Suppr超能文献

复发性典型肺类癌肿瘤的一种不寻常临床表现。

An unusual clinical manifestation of a relapsed typical pulmonary carcinoϊd tumor.

作者信息

Belloumi Nidhal, Hamdi Mariem, Braham Emna, Bachouch Imène, Chermiti Ben Abdallah Fatma, Mezni Faouzi, Fenniche Soraya

机构信息

Pulmonology Department Pavilion 4, Abderrahmen Mami Hospital, Ariana, Tunisia.

Pathology Department, Abderrahmen Mami Hospital, Ariana, Tunisia.

出版信息

Respir Med Case Rep. 2021 Apr 2;33:101401. doi: 10.1016/j.rmcr.2021.101401. eCollection 2021.

Abstract

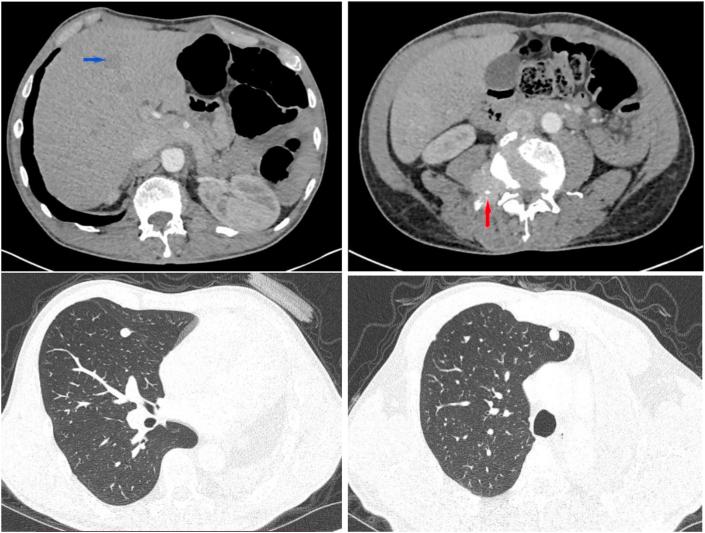
Typical carcinoid tumors of the lungs carry an excellent prognosis after complete surgical excision. However, recurrence of these cancers remains poorly described in the literature and may occur many years after surgery. We report a case of carcinoid tumor of the lung. Clinical presentation and follow-up were uneventful. The 55 years old patient had got a surgical removal of a huge typical carcinoid tumor of the left lung. A left pneumonectomy with a mediastinal lymph node resection were performed. Thirteen years later, paraneoplastic acromegaly revealed a pulmonary and extrapulmonary recurrence of the tumor. We prescribed a chemotherapy regimen including Cisplatin and Etoposide. Endocrine paraneoplastic syndromes are related to mutations in specifically known genes. Several mutations may become a promising therapeutic target in the future. In the case of neuro-endocrine pulmonary tumors, authors described BCOR gene mutation as an oncogenic development inducer and an eventual generator of ectopic tumoral secretions. The more we get familiar with carcinoid tumor mutations, the closer we get to targeted therapy for non-resectable tumors.

摘要

典型的肺类癌肿瘤在完整手术切除后预后良好。然而,这些癌症的复发在文献中描述较少,且可能在手术后多年发生。我们报告一例肺类癌肿瘤病例。临床表现及随访过程均无异常。这位55岁的患者接受了左肺巨大典型类癌肿瘤的手术切除。进行了左全肺切除术及纵隔淋巴结切除术。十三年后,副肿瘤性肢端肥大症提示肿瘤出现肺内及肺外复发。我们开具了包括顺铂和依托泊苷的化疗方案。内分泌副肿瘤综合征与特定已知基因的突变有关。若干突变可能在未来成为有前景的治疗靶点。对于神经内分泌性肺肿瘤,作者将BCOR基因突变描述为致癌发展诱导因素及异位肿瘤分泌物的最终产生因素。我们对类癌肿瘤突变了解得越多,就越接近对不可切除肿瘤的靶向治疗。

https://cdn.ncbi.nlm.nih.gov/pmc/blobs/2ff7/8378835/da02389dac1a/gr1.jpg

文献检索

告别复杂PubMed语法,用中文像聊天一样搜索,搜遍4000万医学文献。AI智能推荐,让科研检索更轻松。

立即免费搜索

文件翻译

保留排版,准确专业,支持PDF/Word/PPT等文件格式,支持 12+语言互译。

免费翻译文档

深度研究

AI帮你快速写综述,25分钟生成高质量综述,智能提取关键信息,辅助科研写作。

立即免费体验