cases, with particular attention to the comingling pattern of well- and dedifferentiated components: a proposal for regrouping of the present subclassification of well-differentiated liposarcoma and dedifferentiated liposarcoma.去分化脂肪肉瘤合并脂肪瘤样高分化脂肪肉瘤:30例临床病理研究,特别关注高分化和去分化成分的混合模式:对高分化脂肪肉瘤和去分化脂肪肉瘤现有亚分类重新分组的建议
Int J Surg Pathol. 2013 Feb;21(1):15-21. doi: 10.1177/1066896912449040. Epub 2012 Jun 6.
9
Biology and Management of Deep-seated Atypical Lipomatous Tumor of the Extremities.肢体深部非典型性脂肪肿瘤的生物学特性与治疗管理。
Anticancer Res. 2023 Oct;43(10):4295-4301. doi: 10.21873/anticanres.16624.
10
Histological Classification and Immunohistochemical Evaluation of MDM2 and CDK4 Expression in Canine Liposarcoma.犬脂肪肉瘤中MDM2和CDK4表达的组织学分类及免疫组化评估
Vet Pathol. 2016 Jul;53(4):773-80. doi: 10.1177/0300985815626573. Epub 2016 Mar 18.

引用本文的文献

1
Successful Outcome in a Geriatric Patient With Giant Dedifferentiated Liposarcoma of the Lower Extremity: A Case Report.一名老年患者下肢巨大去分化脂肪肉瘤的成功治疗结果:病例报告
Cureus. 2025 Jul 12;17(7):e87800. doi: 10.7759/cureus.87800. eCollection 2025 Jul.
2
A Case Report and Literature Review on a Primary Dedifferentiated Liposarcoma of the Gallbladder.胆囊原发性去分化脂肪肉瘤病例报告及文献复习
Cureus. 2025 Jul 4;17(7):e87302. doi: 10.7759/cureus.87302. eCollection 2025 Jul.
3
Recurrent giant retroperitoneal dedifferentiated liposarcoma requiring challenging multiorgan resection: a case report.

