• 文献检索
  • 文档翻译
  • 深度研究
  • 学术资讯
  • Suppr Zotero 插件Zotero 插件
  • 邀请有礼
  • 套餐&价格
  • 历史记录
应用&插件
Suppr Zotero 插件Zotero 插件浏览器插件Mac 客户端Windows 客户端微信小程序
定价
高级版会员购买积分包购买API积分包
服务
文献检索文档翻译深度研究API 文档MCP 服务
关于我们
关于 Suppr公司介绍联系我们用户协议隐私条款
关注我们

Suppr 超能文献

核心技术专利:CN118964589B侵权必究
粤ICP备2023148730 号-1Suppr @ 2026

文献检索

告别复杂PubMed语法,用中文像聊天一样搜索,搜遍4000万医学文献。AI智能推荐,让科研检索更轻松。

立即免费搜索

文件翻译

保留排版,准确专业,支持PDF/Word/PPT等文件格式,支持 12+语言互译。

免费翻译文档

深度研究

AI帮你快速写综述,25分钟生成高质量综述,智能提取关键信息,辅助科研写作。

立即免费体验

卵巢成熟性囊性畸胎瘤恶变伴小肠转移,右卵巢偶然发现浆液性囊腺瘤碰撞瘤。

Malignant degeneration of mature cystic teratoma of the ovary with small bowel metastasis incidental serous cystadenoma collision tumor of the right ovary.

作者信息

Abduljabbar Ahmed, Wazzan Mohammed, Bahubaishi Khaled, Alghamdi Ibrahim, Marghalani Muath, Alhazmi Abrar Mansour

机构信息

Department of Radiology, King Abdul-Aziz University, Jeddah, Saudi Arabia.

Department of Radiology, King Abdul-Aziz University Hospital, Jeddah, Saudi Arabia.

出版信息

Radiol Case Rep. 2021 Aug 26;16(11):3275-3279. doi: 10.1016/j.radcr.2021.07.073. eCollection 2021 Nov.

DOI:10.1016/j.radcr.2021.07.073
PMID:34484530
原文链接:https://pmc.ncbi.nlm.nih.gov/articles/PMC8403721/
Abstract

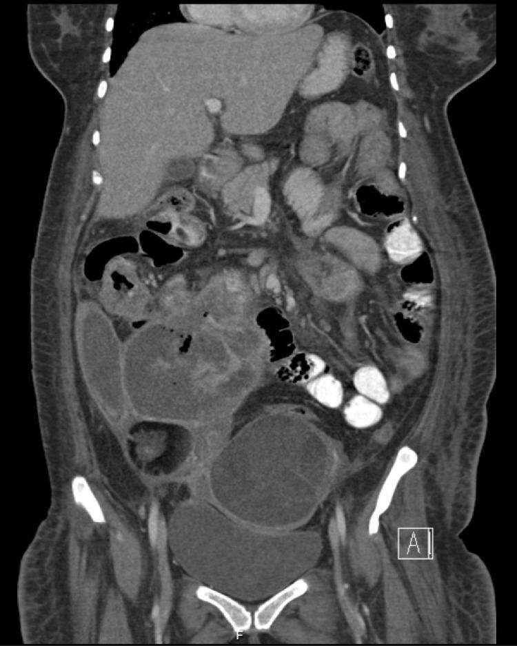
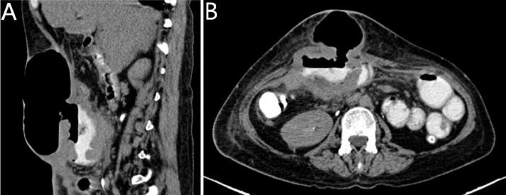
Mature Cystic Ovarian Teratoma (MCOTs) are the most common benign ovarian neoplasms, representing around 20% of all ovarian neoplasms with middle age women representing the majority of patients. They usually include two germ cell layers being well differentiated and rarely they demonstrate malignant transformation with squamous cell carcinoma being the most common malignant transformation. In our case, we report an interesting case of a 45 years old lady who was unfortunate to have a MCOT with malignant degeneration and distant metastasis. We concluded that MCOT malignant degeneration is rare, however, if not caught early, mortality can be high. MCOT, Ovary, Small Bowel, Teratoma, Collision tumor.

