Suppr超能文献

钩端螺旋体病储存宿主中的抗原特异性尿免疫球蛋白

Antigen-Specific Urinary Immunoglobulin in Reservoir Hosts of Leptospirosis.

作者信息

Nally Jarlath E, Hornsby Richard L, Alt David P

机构信息

Infectious Bacterial Diseases Research Unit, National Animal Disease Center, Agricultural Research Service, United States Department of Agriculture, Ames, IA 50010, USA.

出版信息

Vet Sci. 2021 Sep 1;8(9):178. doi: 10.3390/vetsci8090178.

Abstract

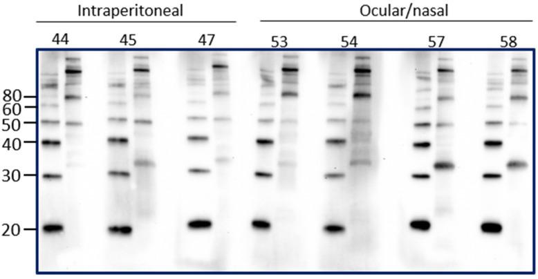
Domestic and wildlife animal species act as reservoir hosts of leptospirosis, a global zoonotic disease affecting more than 1 million people annually and causing significant morbidity and mortality in domestic animals. In contrast to incidental hosts which present with an array of clinical manifestations, reservoir hosts are typically asymptomatic and can shed leptospires from chronically infected kidneys via urine for extended periods of time. Renal excretion of leptospires occurs despite evidence of a humoral and cellular immune response and is reflective of the unique biological equilibrium that exists between certain animal species and specific serovars of . Here, we demonstrate that urinary excretion of leptospires is accompanied by the presence of antigen-specific urinary immunoglobulin. In rats experimentally infected with . serovar Copenhageni using the intraperitoneal or conjunctival route of inoculation, urinary immunoglobulin (Ig) G specific for protein antigens was detectable within 1 week. Rat urinary IgG was not bound to urinary-derived leptospires. In cattle that were naturally exposed to, and infected with, . serovar Hardjo, urinary IgA specific for protein antigens was detected. Collectively, these results demonstrate that urinary excretion of immunoglobulin specific for leptospires is a hallmark of reservoir hosts of infection.

摘要

家养动物和野生动物是钩端螺旋体病的储存宿主,钩端螺旋体病是一种全球性人畜共患病,每年影响超过100万人,并在家养动物中导致显著的发病率和死亡率。与表现出一系列临床表现的偶然宿主不同,储存宿主通常无症状,并且可以通过尿液从慢性感染的肾脏中长期排出钩端螺旋体。尽管有体液免疫和细胞免疫反应的证据,但钩端螺旋体仍通过肾脏排泄,这反映了某些动物物种与特定血清型之间存在的独特生物平衡。在此,我们证明钩端螺旋体的尿液排泄伴随着抗原特异性尿液免疫球蛋白的存在。在通过腹腔内或结膜接种途径实验感染哥本哈根血清型钩端螺旋体的大鼠中,1周内可检测到针对蛋白质抗原的尿液免疫球蛋白(Ig)G。大鼠尿液IgG未与尿液来源的钩端螺旋体结合。在自然接触并感染哈焦血清型钩端螺旋体的牛中,检测到针对蛋白质抗原的尿液IgA。总的来说,这些结果表明,针对钩端螺旋体的免疫球蛋白的尿液排泄是感染储存宿主的一个标志。

https://cdn.ncbi.nlm.nih.gov/pmc/blobs/8ce4/8473202/583f8ed6e573/vetsci-08-00178-g001.jpg

文献AI研究员

20分钟写一篇综述,助力文献阅读效率提升50倍。

立即体验

用中文搜PubMed

大模型驱动的PubMed中文搜索引擎

马上搜索

文档翻译

学术文献翻译模型,支持多种主流文档格式。

立即体验