Suppr超能文献

[植物名称]的甲醇提取物通过抗炎和免疫调节作用改善实验性1型糖尿病的临床症状。

Methanolic Extract of Ameliorates Clinical Symptoms in Experimental Type 1 Diabetes through Anti-Inflammatory and Immunomodulatory Actions.

作者信息

Aghajanzadeh Hamid, Abdolmaleki Mohsen, Ebrahimzadeh Mohammad Ali, Mojtabavi Nazanin, Mousavi Tahereh, Izad Maryam

机构信息

Department of Immunology, School of Medicine, Tehran University of Medical Sciences, Tehran, Iran.

Razi Vaccine and Serum Research Institute, Karaj, Iran.

出版信息

Cell J. 2021 Sep;23(4):465-473. doi: 10.22074/cellj.2021.7287. Epub 2021 Aug 29.

Abstract

OBJECTIVE

(SE), a famous traditional Iranian medicine, is grown in the north of Iran. As a traditional medicine with anti-inflammatory effects, SE has been utilized against inflammatory joint diseases, insect bites, infectious wounds, edema, and eczema. Type1 diabetes, is an autoimmune disease, characterized by the destruction of pancreatic beta cells by the immune system. For the first time, we investigated the effect of methanolic extract of SE on CD4+, CD8+ and regulatory T cells in experimental type 1 diabetes (T1D).

MATERIALS AND METHODS

In this experimental study, fifty-six C57BL\6 mice in 8 groups (G1-G8), were enrolled. Diabetes was induced by a multiple low-dose streptozotocin (MLDS) protocol and mice were daily treated with SE extract at 200 and 400 mg/kg doses, for 35 days. Fasting blood glucose was weekly measured by a glucometer. Islets insulin content was analyzed by immunohistochemistry. Percentage of CD4+, CD8+ and regulatory T cells and cytokines production levels were evaluated by flow cytometer and ELISA, respectively.

RESULTS

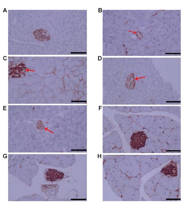
The clinical symptoms of diabetes were significantly alleviated in G2 group mice which received 400 mg/ kg SE extract. Immunohistochemistry analysis showed that the insulin content of islets increased in G2 group mice. Immunophenotyping analysis indicated that the percentage of CD4+ and CD8+ T cells in G2 group mice was significantly decreased. SE extract significantly increased the percentage of regulatory T cells. The extract in G2 and G4 groups mice significantly decreased IFN-γ and IL-17levels. The extract significantly increased IL-10 in G2 group mice.

CONCLUSION

The protective effect of SE extract in MLDS-induced diabetes could be partly due to a decrease of CD4+ and CD8+ T cells and an increase of Treg cells resulting in an inflammation reduction in the pancreatic islets.

摘要

目的

伊朗著名传统药物赛阿白尔(SE)生长于伊朗北部。作为一种具有抗炎作用的传统药物,SE已被用于治疗炎性关节疾病、昆虫叮咬、感染性伤口、水肿和湿疹。1型糖尿病是一种自身免疫性疾病,其特征是免疫系统破坏胰腺β细胞。我们首次研究了SE甲醇提取物对实验性1型糖尿病(T1D)中CD4 +、CD8 +和调节性T细胞的影响。

材料与方法

在本实验研究中,招募了56只C57BL\6小鼠,分为8组(G1 - G8)。通过多次低剂量链脲佐菌素(MLDS)方案诱导糖尿病,并每天以200和400 mg/kg剂量给小鼠注射SE提取物,持续35天。每周用血糖仪测量空腹血糖。通过免疫组织化学分析胰岛胰岛素含量。分别通过流式细胞仪和酶联免疫吸附测定法评估CD4 +、CD8 +和调节性T细胞的百分比以及细胞因子产生水平。

结果

接受400 mg/kg SE提取物的G2组小鼠的糖尿病临床症状明显减轻。免疫组织化学分析表明,G2组小鼠胰岛的胰岛素含量增加。免疫表型分析表明,G2组小鼠中CD4 +和CD8 + T细胞的百分比显著降低。SE提取物显著增加了调节性T细胞的百分比。G2和G4组小鼠中的提取物显著降低了IFN - γ和IL - 17水平。提取物显著增加了G2组小鼠中的IL - 10。

结论

SE提取物对MLDS诱导的糖尿病的保护作用可能部分归因于CD4 +和CD8 + T细胞的减少以及调节性T细胞的增加,从而减少了胰岛中的炎症。

https://cdn.ncbi.nlm.nih.gov/pmc/blobs/d949/8405075/37c0b51d687e/Cell-J-23-465-g01.jpg

文献AI研究员

20分钟写一篇综述,助力文献阅读效率提升50倍。

立即体验

用中文搜PubMed

大模型驱动的PubMed中文搜索引擎

马上搜索

文档翻译

学术文献翻译模型,支持多种主流文档格式。

立即体验