Department of Gynecologic Oncology and Reproductive Medicine, The University of Texas MD Anderson Cancer Center, Houston, TX 77030, USA; Department of Gynecological Oncology, Sun Yat-sen Memorial Hospital, Sun Yat-sen University, Guangzhou, Guangdong 510120, China.
Department of Gynecologic Oncology and Reproductive Medicine, The University of Texas MD Anderson Cancer Center, Houston, TX 77030, USA; Center for RNA Interference and Non-Coding RNA, The University of Texas MD Anderson Cancer Center, Houston, TX 77030, USA.
Cell Rep. 2021 Aug 17;36(7):109549. doi: 10.1016/j.celrep.2021.109549.
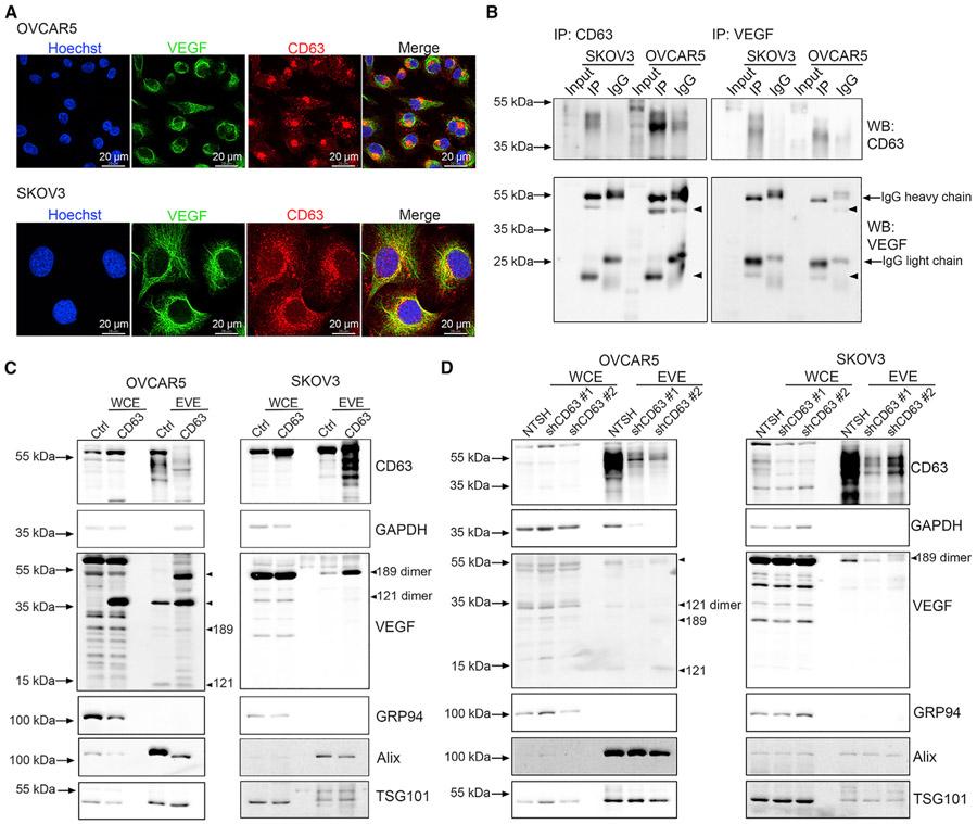
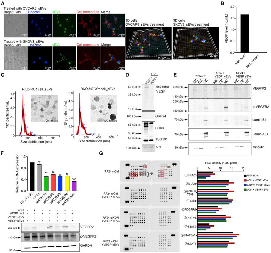
Despite wide use of anti-vascular endothelial growth factor (VEGF) therapy for many solid cancers, most individuals become resistant to this therapy, leading to disease progression. Therefore, new biomarkers and strategies for blocking adaptive resistance of cancer to anti-VEGF therapy are needed. As described here, we demonstrate that cancer-derived small extracellular vesicles package increasing quantities of VEGF and other factors in response to anti-VEGF therapy. The packaging process of VEGF into small extracellular vesicles (EVs) is mediated by the tetraspanin CD63. Furthermore, small EV-VEGF (eVEGF) is not accessible to anti-VEGF antibodies and can trigger intracrine VEGF signaling in endothelial cells. eVEGF promotes angiogenesis and enhances tumor growth despite bevacizumab treatment. These data demonstrate a mechanism where VEGF is partitioned into small EVs and promotes tumor angiogenesis and progression. These findings have clinical implications for biomarkers and therapeutic strategies for ovarian cancer.
尽管抗血管内皮生长因子 (VEGF) 疗法已广泛用于多种实体瘤,但大多数患者会对此种疗法产生耐药性,导致疾病进展。因此,需要新的生物标志物和策略来阻断癌症对抗 VEGF 治疗的适应性耐药。如本文所述,我们证明了癌症来源的小细胞外囊泡在抗 VEGF 治疗时会包装越来越多的 VEGF 和其他因子。VEGF 包装到小细胞外囊泡 (EVs) 中的过程是由四跨膜蛋白 CD63 介导的。此外,EV-VEGF(eVEGF)不能被抗 VEGF 抗体所识别,并且可以在血管内皮细胞中触发内源性 VEGF 信号转导。eVEGF 促进血管生成并增强肿瘤生长,尽管使用了贝伐珠单抗治疗。这些数据表明了一种机制,即 VEGF 被分配到小 EVs 中,从而促进了肿瘤的血管生成和进展。这些发现对卵巢癌的生物标志物和治疗策略具有临床意义。