Suppr超能文献

成人起病型斯蒂尔病伴广泛淋巴结肿大,酷似淋巴增殖性恶性肿瘤。

Adult-Onset Still's Disease With Extensive Lymphadenopathy Mimicking Lymphoproliferative Malignancy.

作者信息

Paul Mishouri, Paul Prodip, Dey Dipon, Safdar Saba, Ramos Julio

机构信息

Medicine, Interfaith Medical Center, New York, USA.

Internal Medicine, Geisinger Community Medical Center, Scranton, USA.

出版信息

Cureus. 2021 Jul 4;13(7):e16163. doi: 10.7759/cureus.16163. eCollection 2021 Jul.

Abstract

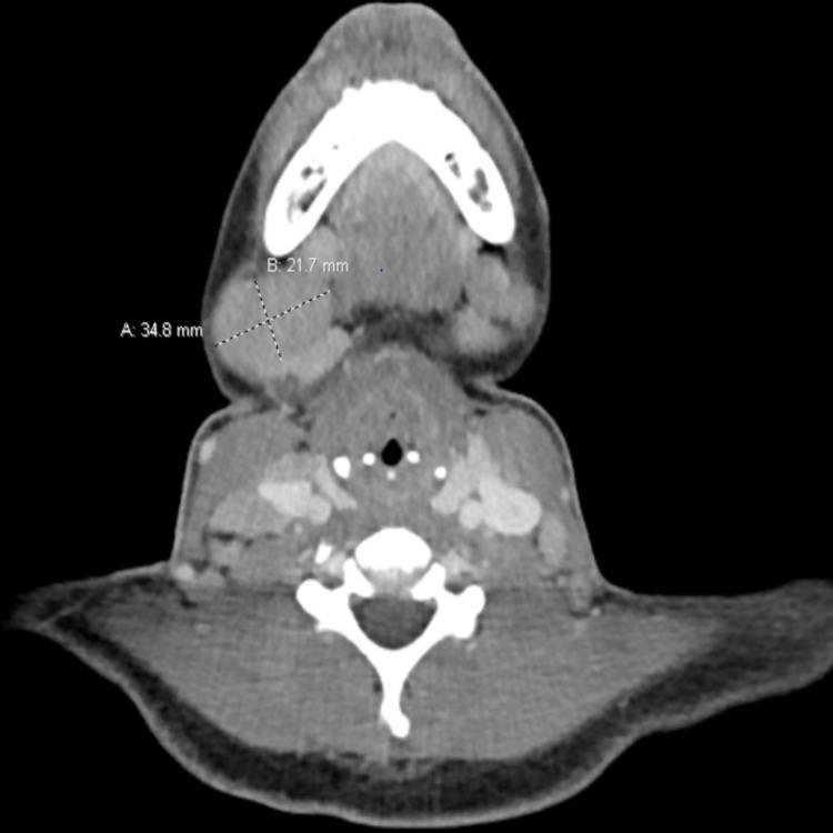
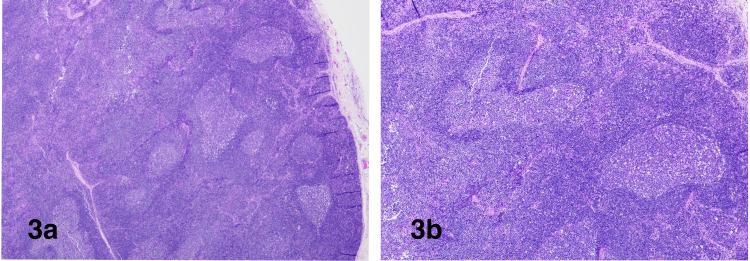
Adult-onset Still's disease (AOSD), a rare systemic inflammatory disorder of unknown etiology, is considered in broad differential in patients with fever of unknown origin or unexplained lymphadenopathy. It is characterized by spiking fever, evanescent salmon-colored maculopapular rash, arthritis or arthralgia, and leukocytosis. Due to broad differentials and lack of any specific diagnostic tests, diagnosis of AOSD poses a great challenge. A concerned physician should have a high index of suspicion while dealing with patients presenting with clinical symptoms of this systemic disorder. We report a case of a 25-year-old African American female with the past medical history of AOSD, who presented with four weeks history of extensive cervical and axillary lymphadenopathy mimicking lymphoproliferative malignancy. Cases have been reported with the development of malignant lymphoma during the course of AOSD. Therefore, careful monitoring of patients with regular follow-up is vital as these patients may develop lymphoproliferative malignancy in the future.