摘要

成熟囊性卵巢畸胎瘤(MCOTs)是最常见的卵巢良性肿瘤,约占所有卵巢肿瘤的20%,患者以中年女性为主。它们通常包含两个分化良好的胚层,很少发生恶变,其中鳞状细胞癌是最常见的恶变类型。在我们的病例中,我们报告了一例有趣的病例,一名45岁女性不幸患有发生恶性变和远处转移的成熟囊性卵巢畸胎瘤。我们得出结论,成熟囊性卵巢畸胎瘤恶性变很少见,然而,如果不及早发现,死亡率可能很高。成熟囊性卵巢畸胎瘤、卵巢、小肠、畸胎瘤、碰撞瘤。

https://cdn.ncbi.nlm.nih.gov/pmc/blobs/aabd/8403721/3120fe96be18/gr6.jpg
https://cdn.ncbi.nlm.nih.gov/pmc/blobs/aabd/8403721/c0916135a954/gr1.jpg
https://cdn.ncbi.nlm.nih.gov/pmc/blobs/aabd/8403721/4f790082b90f/gr2.jpg
https://cdn.ncbi.nlm.nih.gov/pmc/blobs/aabd/8403721/725faf2eb664/gr3.jpg
https://cdn.ncbi.nlm.nih.gov/pmc/blobs/aabd/8403721/b3ada4910797/gr4.jpg
https://cdn.ncbi.nlm.nih.gov/pmc/blobs/aabd/8403721/74f12040d284/gr5.jpg
https://cdn.ncbi.nlm.nih.gov/pmc/blobs/aabd/8403721/3120fe96be18/gr6.jpg
https://cdn.ncbi.nlm.nih.gov/pmc/blobs/aabd/8403721/c0916135a954/gr1.jpg
https://cdn.ncbi.nlm.nih.gov/pmc/blobs/aabd/8403721/4f790082b90f/gr2.jpg
https://cdn.ncbi.nlm.nih.gov/pmc/blobs/aabd/8403721/725faf2eb664/gr3.jpg
https://cdn.ncbi.nlm.nih.gov/pmc/blobs/aabd/8403721/b3ada4910797/gr4.jpg
https://cdn.ncbi.nlm.nih.gov/pmc/blobs/aabd/8403721/74f12040d284/gr5.jpg
https://cdn.ncbi.nlm.nih.gov/pmc/blobs/aabd/8403721/3120fe96be18/gr6.jpg

相似文献

1
Malignant degeneration of mature cystic teratoma of the ovary with small bowel metastasis incidental serous cystadenoma collision tumor of the right ovary.卵巢成熟性囊性畸胎瘤恶变伴小肠转移,右卵巢偶然发现浆液性囊腺瘤碰撞瘤。
Radiol Case Rep. 2021 Aug 26;16(11):3275-3279. doi: 10.1016/j.radcr.2021.07.073. eCollection 2021 Nov.
2
[Malignant transformation of thyroid tissue in an ovarian dermoid cyst: case report].[卵巢皮样囊肿中甲状腺组织的恶性转化:病例报告]
Med Pregl. 1999 Sep-Oct;52(9-10):395-8.
3
Germ cell tumors of the gonads: a selective review emphasizing problems in differential diagnosis, newly appreciated, and controversial issues.性腺生殖细胞肿瘤:一篇选择性综述,重点强调鉴别诊断中的问题、新认识的问题及有争议的问题。
Mod Pathol. 2005 Feb;18 Suppl 2:S61-79. doi: 10.1038/modpathol.3800310.
4
Co-Existing Ovarian Mucinous Cystadenocarcinoma with Mature Cystic Teratoma: A Rare Case Report.卵巢黏液性囊腺癌合并成熟性囊性畸胎瘤:1例罕见病例报告
J Med Assoc Thai. 2016 Jul;99 Suppl 4:S281-6.
5
Malignant Transformation in a Mature Cystic Teratoma of the Ovary: An Unusual Case Presentation.卵巢成熟囊性畸胎瘤恶变:一例罕见病例报告
Cureus. 2023 Apr 8;15(4):e37304. doi: 10.7759/cureus.37304. eCollection 2023 Apr.
6
Clinical significance of combined use of macrophage colony-stimulating factor and squamous cell carcinoma antigen as a selective diagnostic marker for squamous cell carcinoma arising in mature cystic teratoma of the ovary.联合使用巨噬细胞集落刺激因子和鳞状细胞癌抗原作为卵巢成熟性囊性畸胎瘤中鳞状细胞癌的选择性诊断标志物的临床意义。
Gynecol Oncol. 2000 Jun;77(3):405-9. doi: 10.1006/gyno.2000.5784.
7
Atypical compound nevus arising in mature cystic ovarian teratoma.成熟性囊性卵巢畸胎瘤中出现的非典型复合痣。
Med Sci Monit. 2006 Apr;12(4):CS34-7. Epub 2006 Mar 28.
8
Malignant transformation arising from mature cystic teratoma of the ovary presenting as ovarian torsion: a case report and literature review.卵巢成熟囊性畸胎瘤恶变并蒂扭转 1 例报告及文献复习
Fukushima J Med Sci. 2020 Apr 22;66(1):44-52. doi: 10.5387/fms.2019-31. Epub 2020 Mar 10.
9
Granulosa cell tumor and mucinous cystadenoma arising in a mature cystic teratoma of the ovary: A unique case report and review of literature.卵巢成熟性囊性畸胎瘤中发生的颗粒细胞瘤和黏液性囊腺瘤:一例独特病例报告及文献复习
Ann Diagn Pathol. 2004 Apr;8(2):96-101. doi: 10.1053/j.anndiagpath.2004.01.007.
10
A rare case of microinvasive squamous cell carcinoma arising in mature cystic teratoma of the ovary.卵巢成熟性囊性畸胎瘤中发生微浸润性鳞状细胞癌的罕见病例。
Eur J Gynaecol Oncol. 2016;37(3):420-2.

