Suppr超能文献

髂股韧带作为髋关节稳定器的作用。

The role of the iliofemoral ligament as a stabilizer of the hip joint.

作者信息

D'Ambrosi Riccardo, Ursino Nicola, Messina Carmelo, Della Rocca Federico, Hirschmann Michael Tobias

机构信息

IRCCS Istituto Ortopedico Galeazzi, Milan, Italy.

Dipartimento di Scienze Biomediche per la Salute, Università degli Studi di Milano, Milano, Italy.

出版信息

EFORT Open Rev. 2021 Jul 8;6(7):545-555. doi: 10.1302/2058-5241.6.200112. eCollection 2021 Jul.

Abstract

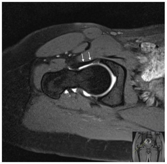
The purpose of this systematic literature review is to analyse the role of the iliofemoral ligament (ILFL) as a hip joint stabilizer in the current literature.A total of 26 articles were included in the review. The ILFL is the largest hip ligament consisting of two distinct arms and is highly variable, both in its location and overall size, and plays a primary role in hip stability; in the case of hip dislocation, the iliofemoral ligament tear does not heal, resulting in a persistent anterior capsule defect. Clinically, the ILFL is felt to limit external rotation in flexion and both internal and external rotation in extension.The abduction-hyperextension-external rotation (AB-HEER) test is overall the most accurate test to detect ILFL lesions. Injuries of the ILFL could be iatrogenic or a consequence of traumatic hip instability, and can be accurately studied with magnetic resonance imaging. Different arthroscopic and open techniques have been described in order to preserve the ILFL during surgery and, in case of lesions, several procedures with good to excellent results have been reported in the existing literature.The current systematic review, focusing only on the ILFL of the hip, summarizes the existing knowledge on anatomy, imaging and function and contributes to the further understanding of the ILFL, confirming its key role in anterior hip stability. Future studies will have to develop clinical tests to evaluate the functionality and stability of the ILFL. Cite this article: 2021;6:545-555. DOI: 10.1302/2058-5241.6.200112.

摘要

本系统文献综述的目的是分析在当前文献中髂股韧带(ILFL)作为髋关节稳定器的作用。本综述共纳入26篇文章。髂股韧带是最大的髋关节韧带,由两个不同的臂组成,其位置和整体大小变化很大,在髋关节稳定性中起主要作用;在髋关节脱位的情况下,髂股韧带撕裂不会愈合,导致前囊持续缺损。临床上,感觉髂股韧带在屈曲时限制外旋,在伸展时限制内旋和外旋。外展-过伸-外旋(AB-HEER)试验总体上是检测髂股韧带损伤最准确的试验。髂股韧带损伤可能是医源性的,也可能是创伤性髋关节不稳定的结果,磁共振成像可以准确地研究这种损伤。为了在手术中保留髂股韧带,已经描述了不同的关节镜和开放技术,并且在现有文献中报道了几种效果良好至极佳的手术方法。当前的系统综述仅关注髋关节的髂股韧带,总结了关于其解剖、成像和功能的现有知识,有助于进一步了解髂股韧带,证实其在髋关节前侧稳定性中的关键作用。未来的研究将不得不开发临床测试来评估髂股韧带的功能和稳定性。引用本文:2021;6:545 - 555。DOI:10.1302/2058 - 5241.6.200112。

https://cdn.ncbi.nlm.nih.gov/pmc/blobs/9d95/8335960/84f234f39651/eor-6-545-g001.jpg

