Suppr超能文献

实时超声造影引导下活检在CT和MRI检查结果不明确后揭示脾脏的沿岸细胞血管瘤。

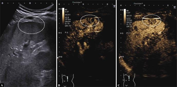
Real-time CEUS-guided biopsy revealing a littoral cell angioma of the spleen after inconclusive CT and MRI findings.

作者信息

Lerchbaumer Markus Herbert, Althoff Christian E, Fischer Thomas

机构信息

Charité - Universitätsmedizin Berlin, Corporate Member of Freie Universität Berlin, Humbold-Universität zu Berlin, and Berlin Institute of Health, Department of Radiology, Berlin, Germany.

出版信息

J Ultrason. 2021 Aug 16;21(86):e244-e247. doi: 10.15557/JoU.2021.0039. Epub 2021 Sep 9.

Abstract

The aim of this case report is to present real-time CEUS-guided biopsy for diagnosing rare benign splenic pathologies after inconclusive findings on cross-sectional imaging. We present the case of a 50-year-old male patient who received a contrast-enhanced computed tomography scan of the thorax during the evaluation for lung transplant due to lung fibrosis, with incidental finding of disseminated hypodense splenic lesions. During follow-up imaging, the patient did not tolerate a complete MRI examination, and two acquired pulse sequences did not confirm the final diagnosis. While CT-guided biopsy revealed no results, CEUS-guided target biopsy with repeated contrast injections showed a benign littoral cell angioma of the spleen. The use of real-time CEUS-guided target biopsy during lesion washout may be a useful tool to improve the accuracy of biopsy and accelerate the diagnosis in patients with parenchymal lesions after inconclusive cross-sectional imaging findings which may pose a challenge for CT-guided biopsy.

摘要

本病例报告的目的是介绍在横断面成像检查结果不明确后,采用实时超声造影引导下活检诊断罕见的脾脏良性病变。我们报告一例50岁男性患者,因肺纤维化接受肺移植评估时,进行了胸部对比增强计算机断层扫描,偶然发现脾脏弥漫性低密度病变。在后续成像检查中,患者无法耐受完整的MRI检查,且两次采集的脉冲序列均未确诊。CT引导下活检未得出结果,而超声造影引导下的靶向活检经多次注射造影剂后显示为脾脏良性 littoral 细胞血管瘤。在病变消退期使用实时超声造影引导下的靶向活检,对于提高活检准确性以及加速诊断可能是一种有用的工具,适用于横断面成像结果不明确、给CT引导下活检带来挑战的实质器官病变患者。

https://cdn.ncbi.nlm.nih.gov/pmc/blobs/d218/8439136/5e495f02b047/jou-21-86-e244-g001.jpg

文献AI研究员

20分钟写一篇综述,助力文献阅读效率提升50倍。

立即体验

用中文搜PubMed

大模型驱动的PubMed中文搜索引擎

马上搜索

文档翻译

学术文献翻译模型,支持多种主流文档格式。

立即体验