Suppr超能文献

由 COVID-19 引发的继发性硬化性胆管炎病例。

A case of secondary sclerosing cholangitis due to COVID-19.

机构信息

NSLIJ Northwell Health System, Department of Radiology, 300 Community Drive, Manhasset, NY 11030, United States.

NSUH Northwell Health System, Department of Radiology, 300 Community Drive, Manhasset, NY 11030, United States.

出版信息

Clin Imaging. 2021 Dec;80:239-242. doi: 10.1016/j.clinimag.2021.07.017. Epub 2021 Jul 27.

Abstract

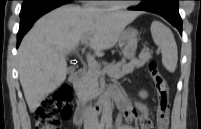
COVID-19 was first recognized by the World Health Organization (WHO) in December 2019 and declared a global pandemic in March 2020. Although COVID-19 primarily results in pulmonary symptoms, it is becoming apparent that it can lead to multisystemic manifestations. Liver damage with elevated AST and ALT is seen in patients with COVID-19. Although the etiology of liver damage is still debated, biliary damage is rarely seen. This case demonstrates a potential complication of COVID-19 in a previously healthy patient. The patient contracted COVID-19 in March 2020 and endured a complicated course including intubation, multiple readmissions, and chronic abdominal pain. He is now awaiting a liver transplant. Our case portrays biliary damage as an additional possible complication of COVID-19 and the importance of imaging in its diagnosis.

摘要

新型冠状病毒肺炎(COVID-19)于 2019 年 12 月被世界卫生组织(WHO)首次确认,并于 2020 年 3 月宣布为全球大流行。尽管 COVID-19 主要表现为肺部症状,但越来越明显的是,它可能导致多系统表现。COVID-19 患者会出现 AST 和 ALT 升高的肝损伤。尽管肝损伤的病因仍存在争议,但很少见到胆道损伤。本病例展示了一例既往健康患者 COVID-19 的潜在并发症。该患者于 2020 年 3 月感染 COVID-19,经历了包括插管、多次再次入院和慢性腹痛在内的复杂病程。他目前正在等待肝移植。我们的病例表明,胆道损伤是 COVID-19 的另一种可能并发症,影像学检查对其诊断具有重要意义。

https://cdn.ncbi.nlm.nih.gov/pmc/blobs/70b2/8314797/fe693e8481a9/gr1_lrg.jpg

文献检索

告别复杂PubMed语法,用中文像聊天一样搜索,搜遍4000万医学文献。AI智能推荐,让科研检索更轻松。

立即免费搜索

文件翻译

保留排版,准确专业,支持PDF/Word/PPT等文件格式,支持 12+语言互译。

免费翻译文档

深度研究

AI帮你快速写综述,25分钟生成高质量综述,智能提取关键信息,辅助科研写作。

立即免费体验