Suppr超能文献

月骨周围脱位中采用内支撑的舟月骨间和月三角骨间韧带增强术:病例报告。

Scapholunate and lunotriquetral interosseous ligament augmentation with internal bracing in perilunate dislocation: Case reports.

机构信息

Department of Orthopaedic Surgery, St. Vincent's Hospital, College of Medicine, The Catholic University of Korea, Seoul, Republic of Korea.

Department of Orthopaedic Surgery, Daegu Catholic University Medical Center, Daegu Catholic University School of Medicine, Deagu, Republic of Korea.

出版信息

Medicine (Baltimore). 2021 Sep 24;100(38):e26827. doi: 10.1097/MD.0000000000026827.

Abstract

RATIONALE

The goals of surgical treatment of the perilunate dislocation (PLD) are confirmation of reduction, ligament repair, and supplemental fixation of the bony architecture. Open reduction and direct repair of the torn ligament are recommended for acute PLD. However, repair of the scapholunate interosseous ligament (SLIL) and lunotriquetral interosseous ligament (LTIL) is often unreliable, and secure repair is challenging. Internal bracing (IB) is an augmentation method that uses high-strength non-absorbable tape and enhances strength and support during the critical period of ligamentous healing. However, there is a paucity of data on the application of IB for PLD in the wrist. We report 3 cases of PLD that were augmented with IB after SLIL and LTIL repair.

PATIENT CONCERNS

All 3 cases were men who visited our emergency department with wrist after falling off a ladder.

DIAGNOSES

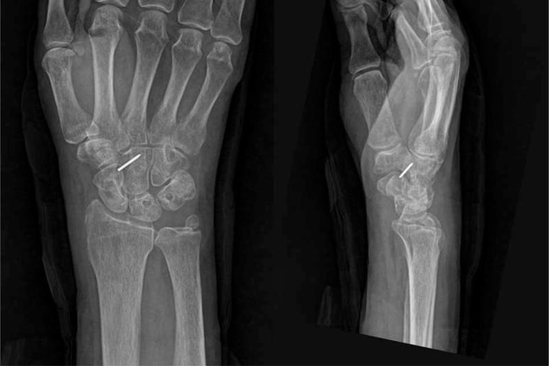
Initial radiographs revealed a dorsal PLD.

INTERVENTIONS

Surgically, complete rupture of the SLIL and LTIL were confirmed. K-wires were placed into the scaphoid and lunate and used as joysticks to correct the intercalated segment instability pattern. This usually requires correcting scaphoid flexion and lunate extension and closing the scapholunate interval. Prior to SLIL and LTIL repair, temporary intercarpal fixation was performed with K-wires to maintain the carpal relationship. The dorsal SLIL and LTIL were carefully repaired using suture anchors. However, ligament repair was unreliable, and insecure. In view of the likelihood of insufficient repair, we performed IB augmentation using synthetic tape.

OUTCOMES

At the last follow-up, all cases were pain-free and had returned to all activities. The last follow-up radiographs showed good alignment of the carpal bones and no arthritic changes.

LESSONS

IB augmentation can reduce the period of K-wire fixation and cast immobilization and can enable early joint motion. We believe that interosseous ligament augmentation using IB is a reasonable treatment option for PLD.

摘要

背景

月骨周围脱位(PLD)的手术治疗目标是确认复位、修复韧带,并补充固定骨结构。对于急性 PLD,建议进行切开复位和撕裂韧带的直接修复。然而,舟月骨间韧带(SLIL)和月三角骨间韧带(LTIL)的修复往往不可靠,并且固定修复具有挑战性。内置支撑(IB)是一种增强方法,使用高强度不可吸收胶带,在韧带愈合的关键时期增强强度和支撑。然而,关于 IB 在腕关节 PLD 中的应用的数据很少。我们报告了 3 例 SLIL 和 LTIL 修复后用 IB 增强的 PLD 病例。

患者关注

所有 3 例均为男性,因从梯子上坠落而就诊于我院急诊。

诊断

初始 X 线片显示背侧 PLD。

干预

手术中,确认 SLIL 和 LTIL 完全撕裂。将克氏针插入舟骨和月骨,并用作操纵杆以纠正插段不稳定模式。这通常需要纠正舟骨弯曲和月骨伸展,并闭合舟月间隙。在修复 SLIL 和 LTIL 之前,使用克氏针进行临时腕骨间固定以维持腕骨关系。仔细使用缝合锚修复背侧 SLIL 和 LTIL。然而,韧带修复不可靠,不牢固。鉴于修复不足的可能性,我们使用合成带进行 IB 增强。

结果

末次随访时,所有病例均无痛,恢复了所有活动。末次随访 X 线片显示腕骨排列良好,无关节炎改变。

经验教训

IB 增强可以减少克氏针固定和石膏固定的时间,并能早期进行关节运动。我们认为,使用 IB 进行骨间韧带增强是治疗 PLD 的合理选择。

https://cdn.ncbi.nlm.nih.gov/pmc/blobs/a9fd/8462623/43b11b1880ec/medi-100-e26827-g001.jpg

文献检索

告别复杂PubMed语法,用中文像聊天一样搜索,搜遍4000万医学文献。AI智能推荐,让科研检索更轻松。

立即免费搜索

文件翻译

保留排版,准确专业,支持PDF/Word/PPT等文件格式,支持 12+语言互译。

免费翻译文档

深度研究

AI帮你快速写综述,25分钟生成高质量综述,智能提取关键信息,辅助科研写作。

立即免费体验