• 文献检索
  • 文档翻译
  • 深度研究
  • 学术资讯
  • Suppr Zotero 插件Zotero 插件
  • 邀请有礼
  • 套餐&价格
  • 历史记录
应用&插件
Suppr Zotero 插件Zotero 插件浏览器插件Mac 客户端Windows 客户端微信小程序
定价
高级版会员购买积分包购买API积分包
服务
文献检索文档翻译深度研究API 文档MCP 服务
关于我们
关于 Suppr公司介绍联系我们用户协议隐私条款
关注我们

Suppr 超能文献

核心技术专利:CN118964589B侵权必究
粤ICP备2023148730 号-1Suppr @ 2026

文献检索

告别复杂PubMed语法,用中文像聊天一样搜索,搜遍4000万医学文献。AI智能推荐,让科研检索更轻松。

立即免费搜索

文件翻译

保留排版,准确专业,支持PDF/Word/PPT等文件格式,支持 12+语言互译。

免费翻译文档

深度研究

AI帮你快速写综述,25分钟生成高质量综述,智能提取关键信息,辅助科研写作。

立即免费体验

在 ALS 中 c-Kit+ 肥大细胞在脊髓运动神经元-血管龛中的致病作用。

The pathogenic role of c-Kit+ mast cells in the spinal motor neuron-vascular niche in ALS.

机构信息

Institut Pasteur de Montevideo, 2020, Montevideo, Uruguay.

Department of Neurology, University of Alabama, Birmingham, AL, 35294, USA.

出版信息

Acta Neuropathol Commun. 2021 Aug 13;9(1):136. doi: 10.1186/s40478-021-01241-3.

DOI:10.1186/s40478-021-01241-3
PMID:34389060
原文链接:https://pmc.ncbi.nlm.nih.gov/articles/PMC8361844/
Abstract

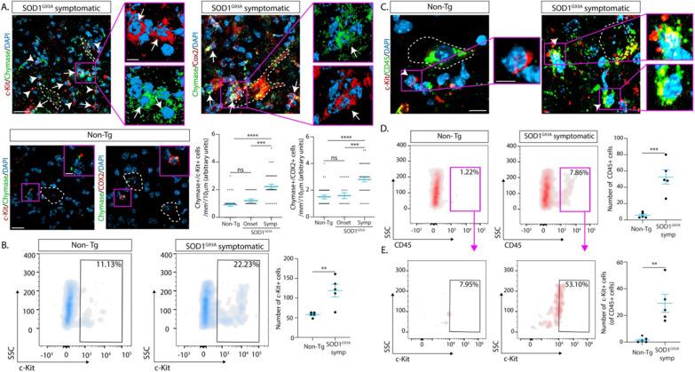
Degeneration of motor neurons, glial cell reactivity, and vascular alterations in the CNS are important neuropathological features of amyotrophic lateral sclerosis (ALS). Immune cells trafficking from the blood also infiltrate the affected CNS parenchyma and contribute to neuroinflammation. Mast cells (MCs) are hematopoietic-derived immune cells whose precursors differentiate upon migration into tissues. Upon activation, MCs undergo degranulation with the ability to increase vascular permeability, orchestrate neuroinflammation and modulate the neuroimmune response. However, the prevalence, pathological significance, and pharmacology of MCs in the CNS of ALS patients remain largely unknown. In autopsy ALS spinal cords, we identified for the first time that MCs express c-Kit together with chymase, tryptase, and Cox-2 and display granular or degranulating morphology, as compared with scarce MCs in control cords. In ALS, MCs were mainly found in the niche between spinal motor neuron somas and nearby microvascular elements, and they displayed remarkable pathological abnormalities. Similarly, MCs accumulated in the motor neuron-vascular niche of ALS murine models, in the vicinity of astrocytes and motor neurons expressing the c-Kit ligand stem cell factor (SCF), suggesting an SCF/c-Kit-dependent mechanism of MC differentiation from precursors. Mechanistically, we provide evidence that fully differentiated MCs in cell cultures can be generated from the murine ALS spinal cord tissue, further supporting the presence of c-Kit+ MC precursors. Moreover, intravenous administration of bone marrow-derived c-Kit+ MC precursors infiltrated the spinal cord in ALS mice but not in controls, consistent with aberrant trafficking through a defective microvasculature. Pharmacological inhibition of c-Kit with masitinib in ALS mice reduced the MC number and the influx of MC precursors from the periphery. Our results suggest a previously unknown pathogenic mechanism triggered by MCs in the ALS motor neuron-vascular niche that might be targeted pharmacologically.

