• 文献检索
  • 文档翻译
  • 深度研究
  • 学术资讯
  • Suppr Zotero 插件Zotero 插件
  • 邀请有礼
  • 套餐&价格
  • 历史记录
应用&插件
Suppr Zotero 插件Zotero 插件浏览器插件Mac 客户端Windows 客户端微信小程序
定价
高级版会员购买积分包购买API积分包
服务
文献检索文档翻译深度研究API 文档MCP 服务
关于我们
关于 Suppr公司介绍联系我们用户协议隐私条款
关注我们

Suppr 超能文献

核心技术专利:CN118964589B侵权必究
粤ICP备2023148730 号-1Suppr @ 2026

文献检索

告别复杂PubMed语法,用中文像聊天一样搜索,搜遍4000万医学文献。AI智能推荐,让科研检索更轻松。

立即免费搜索

文件翻译

保留排版,准确专业,支持PDF/Word/PPT等文件格式,支持 12+语言互译。

免费翻译文档

深度研究

AI帮你快速写综述,25分钟生成高质量综述,智能提取关键信息,辅助科研写作。

立即免费体验

SPP1通过Wnt/β-连环蛋白途径调节胃腺癌的放疗敏感性。

SPP1 Regulates Radiotherapy Sensitivity of Gastric Adenocarcinoma via the Wnt/Beta-Catenin Pathway.

作者信息

Sun Gangyi, Shang Ziyi, Liu Wenjia

机构信息

Department of Massage, The Affiliated Hospital of Shandong University of Traditional Chinese Medicine, Jinan 250000, China.

Treating Potential Diseases Branch, The Affiliated Hospital of Shandong University of Traditional Chinese Medicine, Jinan 250000, China.

出版信息

J Oncol. 2021 Jul 27;2021:1642852. doi: 10.1155/2021/1642852. eCollection 2021.

DOI:10.1155/2021/1642852
PMID:34367279
原文链接:https://pmc.ncbi.nlm.nih.gov/articles/PMC8337119/
Abstract

PURPOSE

Radiotherapy has been widely applied for the treatment of locally advanced and metastatic gastric adenocarcinoma (GAC). The aberrant expression of secreted phosphoprotein 1 (SPP1) is involved in radiosensitivity in a variety of cancers. The present study aims to characterize the clinical significance of SPP1 expression in GAC and its role and underlying mechanism of radiosensitivity.

METHODS

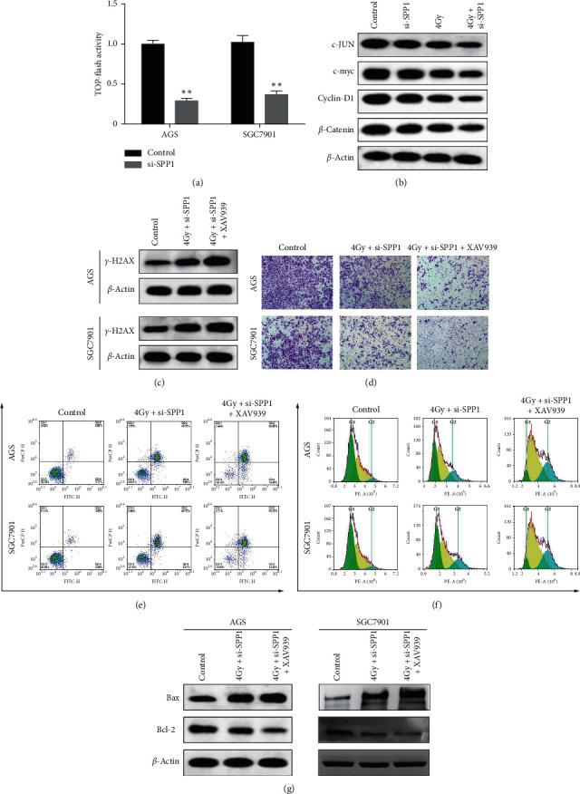
The SPP1 expression in GAC tissues and pericarcinomatous tissues was determined by QRT-PCR and immunohistochemistry, and the SPP1 expression in GAC cell lines (BGC823, AGS, and SGC7901) and normal human gastric epithelial cell line (GES-1) was determined by western blot. -test, one-way ANOVA, Cox regression model, and Kaplan-Meier plotter were applied to further assess the association between SPP1 expression and the prognosis of the patients with GAC. After irradiation and transfection with si-SPP1 combined with or without Wnt/-catenin pathway inhibitor (XAV939), western blot, transwell, flow cytometry, and TOP-flash reporter assay were applied to detect DNA damage, invasion, apoptosis, cell cycle, and activation of Wnt/-catenin pathway, respectively.

