Kutzner Karl Philipp
Department of Orthopaedic Surgery, St Josefs Hospital Wiesbaden, Germany, Wiesbaden 65189, Germany.
World J Orthop. 2021 Aug 18;12(8):534-547. doi: 10.5312/wjo.v12.i8.534.
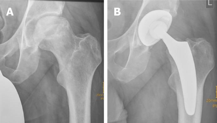
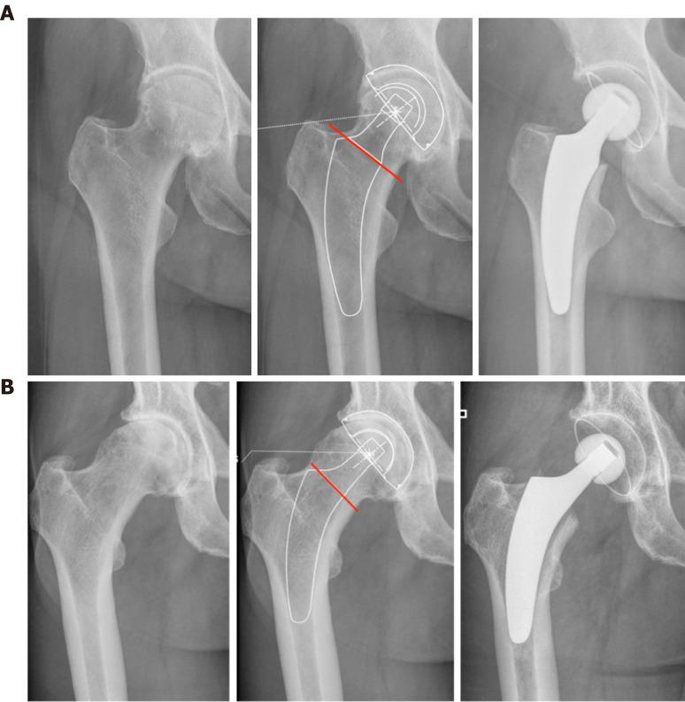
Short stems in total hip arthroplasty (THA) are becoming increasingly popular. In Germany, already 10.4% of all primary THAs are performed using a cementless short stem. The concept of modern, calcar-guided, short stems aims for an individualized reconstruction of the hip anatomy by following the calcar of the femoral neck, a bone- and soft-tissue-sparing implantation technique, and physiological loading. The stem design uses either metaphyseal fixation alone or additional diaphyseal anchoring, depending on the stem alignment and indication. These individualized anchorage types increase the potential indications for the safe use of a short stem. The design features may account for potential advantages of current short stem implants compared with earlier short-stem designs, particularly in cases of reduced bone quality or osteonecrosis of the femoral head and femoral neck fractures. The implantation technique, however, requires distinct knowledge regarding the characteristics of varus and valgus positioning, with the potential for clinical consequences. A learning curve for surgeons new to this technique must be taken into account. Cortical contact with the distal lateral cortex appears to be crucial to provide sufficient primary stability, and the use of intraoperative imaging to identify "undersizing" is highly recommended. Current results of several national registries indicate that calcar-guided short stems are among the most successful implants in terms of mid-term survivorship. However, long-term data remain scarce. This review introduces the characteristics of calcar-guided short-stem THA and summarizes the current evidence.
全髋关节置换术(THA)中的短柄假体正变得越来越流行。在德国,所有初次全髋关节置换术中已有10.4%使用无骨水泥短柄假体。现代的、沿股骨矩导向的短柄假体概念旨在通过沿着股骨颈的股骨矩进行个性化的髋关节解剖结构重建,这是一种保留骨组织和软组织的植入技术,并实现生理性负荷。根据假体的对线和适应证,假体设计可单独采用干骺端固定或额外的骨干锚固。这些个性化的锚固方式增加了安全使用短柄假体的潜在适应证。与早期的短柄设计相比,这些设计特点可能是当前短柄假体潜在优势的原因,特别是在骨质减少、股骨头坏死或股骨颈骨折的情况下。然而,植入技术需要对外翻和内翻定位的特点有明确的认识,这可能会产生临床后果。必须考虑到刚接触这项技术的外科医生的学习曲线。与远端外侧皮质的皮质接触对于提供足够的初始稳定性似乎至关重要,强烈建议使用术中成像来识别“尺寸过小”。几个国家登记处的当前结果表明,就中期生存率而言,沿股骨矩导向的短柄假体是最成功的植入物之一。然而,长期数据仍然很少。本综述介绍了沿股骨矩导向的短柄全髋关节置换术的特点,并总结了当前的证据。