本文引用的文献

1
Health-related quality of life and pain with selinexor in patients with advanced dedifferentiated liposarcoma.在晚期去分化脂肪肉瘤患者中,selinexor 与健康相关的生活质量和疼痛。
Future Oncol. 2021 Aug;17(22):2923-2939. doi: 10.2217/fon-2021-0284. Epub 2021 Apr 15.
2
Impact of Pathological Stratification on the Clinical Outcomes of Advanced Well-Differentiated/Dedifferentiated Liposarcoma Treated with Trabectedin.病理分层对曲贝替定治疗晚期高分化/去分化脂肪肉瘤临床结局的影响
Cancers (Basel). 2021 Mar 22;13(6):1453. doi: 10.3390/cancers13061453.
3
MDM2 Amplified Sarcomas: A Literature Review.
复发性巨大腹膜后去分化脂肪肉瘤需行具有挑战性的多器官切除术:一例报告
J Med Case Rep. 2025 Jul 3;19(1):313. doi: 10.1186/s13256-025-05379-9.
4
Clinicopathological and molecular diagnostic features of liposarcoma: A study of 27 cases.脂肪肉瘤的临床病理及分子诊断特征:27例病例研究
Cytojournal. 2025 Apr 1;22:40. doi: 10.25259/Cytojournal_246_2024. eCollection 2025.
5
Real-world survival outcomes and MDM2 prevalence in US patients with metastatic dedifferentiated liposarcoma.美国转移性去分化脂肪肉瘤患者的真实世界生存结果及MDM2患病率
Future Oncol. 2025 Jun;21(14):1797-1807. doi: 10.1080/14796694.2025.2502319. Epub 2025 Jun 4.
6
Epidemiology, Treatment Patterns, Survival, Healthcare Resource Utilization, and Costs of Dedifferentiated Liposarcoma (DDLPS) in Canada: A Retrospective Cohort Study Using Administrative Databases in Ontario.加拿大去分化脂肪肉瘤(DDLPS)的流行病学、治疗模式、生存率、医疗资源利用及成本:一项使用安大略省行政数据库的回顾性队列研究
Curr Oncol. 2025 May 9;32(5):273. doi: 10.3390/curroncol32050273.
7
A surgical approach to liposarcoma with retroperitoneal location: A case report and literature review.一种针对腹膜后脂肪肉瘤的手术方法:病例报告及文献综述。
Medicine (Baltimore). 2025 Apr 25;104(17):e42070. doi: 10.1097/MD.0000000000042070.
8
Combination of immune checkpoint inhibitors and anthracyclines as a potential first-line regimen for dedifferentiated liposarcoma: systematic review and meta-analysis.免疫检查点抑制剂与蒽环类药物联合作为去分化脂肪肉瘤潜在一线治疗方案的系统评价与荟萃分析
Cancer Immunol Immunother. 2025 Apr 21;74(6):179. doi: 10.1007/s00262-025-04007-1.
9
Recurrent dedifferentiated liposarcoma with histological grade progression: a case report.伴有组织学分级进展的复发性去分化脂肪肉瘤:一例报告
Ecancermedicalscience. 2025 Jan 22;19:1831. doi: 10.3332/ecancer.2025.1831. eCollection 2025.
10
Case Report: an extremely rare case of giant dedifferentiated retroperitoneal liposarcoma.病例报告:一例极其罕见的巨大去分化型腹膜后脂肪肉瘤病例。
Front Oncol. 2025 Mar 17;15:1489833. doi: 10.3389/fonc.2025.1489833. eCollection 2025.
MDM2基因扩增的肉瘤:文献综述
Diagnostics (Basel). 2021 Mar 11;11(3):496. doi: 10.3390/diagnostics11030496.
4
Selinexor versus doxorubicin in dedifferentiated liposarcoma PDXs: evidence of greater activity and apoptotic response dependent on p53 nuclear accumulation and survivin down-regulation.塞利尼索与多柔比星在去分化脂肪肉瘤人源肿瘤异种移植模型中的比较:基于p53核聚集和生存素下调具有更强活性及凋亡反应的证据
J Exp Clin Cancer Res. 2021 Mar 1;40(1):83. doi: 10.1186/s13046-021-01886-x.
5
What Are the Results of Resection of Localized Dedifferentiated Liposarcomas in the Extremities?肢体局限性去分化脂肪肉瘤切除的结果如何?
Clin Orthop Relat Res. 2020 Nov;478(11):2550-2561. doi: 10.1097/CORR.0000000000001338.
6
Integrative assessment of clinicopathological parameters and the expression of PD-L1, PD-L2 and PD-1 in tumor cells of retroperitoneal sarcoma.腹膜后肉瘤肿瘤细胞中临床病理参数与PD-L1、PD-L2及PD-1表达的综合评估
Oncol Lett. 2020 Nov;20(5):190. doi: 10.3892/ol.2020.12052. Epub 2020 Sep 3.
7
Preoperative radiotherapy plus surgery versus surgery alone for patients with primary retroperitoneal sarcoma (EORTC-62092: STRASS): a multicentre, open-label, randomised, phase 3 trial.术前放疗加手术与单纯手术治疗原发性腹膜后肉瘤患者(EORTC-62092:STRASS):一项多中心、开放标签、随机、III 期临床试验。
Lancet Oncol. 2020 Oct;21(10):1366-1377. doi: 10.1016/S1470-2045(20)30446-0. Epub 2020 Sep 14.
8
Randomized Comparison of Pazopanib and Doxorubicin as First-Line Treatment in Patients With Metastatic Soft Tissue Sarcoma Age 60 Years or Older: Results of a German Intergroup Study.帕唑帕尼与多柔比星一线治疗 60 岁及以上转移性软组织肉瘤患者的随机比较:德国协作组研究结果。
J Clin Oncol. 2020 Oct 20;38(30):3555-3564. doi: 10.1200/JCO.20.00714. Epub 2020 Aug 24.
9
Assessment of Predictive Biomarkers of the Response to Pazopanib Based on an Integrative Analysis of High-grade Soft-tissue Sarcomas: Analysis of a Tumor Sample from a Responder and Patients with Other Soft-tissue Sarcomas.基于高级软组织肉瘤综合分析的帕唑帕尼反应预测生物标志物评估: responder 肿瘤样本和其他软组织肉瘤患者的分析。
Clin Orthop Relat Res. 2020 Nov;478(11):2461-2476. doi: 10.1097/CORR.0000000000001322.
10
PET/CT Imaging as a Diagnostic Tool in Distinguishing Well-Differentiated versus Dedifferentiated Liposarcoma.PET/CT成像作为鉴别高分化与去分化脂肪肉瘤的诊断工具
Sarcoma. 2020 May 29;2020:8363986. doi: 10.1155/2020/8363986. eCollection 2020.