Suppr超能文献

由导致心内膜炎和脑室炎的亚种引起的侵袭性感染:一例报告。

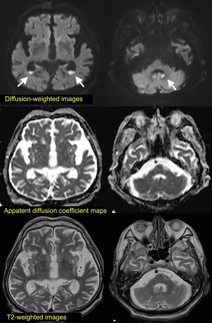
Invasive infection due to subspecies causing endocarditis and ventriculitis: A case report.

作者信息

Hikone Mayu, Nagai Ko, Inoue Ken, Noji Saki, Sugiyama Kazuhiro, Hamabe Yuichi

机构信息

Department of Emergency and Critical Care Center Tokyo Metropolitan Bokutoh Hospital Tokyo Japan.

出版信息

Clin Case Rep. 2021 Aug 30;9(9):e04638. doi: 10.1002/ccr3.4638. eCollection 2021 Sep.

Abstract

We aim to raise awareness of the role of subsp. (SDSE) in causing endovascular and central nervous system infections, and to promote recognition of SDSE as a pathogen that may cause serious invasive infections.

摘要

我们旨在提高对亚种(猪链球菌欧洲菌株,SDSE)在引起血管内感染和中枢神经系统感染中所起作用的认识,并促进将SDSE识别为一种可能导致严重侵袭性感染的病原体。

https://cdn.ncbi.nlm.nih.gov/pmc/blobs/b53f/8405427/f380f5c612bf/CCR3-9-e04638-g002.jpg

文献检索

告别复杂PubMed语法,用中文像聊天一样搜索,搜遍4000万医学文献。AI智能推荐,让科研检索更轻松。

立即免费搜索

文件翻译

保留排版,准确专业,支持PDF/Word/PPT等文件格式,支持 12+语言互译。

免费翻译文档

深度研究

AI帮你快速写综述,25分钟生成高质量综述,智能提取关键信息,辅助科研写作。

立即免费体验