Suppr超能文献

经扩大外侧入路切开复位内固定治疗关节内跟骨骨折

Open Reduction and Internal Fixation of Intra-Articular Calcaneal Fractures Via an Extensile Lateral Approach.

作者信息

Schweitzer Karl M, Gaskill Trevor R, Easley Mark E, Nunley James A

机构信息

Department of Orthopaedic Surgery, Duke University Medical Center, Durham, NC 27710. E-mail address for K.M. Schweitzer Jr.:

The Steadman Clinic, 181 West Meadow Drive, Suite 400, Vail, CO 81657. E-mail address:

出版信息

JBJS Essent Surg Tech. 2011 Jul 20;1(2):e7. doi: 10.2106/JBJS.ST.K.00012. eCollection 2011 Jul-Sep.

Abstract

INTRODUCTION

Although displaced intra-articular calcaneal fractures were historically treated nonoperatively because of unreliable outcomes, they are now commonly treated with open reduction and internal fixation (ORIF).

STEP 1 PREOPERATIVE PLANNING AND OPERATIVE SETUP: Coronal images are most helpful.

STEP 2 INCISION AND SOFT-TISSUE MANAGEMENT: Elevate the flap using the "no-touch" technique to minimize wound complications.

STEP 3 REDUCE POSTERIOR FACET AND PERFORM PROVISIONAL STABILIZATION: Achieve anatomic reduction of the medial calcaneal wall before proceeding with the remainder of the fracture reduction.

STEP 4 APPLY LAG FIXATION AND A LATERAL NEUTRALIZATION PLATE: Use a traditional nonlocking plate and be sure that at least one lag screw achieves purchase.

STEP 5 CLOSE WOUND: Use the "no-touch" technique, with the goal of tension-free wound closure.

STEP 6 POSTOPERATIVE CARE: Watch closely for drainage or delayed healing.

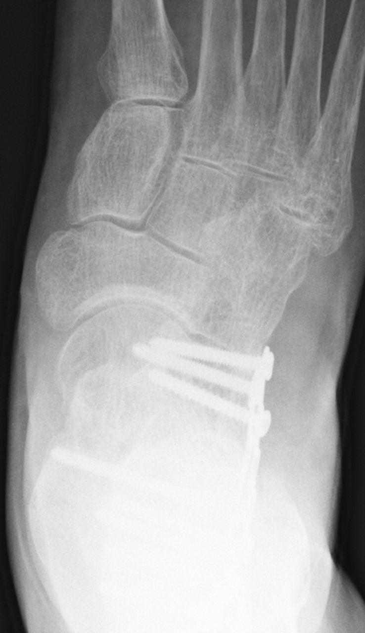
RESULTS & PREOP/POSTOP IMAGES: ORIF is a viable treatment option for displaced intra-articular calcaneal fractures without contraindication for older patients.

WHAT TO WATCH FOR

IndicationsContraindicationsPitfalls & Challenges.

摘要

引言

尽管由于疗效不可靠,过去关节内移位跟骨骨折通常采用非手术治疗,但现在通常采用切开复位内固定术(ORIF)进行治疗。

步骤1术前规划与手术准备:冠状位图像最有帮助。

步骤2切口与软组织处理:采用“不接触”技术掀起皮瓣,以尽量减少伤口并发症。

步骤3复位后关节面并进行临时固定:在继续进行其余骨折复位之前,先实现跟骨内侧壁的解剖复位。

步骤4应用拉力固定和外侧中和钢板:使用传统非锁定钢板,确保至少有一枚拉力螺钉固定。

步骤5关闭伤口:采用“不接触”技术,目标是实现无张力伤口闭合。

步骤6术后护理:密切观察有无引流或愈合延迟情况。

结果与术前/术后影像:对于无禁忌证的老年患者,切开复位内固定术是治疗关节内移位跟骨骨折的可行选择。

注意事项

适应证、禁忌证、陷阱与挑战。

https://cdn.ncbi.nlm.nih.gov/pmc/blobs/32f0/8343974/dc390125099e/jxt-1-e07-g001.jpg

文献AI研究员

20分钟写一篇综述,助力文献阅读效率提升50倍。

立即体验

用中文搜PubMed

大模型驱动的PubMed中文搜索引擎

马上搜索

文档翻译

学术文献翻译模型,支持多种主流文档格式。

立即体验