• 文献检索
  • 文档翻译
  • 深度研究
  • 学术资讯
  • Suppr Zotero 插件Zotero 插件
  • 邀请有礼
  • 套餐&价格
  • 历史记录
应用&插件
Suppr Zotero 插件Zotero 插件浏览器插件Mac 客户端Windows 客户端微信小程序
定价
高级版会员购买积分包购买API积分包
服务
文献检索文档翻译深度研究API 文档MCP 服务
关于我们
关于 Suppr公司介绍联系我们用户协议隐私条款
关注我们

Suppr 超能文献

核心技术专利:CN118964589B侵权必究
粤ICP备2023148730 号-1Suppr @ 2026

文献检索

告别复杂PubMed语法,用中文像聊天一样搜索,搜遍4000万医学文献。AI智能推荐,让科研检索更轻松。

立即免费搜索

文件翻译

保留排版,准确专业,支持PDF/Word/PPT等文件格式,支持 12+语言互译。

免费翻译文档

深度研究

AI帮你快速写综述,25分钟生成高质量综述,智能提取关键信息,辅助科研写作。

立即免费体验

mTOR在透明细胞肾细胞癌中的预后意义及肿瘤免疫浸润

Prognostic significance and tumor-immune infiltration of mTOR in clear cell renal cell carcinoma.

作者信息

Li Na, Chen Jie, Liu Qiang, Qu Hongyi, Yang Xiaoqing, Gao Peng, Wang Yao, Gao Huayu, Wang Hong, Zhao Zuohui

机构信息

Department of Urology, The First Affiliated Hospital of Shandong First Medical University & Shandong Provincial Qianfoshan Hospital, Jinan, Shandong, China.

Department of Urology, Jinan Central Hospital, Cheeloo College of Medicine, Shandong University, Jinan, Shandong, China.

出版信息

PeerJ. 2021 Aug 17;9:e11901. doi: 10.7717/peerj.11901. eCollection 2021.

DOI:10.7717/peerj.11901
PMID:34458019
原文链接:https://pmc.ncbi.nlm.nih.gov/articles/PMC8378334/
Abstract

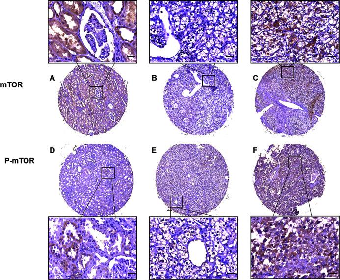
Mammalian target of rapamycin (mTOR), a serine/threonine kinase involved in cell proliferation, survival, metabolism and immunity, was reportedly activated in various cancers. However, the clinical role of mTOR in renal cell carcinoma (RCC) is controversial. Here we detected the expression and prognosis of total mTOR and phosphorylated mTOR (p-mTOR) in clear cell RCC (ccRCC) patients, and explored the interactions between mTOR and immune infiltrates in ccRCC. The protein level of mTOR and p-mTOR was determined by western blotting (WB), and their expression was evaluated in 145 ccRCC and 13 non-tumor specimens by immunohistochemistry (IHC). The relationship to immune infiltration of mTOR was further investigated using TIMER and TISIDB databases, respectively. WB demonstrated the ratio of p-mTOR to mTOR was higher in ccRCC than adjacent specimens ( = 3), and IHC analysis elucidated that p-mTOR expression was positively correlated with tumor size, stage and metastasis status, and negatively correlated with cancer-specific survival (CSS). In univariate analysis, high grade, large tumor, advanced stage, metastasis, and high p-mTOR expression were recognized as prognostic factors of poorer CSS, and multivariate survival analysis elucidated that tumor stage, p-mTOR and metastasis were of prognostic value for CSS in ccRCC patients. Further TIMER and TISIDB analyses uncovered that mTOR gene expression was significantly associated with numerous immune cells and immunoinhibitors in patients with ccRCC. Collectively, these findings revealed p-mTOR was identified as an independent predictor of poor survival, and mTOR was associated with tumor immune infiltrates in ccRCC patients, which validated mTOR could be implicated in the initiation and progression of ccRCC.

