Suppr超能文献

COVID-19 合并肢端肥大症患者发生严重呼吸衰竭:奥曲肽治疗后迅速改善

Severe respiratory failure in a patient with COVID-19 and acromegaly: rapid improvement after adding octreotide.

机构信息

Medicine, Oregon Health & Science University, Portland, Oregon, USA

Department of Medicine, Oregon Health & Science University, Portland, Oregon, USA.

出版信息

BMJ Case Rep. 2021 Aug 17;14(8):e243900. doi: 10.1136/bcr-2021-243900.

Abstract

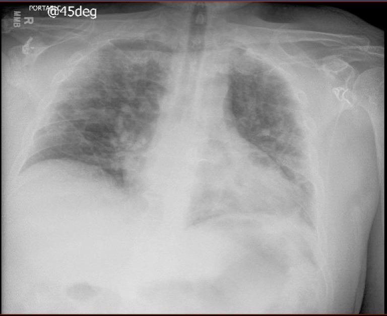
Acromegaly is a rare disorder of unregulated hypersecretion of growth hormone that causes cardiovascular, metabolic and respiratory complications. Herein, we describe the case of a middle-aged man admitted to the hospital with severe COVID-19 found to have clinical and biochemical evidence of acromegaly. His respiratory status declined despite initiation of standard treatments, prompting initiation of subcutaneous octreotide. Following initiation of this therapy, he rapidly improved and was discharged from the hospital 2 days later. Subsequent workup revealed a pituitary macroadenoma that was surgically removed, with improvement in his acromegaly symptoms. COVID-19 disease severity is increased by pre-existing diabetes, lung disease and immunosuppression. Although this patient had obstructive sleep apnoea and pre-diabetes, we hypothesise that our patient's acromegaly contributed to his severe course, as reflected by his rapid improvement after starting treatment with subcutaneous octreotide. Acromegaly may predispose to more severe outcomes in patients with COVID-19.

摘要

肢端肥大症是一种罕见的生长激素过度分泌的疾病,会导致心血管、代谢和呼吸系统并发症。本文描述了一名中年男性因严重 COVID-19 住院,临床和生化证据显示存在肢端肥大症。尽管开始了标准治疗,但他的呼吸状况仍在恶化,随后开始皮下注射奥曲肽。开始这种治疗后,他迅速改善,两天后出院。进一步检查显示存在垂体大腺瘤,已通过手术切除,肢端肥大症症状得到改善。COVID-19 疾病的严重程度会因糖尿病、肺部疾病和免疫抑制等先前存在的疾病而增加。尽管该患者患有阻塞性睡眠呼吸暂停和糖尿病前期,但我们假设他的肢端肥大症导致了他的严重病情,因为他开始皮下注射奥曲肽后病情迅速改善。肢端肥大症可能使 COVID-19 患者的病情更严重。

https://cdn.ncbi.nlm.nih.gov/pmc/blobs/ac22/8375750/b3ed772ffacd/bcr-2021-243900f01.jpg

文献AI研究员

20分钟写一篇综述,助力文献阅读效率提升50倍。

立即体验

用中文搜PubMed

大模型驱动的PubMed中文搜索引擎

马上搜索

文档翻译

学术文献翻译模型,支持多种主流文档格式。

立即体验