RESULTS

SPP1 mRNA and protein levels in GAC tissues were both dramatically higher than those in pericarcinomatous tissues. SPP1 overexpression was positively associated with tumor size, nodal status, and histological grade of GAC patients. SPP1 overexpression, depth of invasion, and nodal status were independent prognostic factors for the patients. High SPP1 expression was negatively related to the overall survival in patients with GAC. We found that SPP1 knockdown enhanced the radiosensitivity of GAC cell lines (AGS and SGC7901). Increasing H2AX phosphorylation, apoptosis and G2/M phase arrest, and decreasing invasion were observed after the administration of si-SPP1 and irradiation. Radiosensitivity of SPP1 was mainly dependent on the Wnt/-catenin signal pathway. XAV939 could enhance these phenomena induced by irradiation combined with SPP1 knockdown.

CONCLUSION

This study demonstrates that SPP1 suppresses Wnt/-catenin signaling to enhance the radiosensitivity of GAC via inhibiting invasion and accelerating DNA damage, G2/M phase arrest, and apoptosis.

摘要

目的

放射疗法已广泛应用于局部晚期和转移性胃腺癌(GAC)的治疗。分泌性磷蛋白1(SPP1)的异常表达与多种癌症的放射敏感性有关。本研究旨在探讨SPP1表达在GAC中的临床意义及其在放射敏感性中的作用和潜在机制。

方法

采用实时定量聚合酶链反应(QRT-PCR)和免疫组织化学法检测GAC组织和癌旁组织中SPP1的表达,采用蛋白质免疫印迹法检测GAC细胞系(BGC823、AGS和SGC7901)及人正常胃上皮细胞系(GES-1)中SPP1的表达。采用t检验、单因素方差分析、Cox回归模型和Kaplan-Meier绘图法进一步评估SPP1表达与GAC患者预后的相关性。在照射并转染小干扰RNA(si-SPP1)联合或不联合Wnt/β-连环蛋白信号通路抑制剂(XAV939)后,分别采用蛋白质免疫印迹法、Transwell小室实验、流式细胞术和TOP-flash报告基因检测法检测DNA损伤、侵袭、凋亡、细胞周期及Wnt/β-连环蛋白信号通路的激活情况。

结果

GAC组织中SPP1的mRNA和蛋白水平均显著高于癌旁组织。SPP1过表达与GAC患者的肿瘤大小、淋巴结状态及组织学分级呈正相关。SPP1过表达、浸润深度和淋巴结状态是患者的独立预后因素。GAC患者中高SPP1表达与总生存期呈负相关。我们发现敲低SPP1可增强GAC细胞系(AGS和SGC7901)的放射敏感性。给予si-SPP1并照射后,可观察到H2AX磷酸化增加、凋亡增加、G2/M期阻滞以及侵袭减少。SPP1的放射敏感性主要依赖于Wnt/β-连环蛋白信号通路。XAV939可增强照射联合敲低SPP1诱导的上述现象。

结论

本研究表明,SPP1通过抑制侵袭、加速DNA损伤、G2/M期阻滞和凋亡来抑制Wnt/β-连环蛋白信号传导,从而增强GAC的放射敏感性。

https://cdn.ncbi.nlm.nih.gov/pmc/blobs/7e96/8337119/aaecdeab8072/JO2021-1642852.003.jpg
https://cdn.ncbi.nlm.nih.gov/pmc/blobs/7e96/8337119/4ae48b302918/JO2021-1642852.001.jpg
https://cdn.ncbi.nlm.nih.gov/pmc/blobs/7e96/8337119/cb04217f0c7b/JO2021-1642852.002.jpg
https://cdn.ncbi.nlm.nih.gov/pmc/blobs/7e96/8337119/aaecdeab8072/JO2021-1642852.003.jpg
https://cdn.ncbi.nlm.nih.gov/pmc/blobs/7e96/8337119/4ae48b302918/JO2021-1642852.001.jpg
https://cdn.ncbi.nlm.nih.gov/pmc/blobs/7e96/8337119/cb04217f0c7b/JO2021-1642852.002.jpg
https://cdn.ncbi.nlm.nih.gov/pmc/blobs/7e96/8337119/aaecdeab8072/JO2021-1642852.003.jpg