摘要

成人斯蒂尔病(AOSD)是一种病因不明的罕见全身性炎症性疾病,在不明原因发热或不明原因淋巴结病的患者鉴别诊断中需广泛考虑。其特征为高热、一过性的鲑鱼色斑丘疹、关节炎或关节痛以及白细胞增多。由于鉴别诊断范围广泛且缺乏任何特异性诊断试验,AOSD的诊断极具挑战性。在诊治出现这种全身性疾病临床症状的患者时,相关医生应保持高度怀疑。我们报告一例25岁非裔美国女性,既往有AOSD病史,此次因广泛的颈部和腋窝淋巴结病长达四周就诊,酷似淋巴增殖性恶性肿瘤。已有报道称在AOSD病程中会发生恶性淋巴瘤。因此,对这些患者进行定期随访的仔细监测至关重要,因为他们未来可能会发生淋巴增殖性恶性肿瘤。

https://cdn.ncbi.nlm.nih.gov/pmc/blobs/fffe/8336297/6317e5d503d4/cureus-0013-00000016163-i01.jpg

相似文献

1
Adult-Onset Still's Disease With Extensive Lymphadenopathy Mimicking Lymphoproliferative Malignancy.
Cureus. 2021 Jul 4;13(7):e16163. doi: 10.7759/cureus.16163. eCollection 2021 Jul.
2
A Case of Adult-Onset Still's Disease Presenting with Urticated Plaques and Acute Myopericarditis.
Indian J Dermatol. 2013 Sep;58(5):405. doi: 10.4103/0019-5154.117316.
5
Adult-Onset Still's Disease With Severe Hyperferritinemia and the Asian Salmon-Pink Rash: A Case Report.
Cureus. 2022 Jun 23;14(6):e26257. doi: 10.7759/cureus.26257. eCollection 2022 Jun.
6
A case of adult-onset Still's disease in a patient after a car accident.
Clin Case Rep. 2023 Aug 21;11(8):e7510. doi: 10.1002/ccr3.7510. eCollection 2023 Aug.
7
Adult-onset Still's disease as the first manifestation of acute myeloid leukemia: a case report.
Ann Med Surg (Lond). 2023 Feb 17;85(3):532-535. doi: 10.1097/MS9.0000000000000256. eCollection 2023 Mar.
9
A comprehensive review on adult onset Still's disease.
J Autoimmun. 2018 Sep;93:24-36. doi: 10.1016/j.jaut.2018.07.018. Epub 2018 Aug 1.
10
Sore Throat to Still's: Group A Streptococcus Causing Adult-Onset Still's Disease.
Cureus. 2024 Sep 11;16(9):e69201. doi: 10.7759/cureus.69201. eCollection 2024 Sep.

引用本文的文献

1
The community of the DAO.
Nat Biotechnol. 2023 Oct;41(10):1357. doi: 10.1038/s41587-023-02005-1.

本文引用的文献

2
Adult-onset Still disease.
Best Pract Res Clin Rheumatol. 2008 Oct;22(5):773-92. doi: 10.1016/j.berh.2008.08.006.
3
Non-Hodgkin's lymphoma in a woman with adult-onset Still's disease: a case report.
J Med Case Rep. 2008 Mar 6;2:73. doi: 10.1186/1752-1947-2-73.
4
Diagnosis and management of adult onset Still's disease.
Ann Rheum Dis. 2006 May;65(5):564-72. doi: 10.1136/ard.2005.042143. Epub 2005 Oct 11.
5
Adult-onset Still's disease.
Best Pract Res Clin Rheumatol. 2004 Oct;18(5):663-76. doi: 10.1016/j.berh.2004.05.004.
8
Adult Still's disease as a paraneoplastic manifestation of breast cancer.
Scand J Rheumatol. 2000;29(5):328-30. doi: 10.1080/030097400447741.
9
A case of adult-onset Still's disease complicated by non-Hodgkin's lymphoma.
Lupus. 2000;9(6):468-70. doi: 10.1191/096120300678828514.

文献AI研究员

20分钟写一篇综述,助力文献阅读效率提升50倍。

立即体验

用中文搜PubMed

大模型驱动的PubMed中文搜索引擎

马上搜索

文档翻译

学术文献翻译模型,支持多种主流文档格式。

立即体验