摘要

运动神经元变性、神经胶质细胞反应和中枢神经系统的血管改变是肌萎缩侧索硬化症(ALS)的重要神经病理学特征。从血液中迁移而来的免疫细胞也会渗透到受影响的中枢神经系统实质中,并有助于神经炎症。肥大细胞(MCs)是造血衍生的免疫细胞,其前体在迁移到组织中时会分化。一旦被激活,MC 就会脱颗粒,从而增加血管通透性、协调神经炎症并调节神经免疫反应。然而,MC 在 ALS 患者中枢神经系统中的流行程度、病理意义和药理学仍然知之甚少。在 ALS 患者的尸检脊髓中,我们首次发现 MC 表达 c-Kit 以及糜蛋白酶、类胰蛋白酶和 Cox-2,并表现出颗粒状或脱颗粒状形态,而对照脊髓中的 MC 则很少。在 ALS 中,MC 主要存在于脊髓运动神经元体和附近微血管之间的间隙中,并表现出明显的病理异常。同样,MC 在 ALS 动物模型的运动神经元-血管间隙中积累,靠近表达 c-Kit 配体干细胞因子(SCF)的星形胶质细胞和运动神经元,表明存在从前体分化为 MC 的 SCF/c-Kit 依赖性机制。从机制上讲,我们提供的证据表明,可以从鼠 ALS 脊髓组织中培养出完全分化的 MC,进一步支持存在 c-Kit+MC 前体。此外,静脉注射骨髓衍生的 c-Kit+MC 前体可渗透到 ALS 小鼠的脊髓中,但在对照组中不会,这与通过有缺陷的微血管异常渗透有关。在 ALS 小鼠中用 masitinib 抑制 c-Kit 可减少 MC 数量和来自外周的 MC 前体的涌入。我们的研究结果表明,在 ALS 运动神经元-血管间隙中,MC 触发了一个以前未知的致病机制,该机制可能在药理学上被靶向。

