Suppr超能文献

坏死性牙周病与酒精滥用——骨坏死的病因?

Necrotising periodontal diseases and alcohol misuse - a cause of osteonecrosis?

机构信息

Charles Clifford Dental Hospital, Community and Special Care Dentistry, 76 Wellesley Road, Broomhall, Sheffield, S10 2SZ, UK.

Community and Special Care Dentistry, Wheata Place Dental Clinic, 570 Wordsworth Avenue, Sheffield, S5 9JH, UK.

出版信息

Br Dent J. 2021 Aug;231(4):225-231. doi: 10.1038/s41415-021-3272-9. Epub 2021 Aug 27.

Abstract

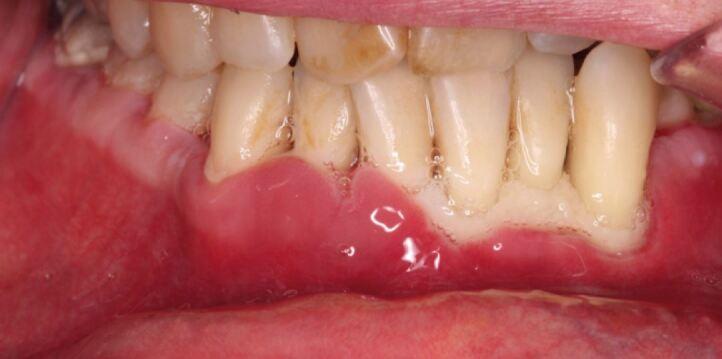
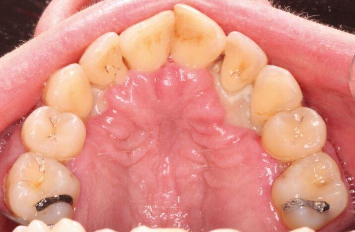
'Necrotising periodontal diseases' is an umbrella term for necrotising gingivitis, necrotising periodontitis, necrotising stomatitis and noma. These rapidly destructive conditions are characterised by pain, interdental ulceration and gingival necrosis which, if left untreated, can result in osteonecrosis. Research indicates that patients with a history of alcohol misuse are at an increased risk of malnutrition, which negatively affects the immune response and predisposition to necrotising periodontal diseases. This article will discuss that osteonecrosis of the alveolar bone does not exclusively occur in association with antiresorptive medications, but can occur as a severe form of necrotising gingivitis. In this article, we will describe two cases to highlight the occurrence, presentation and management of necrotising periodontal diseases secondary to alcohol misuse.

摘要

'坏死性牙周病'是坏死性龈炎、坏死性牙周炎、坏死性口炎和口底蜂窝织炎的统称。这些迅速破坏性的疾病的特征是疼痛、牙间溃疡和牙龈坏死,如果不治疗,可能导致骨坏死。研究表明,有酒精滥用史的患者更容易出现营养不良,这会对免疫反应和发生坏死性牙周病的倾向产生负面影响。本文将讨论牙槽骨骨坏死不仅与抗吸收药物有关,还可能作为严重的坏死性龈炎发生。在本文中,我们将描述两例病例,以强调酒精滥用引起的坏死性牙周病的发生、表现和治疗。

https://cdn.ncbi.nlm.nih.gov/pmc/blobs/25a3/8390050/5146305bc2f8/41415_2021_3272_Fig1_HTML.jpg

文献AI研究员

20分钟写一篇综述,助力文献阅读效率提升50倍。

立即体验

用中文搜PubMed

大模型驱动的PubMed中文搜索引擎

马上搜索

文档翻译

学术文献翻译模型,支持多种主流文档格式。

立即体验