• 文献检索
  • 文档翻译
  • 深度研究
  • 学术资讯
  • Suppr Zotero 插件Zotero 插件
  • 邀请有礼
  • 套餐&价格
  • 历史记录
应用&插件
Suppr Zotero 插件Zotero 插件浏览器插件Mac 客户端Windows 客户端微信小程序
定价
高级版会员购买积分包购买API积分包
服务
文献检索文档翻译深度研究API 文档MCP 服务
关于我们
关于 Suppr公司介绍联系我们用户协议隐私条款
关注我们

Suppr 超能文献

核心技术专利:CN118964589B侵权必究
粤ICP备2023148730 号-1Suppr @ 2026

文献检索

告别复杂PubMed语法,用中文像聊天一样搜索,搜遍4000万医学文献。AI智能推荐,让科研检索更轻松。

立即免费搜索

文件翻译

保留排版,准确专业,支持PDF/Word/PPT等文件格式,支持 12+语言互译。

免费翻译文档

深度研究

AI帮你快速写综述,25分钟生成高质量综述,智能提取关键信息,辅助科研写作。

立即免费体验

免疫介导的血小板减少症在非小细胞肺癌患者放化疗后使用度伐鲁单抗诱导:病例报告。

Immune-mediated thrombocytopenia induced with durvalumab after chemoradiotherapy in a non-small cell lung cancer patient: A case report.

机构信息

Department of Respiratory Medicine, Hirosaki University Graduate School of Medicine, Hirosaki, Japan.

Department of Gastroenterology and Hematology, Hirosaki University Graduate School of Medicine, Hirosaki, Japan.

出版信息

Thorac Cancer. 2021 Oct;12(20):2811-2814. doi: 10.1111/1759-7714.14106. Epub 2021 Aug 17.

DOI:10.1111/1759-7714.14106
PMID:34405563
原文链接:https://pmc.ncbi.nlm.nih.gov/articles/PMC8520809/
Abstract

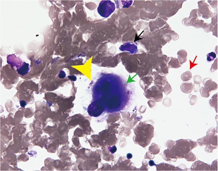
We describe a case of a 60-year-old man with a prolonged thrombocytopenia during a durvalumab maintenance therapy after chemoradiotherapy for locally advanced non-small cell lung carcinoma. Bone marrow specimen was normoplastic with the marked megakaryocyte depletion, which was assumed to be an acquired amegakaryocytic thrombocytopenic purpura. Although hematological disorders as immune-related adverse events (irAE) are rare, we should pay more attention to hematological disorders with durvalumab especially after concurrent chemoradiotherapy.

摘要

我们描述了一例 60 岁男性患者,在接受局部晚期非小细胞肺癌放化疗后接受 durvalumab 维持治疗期间出现血小板减少症持续时间延长。骨髓标本呈正常形态,巨核细胞明显减少,考虑为获得性无巨核细胞性血小板减少性紫癜。尽管血液系统疾病作为免疫相关不良事件(irAE)较为罕见,但我们应更加关注 durvalumab 治疗后尤其是在同步放化疗后出现的血液系统疾病。

https://cdn.ncbi.nlm.nih.gov/pmc/blobs/ada7/8520809/d8009165278d/TCA-12-2811-g001.jpg
https://cdn.ncbi.nlm.nih.gov/pmc/blobs/ada7/8520809/72676d256d3b/TCA-12-2811-g002.jpg
https://cdn.ncbi.nlm.nih.gov/pmc/blobs/ada7/8520809/95533903497a/TCA-12-2811-g003.jpg
https://cdn.ncbi.nlm.nih.gov/pmc/blobs/ada7/8520809/d8009165278d/TCA-12-2811-g001.jpg
https://cdn.ncbi.nlm.nih.gov/pmc/blobs/ada7/8520809/72676d256d3b/TCA-12-2811-g002.jpg
https://cdn.ncbi.nlm.nih.gov/pmc/blobs/ada7/8520809/95533903497a/TCA-12-2811-g003.jpg
https://cdn.ncbi.nlm.nih.gov/pmc/blobs/ada7/8520809/d8009165278d/TCA-12-2811-g001.jpg