https://cdn.ncbi.nlm.nih.gov/pmc/blobs/dea3/8361844/6b57a693819a/40478_2021_1241_Fig8_HTML.jpg
https://cdn.ncbi.nlm.nih.gov/pmc/blobs/dea3/8361844/f011b7978158/40478_2021_1241_Fig1_HTML.jpg
https://cdn.ncbi.nlm.nih.gov/pmc/blobs/dea3/8361844/4675e86745e9/40478_2021_1241_Fig2_HTML.jpg
https://cdn.ncbi.nlm.nih.gov/pmc/blobs/dea3/8361844/116c605a5fc8/40478_2021_1241_Fig3_HTML.jpg
https://cdn.ncbi.nlm.nih.gov/pmc/blobs/dea3/8361844/a616eb73c132/40478_2021_1241_Fig4_HTML.jpg
https://cdn.ncbi.nlm.nih.gov/pmc/blobs/dea3/8361844/3b0c10b4964c/40478_2021_1241_Fig5_HTML.jpg
https://cdn.ncbi.nlm.nih.gov/pmc/blobs/dea3/8361844/aadfe4e2afc3/40478_2021_1241_Fig6_HTML.jpg
https://cdn.ncbi.nlm.nih.gov/pmc/blobs/dea3/8361844/c785d43d3d1a/40478_2021_1241_Fig7_HTML.jpg
https://cdn.ncbi.nlm.nih.gov/pmc/blobs/dea3/8361844/6b57a693819a/40478_2021_1241_Fig8_HTML.jpg
https://cdn.ncbi.nlm.nih.gov/pmc/blobs/dea3/8361844/f011b7978158/40478_2021_1241_Fig1_HTML.jpg
https://cdn.ncbi.nlm.nih.gov/pmc/blobs/dea3/8361844/4675e86745e9/40478_2021_1241_Fig2_HTML.jpg
https://cdn.ncbi.nlm.nih.gov/pmc/blobs/dea3/8361844/116c605a5fc8/40478_2021_1241_Fig3_HTML.jpg
https://cdn.ncbi.nlm.nih.gov/pmc/blobs/dea3/8361844/a616eb73c132/40478_2021_1241_Fig4_HTML.jpg
https://cdn.ncbi.nlm.nih.gov/pmc/blobs/dea3/8361844/3b0c10b4964c/40478_2021_1241_Fig5_HTML.jpg
https://cdn.ncbi.nlm.nih.gov/pmc/blobs/dea3/8361844/aadfe4e2afc3/40478_2021_1241_Fig6_HTML.jpg
https://cdn.ncbi.nlm.nih.gov/pmc/blobs/dea3/8361844/c785d43d3d1a/40478_2021_1241_Fig7_HTML.jpg
https://cdn.ncbi.nlm.nih.gov/pmc/blobs/dea3/8361844/6b57a693819a/40478_2021_1241_Fig8_HTML.jpg

相似文献

1
The pathogenic role of c-Kit+ mast cells in the spinal motor neuron-vascular niche in ALS.在 ALS 中 c-Kit+ 肥大细胞在脊髓运动神经元-血管龛中的致病作用。
Acta Neuropathol Commun. 2021 Aug 13;9(1):136. doi: 10.1186/s40478-021-01241-3.
2
Mast cells and neutrophils mediate peripheral motor pathway degeneration in ALS.肥大细胞和中性粒细胞介导 ALS 的周围运动通路变性。