摘要

雷帕霉素哺乳动物靶点(mTOR)是一种参与细胞增殖、存活、代谢和免疫的丝氨酸/苏氨酸激酶,据报道在多种癌症中被激活。然而,mTOR在肾细胞癌(RCC)中的临床作用存在争议。在此,我们检测了透明细胞肾细胞癌(ccRCC)患者中总mTOR和磷酸化mTOR(p-mTOR)的表达及预后,并探讨了ccRCC中mTOR与免疫浸润之间的相互作用。通过蛋白质免疫印迹法(WB)测定mTOR和p-mTOR的蛋白水平,并通过免疫组织化学(IHC)在145例ccRCC和13例非肿瘤标本中评估它们的表达。分别使用TIMER和TISIDB数据库进一步研究mTOR与免疫浸润的关系。WB显示ccRCC中p-mTOR与mTOR的比值高于相邻标本( = 3),IHC分析表明p-mTOR表达与肿瘤大小、分期和转移状态呈正相关,与癌症特异性生存(CSS)呈负相关。在单因素分析中,高分级、大肿瘤、晚期、转移和高p-mTOR表达被认为是CSS较差的预后因素,多因素生存分析表明肿瘤分期、p-mTOR和转移对ccRCC患者的CSS具有预后价值。进一步的TIMER和TISIDB分析发现,ccRCC患者中mTOR基因表达与多种免疫细胞和免疫抑制剂显著相关。总体而言,这些发现表明p-mTOR被确定为生存不良的独立预测因子,mTOR与ccRCC患者的肿瘤免疫浸润相关,这证实mTOR可能参与ccRCC的发生和发展。

https://cdn.ncbi.nlm.nih.gov/pmc/blobs/aea6/8378334/8a05be8cdeee/peerj-09-11901-g006.jpg
https://cdn.ncbi.nlm.nih.gov/pmc/blobs/aea6/8378334/5312a5a55930/peerj-09-11901-g001.jpg
https://cdn.ncbi.nlm.nih.gov/pmc/blobs/aea6/8378334/3df6ae576985/peerj-09-11901-g002.jpg
https://cdn.ncbi.nlm.nih.gov/pmc/blobs/aea6/8378334/1efb63bcb132/peerj-09-11901-g003.jpg
https://cdn.ncbi.nlm.nih.gov/pmc/blobs/aea6/8378334/971451eb7e22/peerj-09-11901-g004.jpg
https://cdn.ncbi.nlm.nih.gov/pmc/blobs/aea6/8378334/6fcd7de82f8f/peerj-09-11901-g005.jpg
https://cdn.ncbi.nlm.nih.gov/pmc/blobs/aea6/8378334/8a05be8cdeee/peerj-09-11901-g006.jpg
https://cdn.ncbi.nlm.nih.gov/pmc/blobs/aea6/8378334/5312a5a55930/peerj-09-11901-g001.jpg
https://cdn.ncbi.nlm.nih.gov/pmc/blobs/aea6/8378334/3df6ae576985/peerj-09-11901-g002.jpg
https://cdn.ncbi.nlm.nih.gov/pmc/blobs/aea6/8378334/1efb63bcb132/peerj-09-11901-g003.jpg
https://cdn.ncbi.nlm.nih.gov/pmc/blobs/aea6/8378334/971451eb7e22/peerj-09-11901-g004.jpg
https://cdn.ncbi.nlm.nih.gov/pmc/blobs/aea6/8378334/6fcd7de82f8f/peerj-09-11901-g005.jpg
https://cdn.ncbi.nlm.nih.gov/pmc/blobs/aea6/8378334/8a05be8cdeee/peerj-09-11901-g006.jpg