相似文献

1
Immune-mediated thrombocytopenia induced with durvalumab after chemoradiotherapy in a non-small cell lung cancer patient: A case report.免疫介导的血小板减少症在非小细胞肺癌患者放化疗后使用度伐鲁单抗诱导:病例报告。
Thorac Cancer. 2021 Oct;12(20):2811-2814. doi: 10.1111/1759-7714.14106. Epub 2021 Aug 17.
2
Long-term response with durvalumab after chemoradiotherapy for pulmonary pleomorphic carcinoma: A case report.多柔比星联合顺铂同期放化疗治疗肺多形性癌的长期疗效:1 例报告。
Thorac Cancer. 2020 Apr;11(4):1090-1093. doi: 10.1111/1759-7714.13331. Epub 2020 Feb 11.
3
Acquired amegakaryocytic thrombocytopenia after durvalumab administration.使用度伐鲁单抗后获得性巨核细胞血小板减少症。
J Clin Exp Hematop. 2021 Mar 18;61(1):53-57. doi: 10.3960/jslrt.20047. Epub 2021 Jan 8.
4
[Radiotherapy plus durvalumab for the treatment of locally advanced non-small cell lung cancer-The DOLPHIN trial].[放疗联合度伐利尤单抗治疗局部晚期非小细胞肺癌——海豚试验]
Strahlenther Onkol. 2024 Jul;200(7):646-648. doi: 10.1007/s00066-024-02231-9. Epub 2024 Apr 18.
5
Overall Survival with Durvalumab after Chemoradiotherapy in Stage III NSCLC.度伐利尤单抗化疗和放疗后用于 III 期非小细胞肺癌的总生存。
N Engl J Med. 2018 Dec 13;379(24):2342-2350. doi: 10.1056/NEJMoa1809697. Epub 2018 Sep 25.
6
Derived neutrophil-to-lymphocyte ratio has the potential to predict safety and outcomes of durvalumab after chemoradiation in non-small cell lung cancer.中性粒细胞与淋巴细胞比值有望预测非小细胞肺癌放化疗后接受度伐利尤单抗的安全性和结局。
Sci Rep. 2024 Aug 23;14(1):19596. doi: 10.1038/s41598-024-70214-y.
7
[Acquired thrombotic thrombocytopenic purpura during durvalumab monotherapy for non-small cell lung cancer].[度伐利尤单抗单药治疗非小细胞肺癌期间获得性血栓性血小板减少性紫癜]
Rinsho Ketsueki. 2024;65(1):24-29. doi: 10.11406/rinketsu.65.24.
8
Effect of durvalumab on local control after concurrent chemoradiotherapy for locally advanced non-small cell lung cancer in comparison with chemoradiotherapy alone.度伐利尤单抗对比单纯放化疗用于局部晚期非小细胞肺癌同步放化疗后局部控制的疗效。
Thorac Cancer. 2021 Jan;12(2):245-250. doi: 10.1111/1759-7714.13764. Epub 2020 Dec 1.
9
Durvalumab as third-line or later treatment for advanced non-small-cell lung cancer (ATLANTIC): an open-label, single-arm, phase 2 study.度伐利尤单抗作为晚期非小细胞肺癌的三线或后线治疗药物(ATLANTIC):一项开放标签、单臂、2 期研究。
Lancet Oncol. 2018 Apr;19(4):521-536. doi: 10.1016/S1470-2045(18)30144-X. Epub 2018 Mar 12.
10
Reactivation of TB during administration of durvalumab after chemoradiotherapy for non-small-cell lung cancer: a case report.durvalumab 治疗非小细胞肺癌放化疗后结核病再激活:病例报告。
Immunotherapy. 2020 Apr;12(6):373-378. doi: 10.2217/imt-2020-0061. Epub 2020 Apr 21.

引用本文的文献

1
Dual-Function RNA Biomarkers: Integrating Relapse Prediction and Immune Profiling in Triple-Negative Breast Cancer.双功能RNA生物标志物:三阴乳腺癌复发预测与免疫剖析的整合
Int J Med Sci. 2025 Aug 11;22(14):3763-3778. doi: 10.7150/ijms.119142. eCollection 2025.
2
Durvalumab-Induced Immune Thrombocytopenia in Patients with Advanced Cholangiocarcinoma Undergoing Yttrium-90 Radioembolization.度伐利尤单抗诱导的免疫性血小板减少症在接受钇-90放射性栓塞治疗的晚期胆管癌患者中的情况
Case Rep Oncol. 2024 Oct 18;17(1):1183-1193. doi: 10.1159/000541550. eCollection 2024 Jan-Dec.
3
A novel immune-related long noncoding RNA (lncRNA) pair model to predict the prognosis of triple-negative breast cancer.

