Suppr超能文献

TDP-43 与富含 GU 的 RNA 重复序列的协同结合拮抗 TDP-43 聚集。

The cooperative binding of TDP-43 to GU-rich RNA repeats antagonizes TDP-43 aggregation.

机构信息

Université Paris-Saclay, INSERM U1204, Univ Evry, Structure-Activité des Biomolécules Normales et Pathologiques (SABNP), Evry-Courcouronnes, France.

SYNSIGHT, Evry-Courcouronnes, France.

出版信息

Elife. 2021 Sep 7;10:e67605. doi: 10.7554/eLife.67605.

Abstract

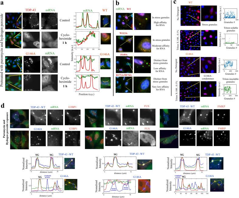
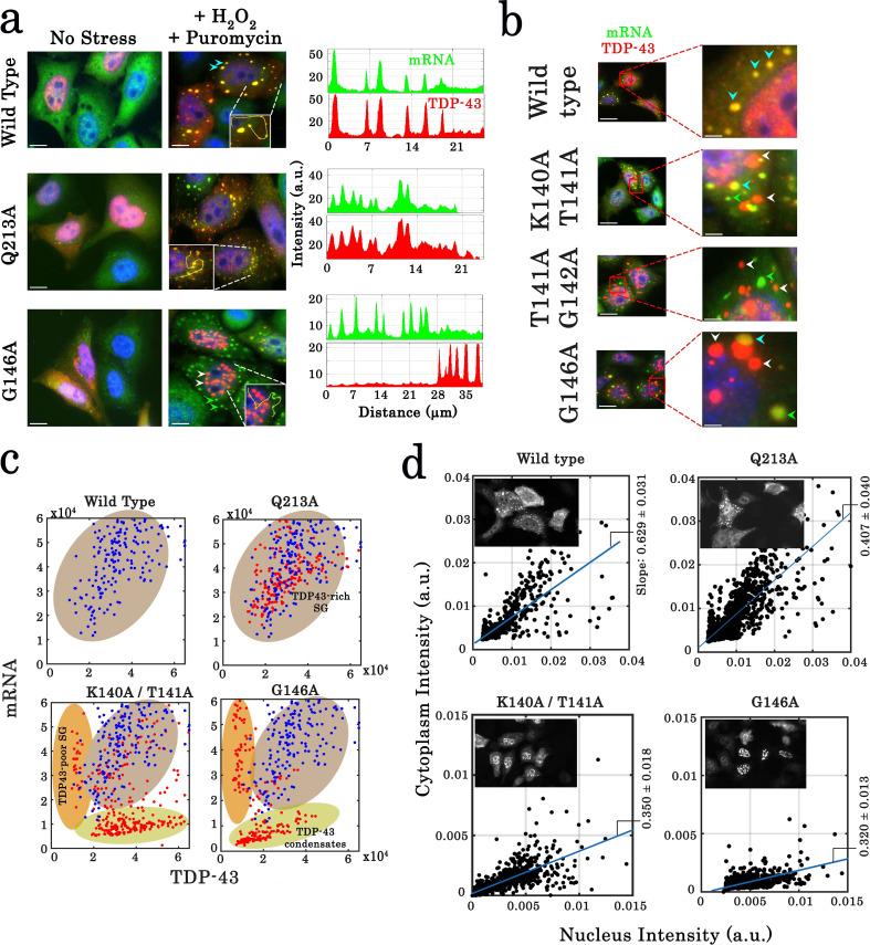
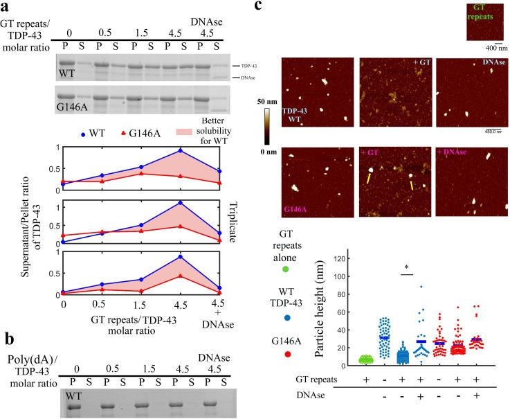
TDP-43 is a nuclear RNA-binding protein that forms neuronal cytoplasmic inclusions in two major neurodegenerative diseases, ALS and FTLD. While the self-assembly of TDP-43 by its structured N-terminal and intrinsically disordered C-terminal domains has been widely studied, the mechanism by which mRNA preserves TDP-43 solubility in the nucleus has not been addressed. Here, we demonstrate that tandem RNA recognition motifs of TDP-43 bind to long GU-repeats in a cooperative manner through intermolecular interactions. Moreover, using mutants whose cooperativity is impaired, we found that the cooperative binding of TDP-43 to mRNA may be critical to maintain the solubility of TDP-43 in the nucleus and the miscibility of TDP-43 in cytoplasmic stress granules. We anticipate that the knowledge of a higher order assembly of TDP-43 on mRNA may clarify its role in intron processing and provide a means of interfering with the cytoplasmic aggregation of TDP-43.

摘要

TDP-43 是一种核 RNA 结合蛋白,在两种主要的神经退行性疾病 ALS 和额颞叶变性中形成神经元细胞质包含物。虽然 TDP-43 的结构 N 端和固有无序 C 端结构域的自组装已被广泛研究,但保持 TDP-43 在核内可溶性的 mRNA 机制尚未解决。在这里,我们证明 TDP-43 的串联 RNA 识别基序通过分子间相互作用以协同方式结合到长 GU 重复序列上。此外,使用协同性受损的突变体,我们发现 TDP-43 与 mRNA 的协同结合对于维持 TDP-43 在核内的可溶性和细胞质应激颗粒中的混合性可能至关重要。我们预计,对 TDP-43 在 mRNA 上的更高阶组装的了解可能会阐明其在内含子加工中的作用,并提供一种干扰 TDP-43 细胞质聚集的方法。

https://cdn.ncbi.nlm.nih.gov/pmc/blobs/035e/8523171/6b228e89f8fa/elife-67605-fig1.jpg

文献检索

告别复杂PubMed语法,用中文像聊天一样搜索,搜遍4000万医学文献。AI智能推荐,让科研检索更轻松。

立即免费搜索

文件翻译

保留排版,准确专业,支持PDF/Word/PPT等文件格式,支持 12+语言互译。

免费翻译文档

深度研究

AI帮你快速写综述,25分钟生成高质量综述,智能提取关键信息,辅助科研写作。

立即免费体验