Suppr超能文献

机器人辅助细胞减灭术,使用Xi机器人平台为一名卵巢癌患者切除右腔静脉旁淋巴结复发病灶。

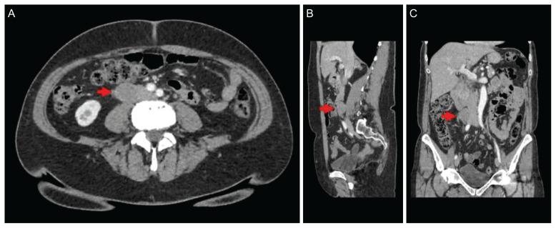
Robotic assisted cytoreductive surgery, removal of a recurrent disease in the right pericaval lymph node in a patient with ovarian cancer with the robotic Xi platform.

作者信息

Shoraka Massoud, Metwally Hadeer, Carbajal-Mamani Semiramis, Cardenas-Goicoechea Joel

机构信息

Department of Obstetrics and Gynecology, University of Florida College of Medicine, Gainesville, FL, USA.

Department of Medicine, University of Florida College of Medicine, Gainesville, FL, USA.

出版信息

Obstet Gynecol Sci. 2021 Nov;64(6):560-564. doi: 10.5468/ogs.21202. Epub 2021 Aug 13.

Abstract

OBJECTIVE

The standard approach for recurrent ovarian cancer is laparotomy. In this video, we present a cytoreductive surgery using the robotic Xi platform to remove a 2.7 cm pericaval tumor.

METHODS

A narrative video demonstration of robotic-assisted surgery to remove recurrent ovarian cancer in a pericaval lymph node. A 62-year-old female presented with recurrent carcinoma of the pericaval lymph node. After 40 months of surveillance, the patient was asymptomatic, but a computed tomography (CT) scan showed an isolated mass (2.7×2.3 cm) in the right pericaval lymph node. Her cancer antigen (CA)-125 level increased from 26 to 46 U/mL. The robotic Xi platform was used to remove the metastatic lymph nodes. The first step was diagnostic laparoscopy. The second step was robotic port placement below the umbilicus. The third step was dissection and identification of landmarks, and the last step was removal of the tumor and closure.

RESULTS

The metastatic lymph nodes were removed. The patient was discharged on postoperative day 1 and had no postoperative complications. Her CA-125 level dropped to 17 U/mL two weeks after surgery. Pathology showed metastatic high-grade serous carcinoma in one lymph node, consistent with the patient's known primary. Two additional lymph nodes were removed and negative for carcinoma. Pelvic washings were negative for malignancy.

CONCLUSION

Robotic-assisted surgery is safe and feasible in selected patients with isolated recurrent disease.

摘要

目的

复发性卵巢癌的标准治疗方法是剖腹手术。在本视频中,我们展示了使用达芬奇Xi机器人平台进行的细胞减灭术,以切除一个2.7厘米的腔静脉旁肿瘤。

方法

一段关于机器人辅助手术切除腔静脉旁淋巴结复发性卵巢癌的叙述性视频演示。一名62岁女性出现腔静脉旁淋巴结复发性癌。经过40个月的监测,患者无症状,但计算机断层扫描(CT)显示右腔静脉旁淋巴结有一个孤立肿块(2.7×2.3厘米)。她的癌抗原(CA)-125水平从26 U/mL升至46 U/mL。使用达芬奇Xi机器人平台切除转移性淋巴结。第一步是诊断性腹腔镜检查。第二步是在脐下放置机器人端口。第三步是解剖和识别标志,最后一步是切除肿瘤并缝合。

结果

转移性淋巴结被切除。患者术后第1天出院,无术后并发症。术后两周,她的CA-125水平降至17 U/mL。病理显示一个淋巴结中有转移性高级别浆液性癌,与患者已知的原发癌一致。另外切除了两个淋巴结,均未发现癌细胞。盆腔冲洗液未发现恶性肿瘤。

结论

对于选定的孤立复发性疾病患者,机器人辅助手术是安全可行的。

https://cdn.ncbi.nlm.nih.gov/pmc/blobs/1c9a/8595041/e817ba37a831/ogs-21202f1.jpg

文献AI研究员

20分钟写一篇综述,助力文献阅读效率提升50倍。

立即体验

用中文搜PubMed

大模型驱动的PubMed中文搜索引擎

马上搜索

文档翻译

学术文献翻译模型,支持多种主流文档格式。

立即体验