本文引用的文献

1
Acquired amegakaryocytic thrombocytopenia after durvalumab administration.使用度伐鲁单抗后获得性巨核细胞血小板减少症。
J Clin Exp Hematop. 2021 Mar 18;61(1):53-57. doi: 10.3960/jslrt.20047. Epub 2021 Jan 8.
2
Immune Thrombocytopenia Induced by Immune Checkpoint Inhibitors in Solid Cancer: Case Report and Literature Review.实体癌中免疫检查点抑制剂诱导的免疫性血小板减少症:病例报告与文献综述
Front Oncol. 2020 Dec 7;10:530478. doi: 10.3389/fonc.2020.530478. eCollection 2020.
3
A Case of Acquired Amegakaryocytic Thrombocytopenia with Anti-c-mpl Autoantibody: Comparison with Idiopathic Thrombocytopenic Purpura.
一种用于预测三阴性乳腺癌预后的新型免疫相关长链非编码RNA(lncRNA)对模型。
Transl Cancer Res. 2024 Mar 31;13(3):1252-1267. doi: 10.21037/tcr-23-1975. Epub 2024 Mar 11.
抗 c-mpl 自身抗体所致获得性巨核细胞减少性血小板减少症 1 例:与特发性血小板减少性紫癜的比较
Acta Haematol. 2019;142(4):239-243. doi: 10.1159/000499523. Epub 2019 May 27.
4
Hematological Side Effects of Immune Checkpoint Inhibitors: The Example of Immune-Related Thrombocytopenia.免疫检查点抑制剂的血液学副作用:以免疫相关血小板减少症为例。
Front Pharmacol. 2019 Apr 26;10:454. doi: 10.3389/fphar.2019.00454. eCollection 2019.
5
Haematological immune-related adverse events induced by anti-PD-1 or anti-PD-L1 immunotherapy: a descriptive observational study.抗PD-1或抗PD-L1免疫疗法诱导的血液学免疫相关不良事件:一项描述性观察研究。
Lancet Haematol. 2019 Jan;6(1):e48-e57. doi: 10.1016/S2352-3026(18)30175-3. Epub 2018 Dec 4.
6
A fatal allo- and immune-mediated thrombocytopenia with a PD-L1 inhibitor.一种由程序性死亡受体配体1(PD-L1)抑制剂引起的致命性同种免疫介导的血小板减少症。
Ann Oncol. 2018 Feb 1;29(2):514-515. doi: 10.1093/annonc/mdx693.
7
Myelodysplastic Syndrome Presenting as Amegakaryocytic Thrombocytopenia in a Collodion Baby.以无巨核细胞性血小板减少症为表现的先天性鱼鳞病样红皮病患儿的骨髓增生异常综合征
J Investig Med High Impact Case Rep. 2015 Sep 10;3(3):2324709615605637. doi: 10.1177/2324709615605637. eCollection 2015 Jul-Sep.
8
Immune-mediated adverse events of anticytotoxic T lymphocyte-associated antigen 4 antibody therapy in metastatic melanoma.转移性黑色素瘤中抗细胞毒性T淋巴细胞相关抗原4抗体治疗的免疫介导不良事件。
Transl Res. 2015 Nov;166(5):412-24. doi: 10.1016/j.trsl.2015.06.005. Epub 2015 Jun 11.
9
Treatment of acquired amegakaryocytic thrombocytopenic purpura with romiplostim.用罗米司亭治疗获得性无巨核细胞性血小板减少性紫癜。
Platelets. 2015;26(5):504-6. doi: 10.3109/09537104.2014.913128. Epub 2014 May 15.
10
"Almost bleeding to death": the conundrum of acquired amegakaryocytic thrombocytopenia.“几乎失血致死”:获得性无巨核细胞性血小板减少症的难题
Case Rep Hematol. 2014;2014:806541. doi: 10.1155/2014/806541. Epub 2014 Feb 6.