相似文献

1
SPP1 Regulates Radiotherapy Sensitivity of Gastric Adenocarcinoma via the Wnt/Beta-Catenin Pathway.SPP1通过Wnt/β-连环蛋白途径调节胃腺癌的放疗敏感性。
J Oncol. 2021 Jul 27;2021:1642852. doi: 10.1155/2021/1642852. eCollection 2021.
2
Knockdown of TC-1 enhances radiosensitivity of non-small cell lung cancer via the Wnt/β-catenin pathway.敲低 TC-1 可通过 Wnt/β-连环蛋白通路增强非小细胞肺癌的放射敏感性。
Biol Open. 2016 Apr 15;5(4):492-8. doi: 10.1242/bio.017608.
3
MiRNA-27a promotes the proliferation and invasion of human gastric cancer MGC803 cells by targeting via Wnt/β-catenin signaling pathway.微小RNA-27a通过Wnt/β-连环蛋白信号通路靶向作用促进人胃癌MGC803细胞的增殖和侵袭。
Am J Cancer Res. 2017 Mar 1;7(3):405-416. eCollection 2017.
4
LKB1 inhibits the proliferation of gastric cancer cells by suppressing the nuclear translocation of Yap and β-catenin.LKB1通过抑制Yap和β-连环蛋白的核转位来抑制胃癌细胞的增殖。
Int J Mol Med. 2016 Apr;37(4):1039-48. doi: 10.3892/ijmm.2016.2494. Epub 2016 Feb 19.
5
Overexpression of β-Catenin Decreases the Radiosensitivity of Human Nasopharyngeal Carcinoma CNE-2 Cells.β-连环蛋白的过表达降低了人鼻咽癌CNE-2细胞的放射敏感性。
Cell Physiol Biochem. 2018;50(5):1929-1944. doi: 10.1159/000494873. Epub 2018 Nov 5.
6
In vivo and in vitro effects of microRNA-27a on proliferation, migration and invasion of breast cancer cells through targeting of SFRP1 gene via Wnt/β-catenin signaling pathway.微小RNA-27a通过Wnt/β-连环蛋白信号通路靶向SFRP1基因对乳腺癌细胞增殖、迁移和侵袭的体内外作用
Oncotarget. 2017 Feb 28;8(9):15507-15519. doi: 10.18632/oncotarget.14662.
7
Overexpression of NCAPG inhibits cardia adenocarcinoma apoptosis and promotes epithelial-mesenchymal transition through the Wnt/β-catenin signaling pathway.NCAPG 的过表达通过 Wnt/β-catenin 信号通路抑制贲门腺癌细胞凋亡并促进上皮间质转化。
Gene. 2021 Jan 15;766:145163. doi: 10.1016/j.gene.2020.145163. Epub 2020 Sep 24.
8
BASP1 Suppresses Cell Growth and Metastasis through Inhibiting Wnt/-Catenin Pathway in Gastric Cancer.BASP1 通过抑制胃癌中的 Wnt/-Catenin 通路抑制细胞生长和转移。
Biomed Res Int. 2020 Dec 24;2020:8628695. doi: 10.1155/2020/8628695. eCollection 2020.
9
BATF2 reverses multidrug resistance of human gastric cancer cells by suppressing Wnt/β-catenin signaling.BATF2 通过抑制 Wnt/β-catenin 信号通路逆转人胃癌多药耐药。
In Vitro Cell Dev Biol Anim. 2019 Jun;55(6):445-452. doi: 10.1007/s11626-019-00360-5. Epub 2019 May 28.
10
Long non-coding RNA H19 regulates the development of gliomas through the Wnt/β-catenin signaling pathway.长非编码 RNA H19 通过 Wnt/β-catenin 信号通路调控胶质瘤的发生发展。
Eur Rev Med Pharmacol Sci. 2019 May;23(10):4243-4253. doi: 10.26355/eurrev_201905_17929.

引用本文的文献

1
A single-cell atlas deconstructs heterogeneity across multiple models in murine traumatic brain injury and identifies novel cell-specific targets.单细胞图谱解析了小鼠创伤性脑损伤中多个模型的异质性,并确定了新的细胞特异性靶点。
Neuron. 2024 Sep 25;112(18):3069-3088.e4. doi: 10.1016/j.neuron.2024.06.021. Epub 2024 Jul 16.
2
Diagnostic role of SPP1 and collagen IV in a rat model of type 2 diabetes mellitus with MASLD.SPP1 和胶原 IV 在 2 型糖尿病合并代谢性脂肪性肝病大鼠模型中的诊断作用。
Sci Rep. 2024 Jun 17;14(1):13943. doi: 10.1038/s41598-024-64857-0.
3
Integrative multi-omics characterization reveals sex differences in glioblastoma.

