Suppr超能文献

儿童不同类型先天性高胰岛素血症的形态学鉴别诊断。

Differential Morphological Diagnosis of Various Forms of Congenital Hyperinsulinism in Children.

机构信息

Almazov National Medical Research Center, St. Petersburg, Russia.

出版信息

Front Endocrinol (Lausanne). 2021 Aug 23;12:710947. doi: 10.3389/fendo.2021.710947. eCollection 2021.

Abstract

INTRODUCTION

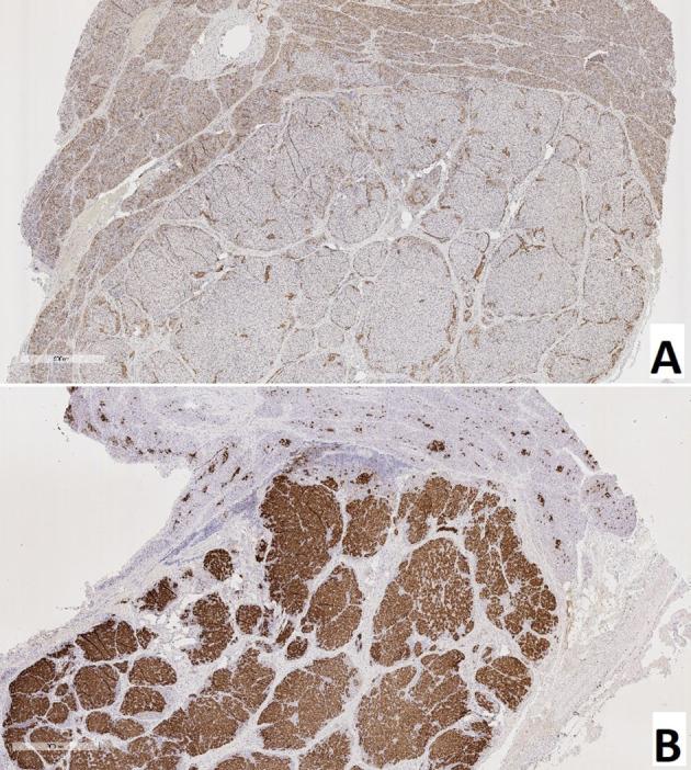
Congenital hyperinsulinism (CHI) has diffuse (CHI-D), focal (CHI-F) and atypical (CHI-A) forms. Surgical management depends on preoperative [18F]-DOPA PET/CT and intraoperative morphological differential diagnosis of CHI forms. Objective: to improve differential diagnosis of CHI forms by comparative analysis [18F]-DOPA PET/CT data, as well as cytological, histological and immunohistochemical analysis (CHIA).

MATERIALS AND METHODS

The study included 35 CHI patients aged 3.2 ± 2.0 months; 10 patients who died from congenital heart disease at the age of 3.2 ± 2.9 months (control group). We used PET/CT, CHIA of pancreas with antibodies to ChrA, insulin, Isl1, Nkx2.2, SST, NeuroD1, SSTR2, SSTR5, DR1, DR2, DR5; fluorescence microscopy with NeuroD1/ChrA, Isl1/insulin, insulin/SSTR2, DR2/NeuroD1 cocktails.

RESULTS

Intraoperative examination of pancreatic smears showed the presence of large nuclei, on average, in: 14.5 ± 3.5 cells of CHI-F; 8.4 ± 1.1 of CHI-D; and 4.5 ± 0.7 of control group (from 10 fields of view, x400). The percentage of Isl1+ and NeuroD1+endocrinocytes significantly differed from that in the control for all forms of CHI. The percentage of NeuroD1+exocrinocytes was also significantly higher than in the control. The proportion of ChrA+ and DR2+endocrinocytes was higher in CHI-D than in CHI-F, while the proportion of insulin+cells was higher in CHI-A. The number of SST+cells was significantly higher in CHI-D and CHI-F than in CHI-A.

CONCLUSION

For intraoperative differential diagnosis of CHI forms, in addition to frozen sections, quantitative cytological analysis can be used. In quantitative immunohistochemistry, CHI forms differ in the expression of ChrA, insulin, SST and DR2. The development of a NeuroD1 inhibitor would be advisable for targeted therapy of CHI.

摘要

介绍

先天性高胰岛素血症(CHI)有弥漫性(CHI-D)、局灶性(CHI-F)和非典型(CHI-A)形式。手术治疗取决于术前[18F]-DOPA PET/CT 和术中 CHI 形式的形态学鉴别诊断。目的:通过比较分析[18F]-DOPA PET/CT 数据以及胰腺的细胞学、组织学和免疫组织化学分析(CHIA)来改善 CHI 形式的鉴别诊断。

材料和方法

本研究纳入了 35 名 3.2±2.0 个月大的 CHI 患者;其中 10 名患者因先天性心脏病在 3.2±2.9 个月时死亡(对照组)。我们使用了 PET/CT、胰腺的 CHIA 与 ChrA、胰岛素、Isl1、Nkx2.2、SST、NeuroD1、SSTR2、SSTR5、DR1、DR2、DR5 的抗体;荧光显微镜与 NeuroD1/ChrA、Isl1/胰岛素、胰岛素/SSTR2、DR2/NeuroD1 鸡尾酒。

结果

胰腺涂片的术中检查显示,在 CHI-F 中有大细胞核,平均为:14.5±3.5 个细胞;CHI-D 为 8.4±1.1 个细胞;对照组为 4.5±0.7 个细胞(来自 10 个视野,x400)。Isl1+和 NeuroD1+内分泌细胞的百分比在所有 CHI 形式中均与对照组有显著差异。神经细胞外泌细胞的百分比也明显高于对照组。ChrA+和 DR2+内分泌细胞在 CHI-D 中的比例高于 CHI-F,而胰岛素+细胞在 CHI-A 中的比例较高。SST+细胞的数量在 CHI-D 和 CHI-F 中明显高于 CHI-A。

结论

除了冷冻切片外,还可以使用定量细胞学分析来进行 CHI 形式的术中鉴别诊断。在定量免疫组织化学中,CHI 形式在 ChrA、胰岛素、SST 和 DR2 的表达上存在差异。开发一种神经细胞抑制物将有利于 CHI 的靶向治疗。

https://cdn.ncbi.nlm.nih.gov/pmc/blobs/2689/8419459/af1e686c5e6d/fendo-12-710947-g001.jpg

文献AI研究员

20分钟写一篇综述,助力文献阅读效率提升50倍。

立即体验

用中文搜PubMed

大模型驱动的PubMed中文搜索引擎

马上搜索

文档翻译

学术文献翻译模型,支持多种主流文档格式。

立即体验