• 文献检索
  • 文档翻译
  • 深度研究
  • 学术资讯
  • Suppr Zotero 插件Zotero 插件
  • 邀请有礼
  • 套餐&价格
  • 历史记录
应用&插件
Suppr Zotero 插件Zotero 插件浏览器插件Mac 客户端Windows 客户端微信小程序
定价
高级版会员购买积分包购买API积分包
服务
文献检索文档翻译深度研究API 文档MCP 服务
关于我们
关于 Suppr公司介绍联系我们用户协议隐私条款
关注我们

Suppr 超能文献

核心技术专利:CN118964589B侵权必究
粤ICP备2023148730 号-1Suppr @ 2026

文献检索

告别复杂PubMed语法,用中文像聊天一样搜索,搜遍4000万医学文献。AI智能推荐,让科研检索更轻松。

立即免费搜索

文件翻译

保留排版,准确专业,支持PDF/Word/PPT等文件格式,支持 12+语言互译。

免费翻译文档

深度研究

AI帮你快速写综述,25分钟生成高质量综述,智能提取关键信息,辅助科研写作。

立即免费体验

教学案例:尿路结石

Educational Case: Urinary Stones.

作者信息

Frazier Ryan L, Huppmann Alison R

机构信息

Department of Pathology, Uniformed Services University of the Health Sciences, Bethesda, MD, USA.

Department of Biomedical Sciences, University of South Carolina School of Medicine Greenville, SC, USA.

出版信息

Acad Pathol. 2021 Sep 3;8:23742895211040209. doi: 10.1177/23742895211040209. eCollection 2021 Jan-Dec.

DOI:10.1177/23742895211040209
PMID:34497867
原文链接:https://pmc.ncbi.nlm.nih.gov/articles/PMC8419563/
Abstract

http://journals.sagepub.com/doi/10.1177/2374289517715040. .

摘要

http://journals.sagepub.com/doi/10.1177/2374289517715040.

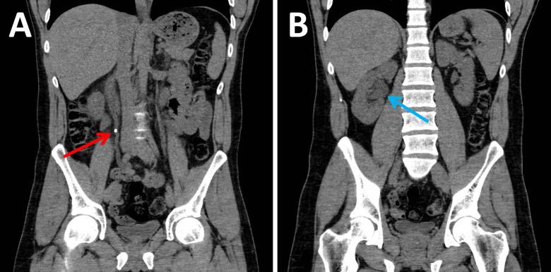
https://cdn.ncbi.nlm.nih.gov/pmc/blobs/b6ed/8419563/2525576c1984/10.1177_23742895211040209-fig3.jpg
https://cdn.ncbi.nlm.nih.gov/pmc/blobs/b6ed/8419563/f400f027f037/10.1177_23742895211040209-fig1.jpg
https://cdn.ncbi.nlm.nih.gov/pmc/blobs/b6ed/8419563/66ecf5a66320/10.1177_23742895211040209-fig2.jpg
https://cdn.ncbi.nlm.nih.gov/pmc/blobs/b6ed/8419563/2525576c1984/10.1177_23742895211040209-fig3.jpg
https://cdn.ncbi.nlm.nih.gov/pmc/blobs/b6ed/8419563/f400f027f037/10.1177_23742895211040209-fig1.jpg
https://cdn.ncbi.nlm.nih.gov/pmc/blobs/b6ed/8419563/66ecf5a66320/10.1177_23742895211040209-fig2.jpg
https://cdn.ncbi.nlm.nih.gov/pmc/blobs/b6ed/8419563/2525576c1984/10.1177_23742895211040209-fig3.jpg