本文引用的文献

1
Hedgehog signaling enables repair of ribosomal DNA double-strand breaks.刺猬信号通路能够修复核糖体 DNA 双链断裂。
Nucleic Acids Res. 2020 Oct 9;48(18):10342-10352. doi: 10.1093/nar/gkaa733.
2
Conditional Knockdown of Osteopontin Inhibits Breast Cancer Skeletal Metastasis.条件性敲低骨桥蛋白抑制乳腺癌骨转移。
Int J Mol Sci. 2019 Oct 4;20(19):4918. doi: 10.3390/ijms20194918.
3
Targeting the canonical Wnt/β-catenin pathway in cancer radioresistance: Updates on the molecular mechanisms.靶向癌症放射抗性中的经典Wnt/β-连环蛋白信号通路:分子机制的最新进展
综合多组学特征分析揭示胶质母细胞瘤的性别差异。
Biol Sex Differ. 2024 Mar 16;15(1):23. doi: 10.1186/s13293-024-00601-7.
4
Identification of differentially expressed genes associated with the pathogenesis of gastric cancer by bioinformatics analysis.基于生物信息学分析鉴定与胃癌发病机制相关的差异表达基因。
BMC Med Genomics. 2023 Dec 1;16(1):311. doi: 10.1186/s12920-023-01720-7.
5
Discovery of the inhibitor of DNA binding 1 as a novel marker for radioresistance in pancreatic cancer using genome-wide RNA-seq.利用全基因组RNA测序发现DNA结合抑制因子1作为胰腺癌放射抗性的新型标志物
Cancer Drug Resist. 2022 Oct 18;5(4):926-938. doi: 10.20517/cdr.2022.60. eCollection 2022.
6
ACY1 Downregulation Enhances the Radiosensitivity of Cetuximab-Resistant Colorectal Cancer by Inactivating the Wnt/β-Catenin Signaling Pathway.ACY1下调通过使Wnt/β-连环蛋白信号通路失活增强西妥昔单抗耐药结直肠癌的放射敏感性。
Cancers (Basel). 2022 Nov 21;14(22):5704. doi: 10.3390/cancers14225704.
J Cancer Res Ther. 2019;15(2):272-277. doi: 10.4103/jcrt.JCRT_421_18.
4
Upregulation of SIRT1 gene in gastric adenocarcinoma.胃腺癌中SIRT1基因的上调
Turk J Gastroenterol. 2019 Apr;30(4):326-330. doi: 10.5152/tjg.2019.18550.
5
Correlation of OPN gene expression with proliferation and apoptosis of ovarian cancer cells and prognosis of patients.骨桥蛋白(OPN)基因表达与卵巢癌细胞增殖、凋亡及患者预后的相关性
Oncol Lett. 2019 Mar;17(3):2788-2794. doi: 10.3892/ol.2019.9896. Epub 2019 Jan 7.
6
Overexpression of osteopontin promotes cell proliferation and migration in human nasopharyngeal carcinoma and is associated with poor prognosis.骨桥蛋白的过表达促进人鼻咽癌的细胞增殖和迁移,并与不良预后相关。
Eur Arch Otorhinolaryngol. 2018 Feb;275(2):525-534. doi: 10.1007/s00405-017-4827-x. Epub 2017 Dec 6.
7
Adjuvant radiotherapy improves overall survival in patients with resected gastric adenocarcinoma: A National Cancer Data Base analysis.辅助放疗可改善胃腺癌患者的总生存率:国家癌症数据库分析。
Cancer. 2017 Sep 1;123(17):3402-3409. doi: 10.1002/cncr.30748. Epub 2017 May 17.
8
New role of osteopontin in DNA repair and impact on human glioblastoma radiosensitivity.骨桥蛋白在DNA修复中的新作用及其对人类胶质母细胞瘤放射敏感性的影响。
Oncotarget. 2016 Sep 27;7(39):63708-63721. doi: 10.18632/oncotarget.11483.
9
Prognostic information of serial plasma osteopontin measurement in radiotherapy of non-small-cell lung cancer.非小细胞肺癌放疗中连续血浆骨桥蛋白测量的预后信息
BMC Cancer. 2014 Nov 21;14:858. doi: 10.1186/1471-2407-14-858.
10
PTH1-34 blocks radiation-induced osteoblast apoptosis by enhancing DNA repair through canonical Wnt pathway.甲状旁腺激素1-34通过经典Wnt信号通路增强DNA修复,从而抑制辐射诱导的成骨细胞凋亡。
J Biol Chem. 2015 Jan 2;290(1):157-67. doi: 10.1074/jbc.M114.608158. Epub 2014 Oct 21.