JCI Insight. 2018 Oct 4;3(19):123249. doi: 10.1172/jci.insight.123249.
3
Prolonged NCX activation prevents SOD1 accumulation, reduces neuroinflammation, ameliorates motor behavior and prolongs survival in a ALS mouse model.在肌萎缩侧索硬化症小鼠模型中,延长钠钙交换体(NCX)的激活可防止超氧化物歧化酶1(SOD1)积累,减轻神经炎症,改善运动行为并延长生存期。
Neurobiol Dis. 2021 Nov;159:105480. doi: 10.1016/j.nbd.2021.105480. Epub 2021 Aug 16.
4
Inflammation in amyotrophic lateral sclerosis spinal cord and brain is mediated by activated macrophages, mast cells and T cells.肌萎缩侧索硬化症患者脊髓和大脑中的炎症由活化的巨噬细胞、肥大细胞和T细胞介导。
Amyotroph Lateral Scler Other Motor Neuron Disord. 2004 Dec;5(4):213-9. doi: 10.1080/14660820410020286.
5
DREAM-Dependent Activation of Astrocytes in Amyotrophic Lateral Sclerosis.DREAM 依赖性激活在肌萎缩侧索硬化症中的星形胶质细胞。
Mol Neurobiol. 2018 Jan;55(1):1-12. doi: 10.1007/s12035-017-0713-1.
6
Schwann cells orchestrate peripheral nerve inflammation through the expression of CSF1, IL-34, and SCF in amyotrophic lateral sclerosis.施万细胞通过在肌萎缩侧索硬化症中表达 CSF1、IL-34 和 SCF 来协调周围神经炎症。
Glia. 2020 Jun;68(6):1165-1181. doi: 10.1002/glia.23768. Epub 2019 Dec 20.
7
Post-paralysis tyrosine kinase inhibition with masitinib abrogates neuroinflammation and slows disease progression in inherited amyotrophic lateral sclerosis.用马斯itinib进行瘫痪后酪氨酸激酶抑制可消除神经炎症并减缓遗传性肌萎缩侧索硬化症的疾病进展。
J Neuroinflammation. 2016 Jul 11;13(1):177. doi: 10.1186/s12974-016-0620-9.
8
Decreased cystatin C immunoreactivity in spinal motor neurons and astrocytes in amyotrophic lateral sclerosis.肌萎缩侧索硬化症患者脊髓运动神经元和星形胶质细胞中胱抑素C免疫反应性降低。
J Neuropathol Exp Neurol. 2009 Nov;68(11):1200-6. doi: 10.1097/NEN.0b013e3181bdcdce.
9
C-kit is important for SOD1(G93A) mouse survival independent of mast cells.c-Kit对SOD1(G93A)小鼠的存活至关重要,且与肥大细胞无关。
Neuroscience. 2015 Aug 20;301:415-20. doi: 10.1016/j.neuroscience.2015.06.026. Epub 2015 Jun 23.
10
Human mast cells arise from a common circulating progenitor.人类肥大细胞起源于一种常见的循环祖细胞。
J Allergy Clin Immunol. 2013 Aug;132(2):463-9.e3. doi: 10.1016/j.jaci.2013.02.011. Epub 2013 Apr 9.