相似文献

1
Prognostic significance and tumor-immune infiltration of mTOR in clear cell renal cell carcinoma.mTOR在透明细胞肾细胞癌中的预后意义及肿瘤免疫浸润
PeerJ. 2021 Aug 17;9:e11901. doi: 10.7717/peerj.11901. eCollection 2021.
2
The novel role of LDHA/LDHB in the prognostic value and tumor-immune infiltration in clear cell renal cell carcinoma.LDHA/LDHB 在透明细胞肾细胞癌预后价值和肿瘤免疫浸润中的新作用。
PeerJ. 2023 Aug 1;11:e15749. doi: 10.7717/peerj.15749. eCollection 2023.
3
Expression and prognostic significance of fatty acid synthase in clear cell renal cell carcinoma.脂肪酸合酶在肾透明细胞癌中的表达及预后意义。
Pathol Res Pract. 2020 Nov;216(11):153227. doi: 10.1016/j.prp.2020.153227. Epub 2020 Sep 28.
4
STK4 is a prognostic biomarker correlated with immune infiltrates in clear cell renal cell carcinoma.STK4 是与透明细胞肾细胞癌免疫浸润相关的预后生物标志物。
Aging (Albany NY). 2023 Oct 20;15(20):11286-11297. doi: 10.18632/aging.205127.
5
The prognostic value and its relationship with immune infiltration of ACLY in clear cell renal cell carcinoma.ACLY在透明细胞肾细胞癌中的预后价值及其与免疫浸润的关系。
Transl Oncol. 2024 Sep;47:102056. doi: 10.1016/j.tranon.2024.102056. Epub 2024 Jul 5.
6
Identification and validation of novel prognostic markers in Renal Cell Carcinoma.肾细胞癌中新型预后标志物的鉴定与验证
Dan Med J. 2017 Oct;64(10).
7
Prognostic significance of two lipid metabolism enzymes, HADHA and ACAT2, in clear cell renal cell carcinoma.两种脂质代谢酶HADHA和ACAT2在透明细胞肾细胞癌中的预后意义
Tumour Biol. 2016 Jun;37(6):8121-30. doi: 10.1007/s13277-015-4720-4. Epub 2015 Dec 29.
8
Prognostic significance of PI3K/AKT/ mTOR signaling pathway members in clear cell renal cell carcinoma.PI3K/AKT/mTOR信号通路成员在透明细胞肾细胞癌中的预后意义
PeerJ. 2020 Jun 1;8:e9261. doi: 10.7717/peerj.9261. eCollection 2020.
9
High Expression of CD39 is Associated with Poor Prognosis and Immune Infiltrates in Clear Cell Renal Cell Carcinoma.CD39高表达与透明细胞肾细胞癌的不良预后和免疫浸润相关。
Onco Targets Ther. 2020 Oct 14;13:10453-10464. doi: 10.2147/OTT.S272553. eCollection 2020.
10
Evaluation and prognostic significance of manganese superoxide dismutase in clear cell renal cell carcinoma.锰超氧化物歧化酶在肾透明细胞癌中的评估和预后意义。
Hum Pathol. 2018 Oct;80:87-93. doi: 10.1016/j.humpath.2017.12.032. Epub 2018 Jun 20.

引用本文的文献

1
The prognostic value and its relationship with immune infiltration of ACLY in clear cell renal cell carcinoma.ACLY在透明细胞肾细胞癌中的预后价值及其与免疫浸润的关系。
Transl Oncol. 2024 Sep;47:102056. doi: 10.1016/j.tranon.2024.102056. Epub 2024 Jul 5.
2
Mutational profile of primary clear cell renal cell carcinoma predicts recurrence and potential candidacy for adjuvant immune checkpoint inhibition.原发性透明细胞肾细胞癌的突变特征可预测复发风险和辅助免疫检查点抑制治疗的潜在获益人群。
F1000Res. 2024 Jun 14;12:918. doi: 10.12688/f1000research.136087.2. eCollection 2023.
3
Identification of potential biomarkers and candidate therapeutic drugs for clear cell renal cell carcinoma by bioinformatic analysis and reverse network pharmacology.