相似文献

1
Educational Case: Urinary Stones.教学案例:尿路结石
Acad Pathol. 2021 Sep 3;8:23742895211040209. doi: 10.1177/23742895211040209. eCollection 2021 Jan-Dec.
2
Educational Case: Pituitary Adenoma.教育案例:垂体腺瘤
Acad Pathol. 2021 Aug 11;8:23742895211037028. doi: 10.1177/23742895211037028. eCollection 2021 Jan-Dec.
3
Educational Case: Ewing Sarcoma of Bone.教育案例:骨尤文肉瘤
Acad Pathol. 2021 Aug 31;8:23742895211040204. doi: 10.1177/23742895211040204. eCollection 2021 Jan-Dec.
4
Educational Case: Neisseria Meningitis.教学案例:脑膜炎奈瑟菌
Acad Pathol. 2021 Sep 26;8:23742895211043244. doi: 10.1177/23742895211043244. eCollection 2021 Jan-Dec.
5
Educational Case: Hypersensitivity Vasculitis.教学案例:过敏性血管炎
Acad Pathol. 2021 Aug 9;8:23742895211030650. doi: 10.1177/23742895211030650. eCollection 2021 Jan-Dec.
6
Educational Case: Bladder Carcinoma In Situ.教学病例:原位膀胱癌
Acad Pathol. 2018 Aug 14;5:2374289517719858. doi: 10.1177/2374289517719858. eCollection 2018 Jan-Dec.
7
Educational Case: High-Grade Serous Carcinoma of the Ovary.教育案例:卵巢高级别浆液性癌
Acad Pathol. 2021 Aug 27;8:23742895211032339. doi: 10.1177/23742895211032339. eCollection 2021 Jan-Dec.
8
Educational Case: Understanding Kwashiorkor and Marasmus: Disease Mechanisms and Pathologic Consequences.教育案例:理解夸休可尔症和消瘦症:疾病机制与病理后果
Acad Pathol. 2021 Aug 25;8:23742895211037027. doi: 10.1177/23742895211037027. eCollection 2021 Jan-Dec.
9
Educational Case: Acute Cystitis.教学案例:急性膀胱炎
Acad Pathol. 2020 Sep 10;7:2374289520951923. doi: 10.1177/2374289520951923. eCollection 2020 Jan-Dec.
10
Educational Case: Urothelial Carcinoma: An Overview of Pathologic Diagnosis.教育案例:尿路上皮癌:病理诊断概述
Acad Pathol. 2020 Sep 30;7:2374289520958172. doi: 10.1177/2374289520958172. eCollection 2020 Jan-Dec.

本文引用的文献

1
Metabolic syndrome and uric acid nephrolithiasis: insulin resistance in focus.代谢综合征与尿酸肾结石:关注胰岛素抵抗。
Metabolism. 2018 Jun;83:225-233. doi: 10.1016/j.metabol.2018.02.008. Epub 2018 Mar 3.
2
Pathology Competencies for Medical Education and Educational Cases.医学教育病理学能力与教育案例
Acad Pathol. 2017 Jul 24;4:2374289517715040. doi: 10.1177/2374289517715040. eCollection 2017 Jan-Dec.
3
A Multi-Institutional Study of Struvite Stones: Patterns of Infection and Colonization.一项关于鸟粪石结石的多机构研究:感染与定植模式
J Endourol. 2017 May;31(5):533-537. doi: 10.1089/end.2016.0885. Epub 2017 Mar 29.
4
Cystinuria: current concepts and future directions.胱氨酸尿症:当前概念与未来方向
Clin Nephrol. 2015 Mar;83(3):138-46. doi: 10.5414/cn108514.
5
Medical management of kidney stones: AUA guideline.肾结石的医学管理:AUA 指南。
J Urol. 2014 Aug;192(2):316-24. doi: 10.1016/j.juro.2014.05.006. Epub 2014 May 20.
6
Medical management to prevent recurrent nephrolithiasis in adults: a systematic review for an American College of Physicians Clinical Guideline.成人复发性肾结石的医学管理:美国医师学院临床指南的系统评价。
Ann Intern Med. 2013 Apr 2;158(7):535-43. doi: 10.7326/0003-4819-158-7-201304020-00005.
7
What is the state of the stone analysis techniques in urolithiasis?尿石症中结石分析技术的现状如何?
Urol J. 2012 Spring;9(2):445-54.
8
In vivo determination of urinary stone composition using dual energy computerized tomography with advanced post-acquisition processing.应用先进的后处理技术的双能计算机断层扫描对尿石成分进行体内测定。
J Urol. 2010 Dec;184(6):2354-9. doi: 10.1016/j.juro.2010.08.011. Epub 2010 Oct 16.
9
Asymptomatic nephrolithiasis detected by ultrasound.超声检查发现的无症状肾结石
Clin J Am Soc Nephrol. 2009 Mar;4(3):680-4. doi: 10.2215/CJN.05181008. Epub 2009 Mar 4.
10
2007 guideline for the management of ureteral calculi.2007年输尿管结石管理指南。
J Urol. 2007 Dec;178(6):2418-34. doi: 10.1016/j.juro.2007.09.107.