Suppr超能文献

肾细胞癌模拟移行细胞癌:一例报告。

Renal Cell Carcinoma Mimicking Transitional Cell Carcinoma: A Case Report.

机构信息

Department of Diagnostic Radiology, Changi General Hospital, Singapore, Singapore.

Department of Radiology, Wan Fang Hospital, Taipei Medical University, Taipei, Taiwan.

出版信息

Am J Case Rep. 2021 Sep 6;22:e932098. doi: 10.12659/AJCR.932098.

Abstract

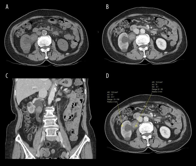
BACKGROUND Preoperative differentiation between renal cell carcinoma (RCC) and transitional cell carcinoma (TCC) is of utmost important for determining surgical strategy, whether nephrectomy or nephro-ureterectomy, as well as the necessity for wider lymphadenectomy and subsequent intensive surveillance, as the latter is more prone to recurrence. CASE REPORT A 76-year-old Chinese woman presented with flank pain and gross hematuria, and was found to have right-sided hydronephrosis. An obstructing tumor in the renal pelvis was shown on a computed tomography (CT) intravenous pyelogram. Although its enhancement pattern was suggestive of RCC, the location within the collecting system without any attachment to the renal parenchyma is very unusual. The mass was diagnosed histopathologically as RCC on both ureteroscopic biopsy and subsequent radical nephrectomy. CONCLUSIONS We present a rare case of RCC growing exclusively in the renal pelvis, mimicking a TCC. Hypotheses regarding this unusual presentation include direct invasion, continuous implantation, and intraluminal transit down the collecting system. The characteristics on imaging studies, including greater enhancement and higher tumor-to-kidney attenuation ratio, may provide a clue for diagnosis, but ureteroscopy and histopathology are the criterion standards and should be considered as part of routine preoperative assessment. Amidst controversies and inconsistencies, more and more emerging evidence suggests that RCC with urinary collecting system invasion is associated with less favorable overall and recurrence-free survival, especially in localized diseases.

摘要

背景

术前区分肾细胞癌 (RCC) 和移行细胞癌 (TCC) 对于确定手术策略至关重要,无论是肾切除术还是肾输尿管切除术,以及是否需要更广泛的淋巴结切除术和随后的强化监测,因为后者更容易复发。

病例报告

一名 76 岁的中国女性因腰痛和肉眼血尿就诊,发现右侧肾盂积水。CT 静脉肾盂造影显示肾盂内有一个阻塞性肿瘤。尽管其增强模式提示为 RCC,但位于集合系统内而不与肾实质相连的位置非常罕见。该肿块在输尿管镜活检和随后的根治性肾切除术中均被组织病理学诊断为 RCC。

结论

我们报告了一例罕见的完全在肾盂内生长的 RCC 病例,类似于 TCC。对于这种不常见表现的假设包括直接侵犯、连续种植和腔内通过集合系统。影像学研究的特征,包括更高的增强和更高的肿瘤与肾脏衰减比值,可能为诊断提供线索,但输尿管镜检查和组织病理学是标准标准,应作为常规术前评估的一部分考虑。在争议和不一致的情况下,越来越多的新证据表明,伴有尿收集系统侵犯的 RCC 与整体和无复发生存率较差相关,尤其是在局限性疾病中。

https://cdn.ncbi.nlm.nih.gov/pmc/blobs/bc1f/8436829/8a64a8966daf/amjcaserep-22-e932098-g001.jpg

文献检索

告别复杂PubMed语法,用中文像聊天一样搜索,搜遍4000万医学文献。AI智能推荐,让科研检索更轻松。

立即免费搜索

文件翻译

保留排版,准确专业,支持PDF/Word/PPT等文件格式,支持 12+语言互译。

免费翻译文档

深度研究

AI帮你快速写综述,25分钟生成高质量综述,智能提取关键信息,辅助科研写作。

立即免费体验