引用本文的文献

1
Tyrosine kinase inhibitor, masitinib, limits neuronal damage, as measured by serum neurofilament light chain concentration in a model of neuroimmune-driven neurodegenerative disease.酪氨酸激酶抑制剂马西替尼可限制神经元损伤,这一损伤程度通过神经免疫驱动的神经退行性疾病模型中的血清神经丝轻链浓度来衡量。
PLoS One. 2025 May 14;20(5):e0322199. doi: 10.1371/journal.pone.0322199. eCollection 2025.
2
Impact of Mast Cell Activation on Neurodegeneration: A Potential Role for Gut-Brain Axis and Infection.肥大细胞激活对神经退行性变的影响:肠-脑轴及感染的潜在作用
Neurol Int. 2024 Dec 6;16(6):1750-1778. doi: 10.3390/neurolint16060127.
3

本文引用的文献

1
Long-term survival analysis of masitinib in amyotrophic lateral sclerosis.马西替尼治疗肌萎缩侧索硬化症的长期生存分析
Ther Adv Neurol Disord. 2021 Jul 19;14:17562864211030365. doi: 10.1177/17562864211030365. eCollection 2021.
2
NK cells associate with ALS in a sex- and age-dependent manner.自然杀伤细胞与 ALS 的相关性存在性别和年龄依赖性。
JCI Insight. 2021 Jun 8;6(11):147129. doi: 10.1172/jci.insight.147129.
3
Modifying macrophages at the periphery has the capacity to change microglial reactivity and to extend ALS survival.
Role and mechanisms of mast cells in brain disorders.
肥大细胞在脑疾病中的作用和机制。
Front Immunol. 2024 Aug 26;15:1445867. doi: 10.3389/fimmu.2024.1445867. eCollection 2024.
4
Can Some Anticancer Drugs Be Repurposed to Treat Amyotrophic Lateral Sclerosis? A Brief Narrative Review.某些抗癌药物可否被重新用于治疗肌萎缩侧索硬化症?简要叙述性综述。
Int J Mol Sci. 2024 Feb 1;25(3):1751. doi: 10.3390/ijms25031751.
5
Immunology of amyotrophic lateral sclerosis - role of the innate and adaptive immunity.肌萎缩侧索硬化症的免疫学——先天免疫和适应性免疫的作用
Front Neurosci. 2023 Nov 30;17:1277399. doi: 10.3389/fnins.2023.1277399. eCollection 2023.
6
The contribution of the peripheral immune system to neurodegeneration.外周免疫系统对神经退行性变的贡献。
Nat Neurosci. 2023 Jun;26(6):942-954. doi: 10.1038/s41593-023-01323-6. Epub 2023 May 25.
7
Neuroimmune Crosstalk Between the Peripheral and the Central Immune System in Amyotrophic Lateral Sclerosis.肌萎缩侧索硬化症中外周免疫系统与中枢免疫系统之间的神经免疫相互作用
Front Aging Neurosci. 2022 May 3;14:890958. doi: 10.3389/fnagi.2022.890958. eCollection 2022.
8
Neuroinflammation in Amyotrophic Lateral Sclerosis and Frontotemporal Dementia and the Interest of Induced Pluripotent Stem Cells to Study Immune Cells Interactions With Neurons.肌萎缩侧索硬化症和额颞叶痴呆中的神经炎症以及诱导多能干细胞在研究免疫细胞与神经元相互作用方面的意义。
Front Mol Neurosci. 2021 Dec 14;14:767041. doi: 10.3389/fnmol.2021.767041. eCollection 2021.
在外周修饰巨噬细胞有改变小胶质细胞反应性和延长 ALS 生存期的能力。
Nat Neurosci. 2020 Nov;23(11):1339-1351. doi: 10.1038/s41593-020-00718-z. Epub 2020 Oct 19.
4
Mast cells as a unique hematopoietic lineage and cell system: From Paul Ehrlich's visions to precision medicine concepts.肥大细胞作为一种独特的造血谱系和细胞系统:从保罗·埃尔利希的愿景到精准医学概念。
Theranostics. 2020 Aug 29;10(23):10743-10768. doi: 10.7150/thno.46719. eCollection 2020.
5
Muscle fiber-type specific terminal Schwann cell pathology leads to sprouting deficits following partial denervation in SOD1 mice.肌纤维类型特异性终末 Schwann 细胞病理学导致 SOD1 小鼠部分去神经支配后发芽缺陷。
Neurobiol Dis. 2020 Nov;145:105052. doi: 10.1016/j.nbd.2020.105052. Epub 2020 Aug 20.
6
Natural killer cells modulate motor neuron-immune cell cross talk in models of Amyotrophic Lateral Sclerosis.自然杀伤细胞调节肌萎缩侧索硬化症模型中的运动神经元-免疫细胞通讯。
Nat Commun. 2020 Apr 14;11(1):1773. doi: 10.1038/s41467-020-15644-8.
7
Schwann cells orchestrate peripheral nerve inflammation through the expression of CSF1, IL-34, and SCF in amyotrophic lateral sclerosis.施万细胞通过在肌萎缩侧索硬化症中表达 CSF1、IL-34 和 SCF 来协调周围神经炎症。
Glia. 2020 Jun;68(6):1165-1181. doi: 10.1002/glia.23768. Epub 2019 Dec 20.
8
CD34 Identifies a Subset of Proliferating Microglial Cells Associated with Degenerating Motor Neurons in ALS.CD34 鉴定出与 ALS 中退变运动神经元相关的增殖性小胶质细胞亚群。
Int J Mol Sci. 2019 Aug 9;20(16):3880. doi: 10.3390/ijms20163880.
9
Masitinib as an add-on therapy to riluzole in patients with amyotrophic lateral sclerosis: a randomized clinical trial.马替尼作为附加疗法联合利鲁唑治疗肌萎缩侧索硬化症的随机临床试验。
Amyotroph Lateral Scler Frontotemporal Degener. 2020 Feb;21(1-2):5-14. doi: 10.1080/21678421.2019.1632346. Epub 2019 Jul 7.
10
Cytotoxic CD8 T lymphocytes expressing ALS-causing SOD1 mutant selectively trigger death of spinal motoneurons.表达 ALS 致病 SOD1 突变体的细胞毒性 CD8 T 淋巴细胞选择性地触发脊髓运动神经元死亡。
Proc Natl Acad Sci U S A. 2019 Feb 5;116(6):2312-2317. doi: 10.1073/pnas.1815961116. Epub 2019 Jan 23.