本文引用的文献

1
Anal squamous cell carcinoma with metastasis to duodenum causing duodenal stricture and gastric outlet obstruction.肛管鳞状细胞癌转移至十二指肠,导致十二指肠狭窄和胃出口梗阻。
AME Case Rep. 2019 Aug 19;3:33. doi: 10.21037/acr.2019.07.12. eCollection 2019.
2
Ovarian dermoid cyst complicated by small bowel obstruction, entero-ovarian fistula formation, and malignant degeneration.卵巢皮样囊肿并发小肠梗阻、肠-卵巢瘘形成和恶性转化。
Clin Imaging. 2019 Jul-Aug;56:47-51. doi: 10.1016/j.clinimag.2019.03.005. Epub 2019 Mar 8.
3
Squamous cell carcinoma transformation in mature cystic teratoma of the ovary: a systematic review.
卵巢成熟囊性畸胎瘤中的鳞状细胞癌转化:系统评价。
BMC Cancer. 2019 Mar 11;19(1):217. doi: 10.1186/s12885-019-5393-y.
4
Small intestinal metastases from esophageal carcinoma presenting as a perforation: A case report and review of the literature.以穿孔为表现的食管癌小肠转移:一例病例报告及文献复习
Int J Surg Case Rep. 2018;48:104-108. doi: 10.1016/j.ijscr.2018.05.022. Epub 2018 Jun 5.
5
Postoperation of cervical cancer with intestine metastasis: a case report and literature review.宫颈癌伴肠转移术后:1例病例报告及文献复习
World J Surg Oncol. 2016 Jan 6;14(1):2. doi: 10.1186/s12957-015-0759-3.
6
Collision tumours of ovary: a very rare case series.卵巢碰撞瘤:一组极其罕见的病例
J Clin Diagn Res. 2014 Nov;8(11):FD14-6. doi: 10.7860/JCDR/2014/11138.5222. Epub 2014 Nov 20.
7
Intestinal metastasis from primary epidermoid anal carcinoma in a 34 year old male presented with acute bowel obstruction.一名34岁男性原发性肛门表皮样癌发生肠转移,表现为急性肠梗阻。
J Surg Case Rep. 2012 Feb 1;2012(2):1. doi: 10.1093/jscr/2012.2.1.
8
Prevalence, clinicopathological characteristics, treatment, and prognosis of intestinal metastasis of primary lung cancer: a comprehensive review.原发性肺癌肠转移的患病率、临床病理特征、治疗及预后:一项综述
Surg Oncol. 2014 Jun;23(2):72-80. doi: 10.1016/j.suronc.2014.02.004. Epub 2014 Mar 12.
9
Malignant transformation in a mature teratoma with metastatic deposits in the omentum: a case report.成熟畸胎瘤发生恶性转化并伴有大网膜转移瘤:一例报告
Case Rep Pathol. 2012;2012:568062. doi: 10.1155/2012/568062. Epub 2012 Oct 3.
10
Dermoid cysts of the ovary: their clinical and pathologic significance.卵巢皮样囊肿:其临床及病理意义
Am J Obstet Gynecol. 1946 Feb;51:151-72. doi: 10.1016/s0002-9378(16)39889-1.