本文引用的文献

1
The emerging role of microRNA in regulating the mTOR signaling pathway in immune and inflammatory responses.microRNA 在调节免疫和炎症反应中的 mTOR 信号通路中的新兴作用。
Immunol Cell Biol. 2021 Sep;99(8):814-832. doi: 10.1111/imcb.12477. Epub 2021 Jun 15.
2
Global Cancer Statistics 2020: GLOBOCAN Estimates of Incidence and Mortality Worldwide for 36 Cancers in 185 Countries.《全球癌症统计数据 2020:全球 185 个国家和地区 36 种癌症的发病率和死亡率估计》。
CA Cancer J Clin. 2021 May;71(3):209-249. doi: 10.3322/caac.21660. Epub 2021 Feb 4.
3
Cancer Statistics, 2021.
通过生物信息学分析和反向网络药理学鉴定透明细胞肾细胞癌的潜在生物标志物和候选治疗药物。
Medicine (Baltimore). 2023 Sep 1;102(35):e34929. doi: 10.1097/MD.0000000000034929.
4
Prognostic and clinicopathological role of RACK1 for cancer patients: a systematic review and meta-analysis.RACK1 对癌症患者预后和临床病理作用的系统评价和荟萃分析。
PeerJ. 2023 Aug 14;11:e15873. doi: 10.7717/peerj.15873. eCollection 2023.
5
The novel role of LDHA/LDHB in the prognostic value and tumor-immune infiltration in clear cell renal cell carcinoma.LDHA/LDHB 在透明细胞肾细胞癌预后价值和肿瘤免疫浸润中的新作用。
PeerJ. 2023 Aug 1;11:e15749. doi: 10.7717/peerj.15749. eCollection 2023.
6
Immunotherapy and Immune Infiltration in Patients with Clear Cell Renal Cell Carcinoma: A Comprehensive Analysis.免疫疗法和免疫浸润在透明细胞肾细胞癌患者中的作用:一项综合分析。
Genet Res (Camb). 2023 Apr 6;2023:3898610. doi: 10.1155/2023/3898610. eCollection 2023.
7
mTOR-Mediated Regulation of Immune Responses in Cancer and Tumor Microenvironment.mTOR 介导的癌症和肿瘤微环境中免疫反应的调节。
Front Immunol. 2022 Feb 18;12:774103. doi: 10.3389/fimmu.2021.774103. eCollection 2021.
癌症统计数据,2021.
CA Cancer J Clin. 2021 Jan;71(1):7-33. doi: 10.3322/caac.21654. Epub 2021 Jan 12.
4
Expression and prognostic significance of fatty acid synthase in clear cell renal cell carcinoma.脂肪酸合酶在肾透明细胞癌中的表达及预后意义。
Pathol Res Pract. 2020 Nov;216(11):153227. doi: 10.1016/j.prp.2020.153227. Epub 2020 Sep 28.
5
The immunology of renal cell carcinoma.肾细胞癌的免疫学。
Nat Rev Nephrol. 2020 Dec;16(12):721-735. doi: 10.1038/s41581-020-0316-3. Epub 2020 Jul 30.
6
Prognostic significance of PI3K/AKT/ mTOR signaling pathway members in clear cell renal cell carcinoma.PI3K/AKT/mTOR信号通路成员在透明细胞肾细胞癌中的预后意义
PeerJ. 2020 Jun 1;8:e9261. doi: 10.7717/peerj.9261. eCollection 2020.
7
PD-1/PD-L1 pathway: current researches in cancer.PD-1/PD-L1 通路:癌症领域的当前研究
Am J Cancer Res. 2020 Mar 1;10(3):727-742. eCollection 2020.
8
Overexpression of p-Akt, p-mTOR and p-eIF4E proteins associates with metastasis and unfavorable prognosis in non-small cell lung cancer.p-Akt、p-mTOR 和 p-eIF4E 蛋白的过表达与非小细胞肺癌的转移和不良预后相关。
PLoS One. 2020 Feb 5;15(2):e0227768. doi: 10.1371/journal.pone.0227768. eCollection 2020.
9
mTOR Links Tumor Immunity and Bone Metabolism: What are the Clinical Implications?mTOR 连接肿瘤免疫和骨代谢:有哪些临床意义?
Int J Mol Sci. 2019 Nov 21;20(23):5841. doi: 10.3390/ijms20235841.
10
The impact of neutrophil-lymphocyte ratio on risk reclassification of patients with advanced renal cell cancer to guide risk-directed therapy.中性粒细胞与淋巴细胞比值对晚期肾细胞癌患者风险再分类以指导风险导向治疗的影响。
Acta Oncol. 2020 Jan;59(1):20-27. doi: 10.1080/0284186X.2019.1656342. Epub 2019 Aug 29.