Suppr超能文献

人工心脏瓣膜合并心房颤动患者在接受充分抗凝治疗后仍反复出现栓塞:一例病例报告。

Recurrent embolisms despite adequate anticoagulant therapy in a patient with prosthetic heart valves and atrial fibrillation: a case report.

作者信息

Marschall Alexander, Rodriguez Torres Diego, Rueda Liñares Andrea, Martí Sánchez David

机构信息

Department of Cardiology, Central Defense Hospital, Paseo de la Reina Cristina 26, 2B, 28014 Madrid, Spain.

出版信息

Eur Heart J Case Rep. 2021 Jul 24;5(7):ytab263. doi: 10.1093/ehjcr/ytab263. eCollection 2021 Jul.

Abstract

BACKGROUND

Antithrombotic management in patients with atrial fibrillation (AF) that have undergone heart valve surgery may be challenging, especially in the context of thromboembolic events during follow-up. The combination of pharmacological therapies with modern transcatheter interventions allows these more complex cases to be overcome.

CASE SUMMARY

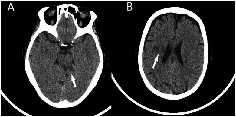
We present the case of a 66-year-old female with a history of AF and mechanical aortic and mitral valve replacement, which was admitted to the hospital complaining of dizziness and unsteady gait. A computerized tomography scan of the brain confirmed the diagnosis of embolic stroke. Two years later, the patient complained of sudden onset of chest pain, accompanied by electrocardiographic abnormalities and elevated high-sensitivity troponin T. Emergency cardiac catheterization revealed embolic myocardial infarction with distal occlusion of the obtuse marginal artery. Again, 2 years later, the patient suffered a new cerebral embolic event. Given the adequate anticoagulation therapy throughout almost the entire clinical course, percutaneous left atrial appendage closure was proposed as an adjunct to vitamin K antagonist treatment. Notably, intraprocedural transoesophageal echocardiography revealed the presence of a previously undetected left atrial appendage thrombus, thus an embolic protection device was used during the procedure, which was successfully carried out without complications.

DISCUSSION

This case report demonstrates the complexity of the antithrombotic management in patients with AF and prosthetic heart valves, and highlights the importance of an individualized approach, integrating new therapeutic strategies to achieve success, in patients that present thromboembolic events despite adequate anticoagulation therapy.

摘要

背景

接受心脏瓣膜手术的心房颤动(AF)患者的抗栓管理可能具有挑战性,尤其是在随访期间发生血栓栓塞事件的情况下。药物治疗与现代经导管介入治疗相结合能够攻克这些更为复杂的病例。

病例摘要

我们报告一例66岁女性患者,有房颤病史,接受过机械主动脉瓣和二尖瓣置换术,因头晕和步态不稳入院。脑部计算机断层扫描确诊为栓塞性中风。两年后,患者主诉突发胸痛,伴有心电图异常及高敏肌钙蛋白T升高。急诊心脏导管检查显示为栓塞性心肌梗死,钝缘支动脉远端闭塞。又过了2年,患者发生了一次新的脑栓塞事件。鉴于几乎在整个临床过程中都进行了充分的抗凝治疗,建议采用经皮左心耳封堵术作为维生素K拮抗剂治疗的辅助手段。值得注意的是,术中经食管超声心动图显示存在一个先前未被发现的左心耳血栓,因此在手术过程中使用了栓塞保护装置,手术成功实施,未出现并发症。

讨论

本病例报告展示了房颤合并人工心脏瓣膜患者抗栓管理的复杂性,并强调了个体化治疗方法的重要性,即在尽管进行了充分的抗凝治疗仍发生血栓栓塞事件的患者中,整合新的治疗策略以取得成功。

https://cdn.ncbi.nlm.nih.gov/pmc/blobs/f3d3/8343442/05ff1e5d8a13/ytab263f1.jpg

文献AI研究员

20分钟写一篇综述,助力文献阅读效率提升50倍。

立即体验

用中文搜PubMed

大模型驱动的PubMed中文搜索引擎

马上搜索

文档翻译

学术文献翻译模型,支持多种主流文档格式。

立即体验