相似文献

1
The role of the iliofemoral ligament as a stabilizer of the hip joint.
EFORT Open Rev. 2021 Jul 8;6(7):545-555. doi: 10.1302/2058-5241.6.200112. eCollection 2021 Jul.
2
An Anatomic Study of the Relationship Between the Iliocapsularis Muscle and Iliofemoral Ligament in Total Hip Arthroplasty.
Arthroplast Today. 2021 Nov 1;12:57-61. doi: 10.1016/j.artd.2021.09.010. eCollection 2021 Dec.
3
Relationships among hip instability, iliofemoral ligament, and pain in patients with developmental dysplasia of the hip.
J Orthop Sci. 2024 May;29(3):835-840. doi: 10.1016/j.jos.2023.03.001. Epub 2023 Mar 15.
6
Anatomic evaluation of the insertional footprints of the iliofemoral and ischiofemoral ligaments: a cadaveric study.
BMC Musculoskelet Disord. 2020 Dec 9;21(1):828. doi: 10.1186/s12891-020-03848-4.
7
The function of the hip capsular ligaments: a quantitative report.
Arthroscopy. 2008 Feb;24(2):188-95. doi: 10.1016/j.arthro.2007.08.024. Epub 2007 Nov 26.
8
An anatomic arthroscopic description of the hip capsular ligaments for the hip arthroscopist.
Arthroscopy. 2011 May;27(5):628-36. doi: 10.1016/j.arthro.2011.01.007.
10
New insight into the iliofemoral ligament based on the anatomical study of the hip joint capsule.
J Anat. 2020 May;236(5):946-953. doi: 10.1111/joa.13140. Epub 2019 Dec 22.

引用本文的文献

1
Interportal Capsulotomy Closure Does Not Improve the Results After Hip Arthroscopy at 1-Year Follow-up: A Prospective Randomized Controlled Study.
Orthop J Sports Med. 2025 Sep 5;13(9):23259671251363604. doi: 10.1177/23259671251363604. eCollection 2025 Sep.
2
Arthroscopic Repair of the Proximal Iliofemoral Ligament After Traumatic Injury.
Arthrosc Tech. 2025 Jan 21;14(5):103423. doi: 10.1016/j.eats.2024.103423. eCollection 2025 May.
3
Examination of the action of the iliocapsularis: Focusing on changes in shear elastic modulus owing to muscle elongation.
PLoS One. 2025 Jun 4;20(6):e0325134. doi: 10.1371/journal.pone.0325134. eCollection 2025.
4
Microinstability of Major Joints in Movement Disorders: The Hidden Challenge.
Cureus. 2024 Oct 14;16(10):e71449. doi: 10.7759/cureus.71449. eCollection 2024 Oct.
5
Differentiation of strains in the lateral and medial bands of the iliofemoral ligament: A segmental approach.
J Anat. 2023 Oct;243(4):674-683. doi: 10.1111/joa.13893. Epub 2023 May 30.

本文引用的文献

1
Successful return to sport in patients with symptomatic borderline dysplasia following hip arthroscopy and T-shaped capsular plication.
Knee Surg Sports Traumatol Arthrosc. 2021 May;29(5):1370-1377. doi: 10.1007/s00167-020-06147-6. Epub 2020 Jul 20.
2
Hip capsular strain varies between ligaments dependent on both hip position- and applied rotational force.
Knee Surg Sports Traumatol Arthrosc. 2020 Oct;28(10):3393-3399. doi: 10.1007/s00167-020-06035-z. Epub 2020 May 3.
3
How capsular management strategies impact outcomes: A systematic review and meta-analysis of comparative studies.
J Orthop. 2020 Feb 4;19:237-243. doi: 10.1016/j.jor.2020.02.002. eCollection 2020 May-Jun.
4
Understanding a Rare Injury: An Observational Study of Anterior-Superior Hip Dislocations.
AJR Am J Roentgenol. 2020 Mar;214(3):624-629. doi: 10.2214/AJR.19.22122. Epub 2020 Jan 8.
5
New insight into the iliofemoral ligament based on the anatomical study of the hip joint capsule.
J Anat. 2020 May;236(5):946-953. doi: 10.1111/joa.13140. Epub 2019 Dec 22.
9
Hip Arthroscopy - State of the Art in 2018.
Sports Med Arthrosc Rev. 2018 Dec;26(4):185-189. doi: 10.1097/JSA.0000000000000223.
10
Capsular Ligament Function After Total Hip Arthroplasty.
J Bone Joint Surg Am. 2018 Jul 18;100(14):e94. doi: 10.2106/JBJS.17.00251.

文献AI研究员

20分钟写一篇综述,助力文献阅读效率提升50倍。

立即体验

用中文搜PubMed

大模型驱动的PubMed中文搜索引擎

马上搜索

文档翻译

学术文献翻译模型,支持多种主流文档格式。

立即体验