Suppr超能文献

金鱼(林奈,1758 年)中类似人类非典型神经纤维瘤的周围神经鞘瘤

Peripheral Nerve Sheath Tumors Resembling Human Atypical Neurofibroma in Goldfish (, Linnaeus, 1758).

作者信息

Armando Federico, Pigoli Claudio, Gambini Matteo, Ghidelli Andrea, Ghisleni Gabriele, Corradi Attilio, Passeri Benedetta, Caniatti Mario, Grieco Valeria, Baumgärtner Wolfgang, Puff Christina

机构信息

Department of Pathology, University of Veterinary Medicine Hannover, Bünteweg 17, 30559 Hannover, Germany.

Pathology Unit, Department of Veterinary Medicine, University of Parma, Strada del Taglio 10, 43126 Parma, Italy.

出版信息

Animals (Basel). 2021 Sep 7;11(9):2621. doi: 10.3390/ani11092621.

Abstract

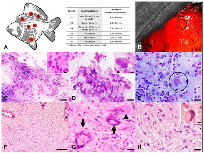
Skin spindle cell tumors (SSTs) frequently occur in fishes, with peripheral nerve sheath tumors (PNSTs) being the most commonly reported neoplasms in goldfish. However, distinguishing PNSTs from other SCTs is not always possible when relying exclusively on routine cytological and histopathological findings. Therefore, the aim of this study is to characterize six skin nodules, resembling atypical neurofibromas in humans, found in six cohabiting goldfish (), and to determine a minimal subset of special stains required to correctly identify PNSTs in this species. Routine cytology and histopathology were indicative of an SCT with nuclear atypia in all cases, with randomly distributed areas of hypercellularity and loss of neurofibroma architecture. Muscular and fibroblastic tumors were excluded using Azan trichrome staining. Alcian blue and Gomori's reticulin stains revealed the presence of intratumoral areas of glycosaminoglycans or mucins and basement membrane fragments, respectively. PAS and PAS-diastase stains confirmed the latter finding and revealed intra- and extracellular glycogen granules. Immunohistochemistry displayed multifocal, randomly distributed aggregates of neoplastic cells positive for S100 protein and CNPase, intermingled with phosphorylated and non-phosphorylated neurofilament-positive axons. Collectively, these findings are consistent with a PNST resembling atypical neurofibroma in humans, an entity not previously reported in goldfish, and suggest that Azan trichrome staining, reticulin staining, and immunohistochemistry for S100 protein and CNPase represent a useful set of special stains to identify and characterize PNSTs in this species.

摘要

皮肤梭形细胞瘤(SSTs)在鱼类中频繁出现,其中外周神经鞘瘤(PNSTs)是金鱼中最常报道的肿瘤。然而,仅依靠常规细胞学和组织病理学结果,并不总是能够将PNSTs与其他皮肤梭形细胞瘤区分开来。因此,本研究的目的是对在六条同居金鱼中发现的六个类似人类非典型神经纤维瘤的皮肤结节进行特征描述,并确定正确识别该物种中PNSTs所需的最少一组特殊染色。在所有病例中,常规细胞学和组织病理学均显示为具有核异型性的皮肤梭形细胞瘤,细胞增多区域随机分布且神经纤维瘤结构消失。使用偶氮三色染色排除了肌肉和纤维母细胞瘤。阿尔辛蓝和戈莫里网状纤维染色分别显示肿瘤内存在糖胺聚糖或粘蛋白区域以及基底膜碎片。PAS和PAS-淀粉酶染色证实了后一发现,并显示了细胞内和细胞外糖原颗粒。免疫组织化学显示,肿瘤细胞多灶性、随机分布的聚集体对S100蛋白和CNPase呈阳性,与磷酸化和非磷酸化神经丝阳性轴突混合存在。总体而言,这些发现与一种类似于人类非典型神经纤维瘤的PNSTs一致,这是金鱼中以前未报道过的一种实体,并表明偶氮三色染色、网状纤维染色以及针对S100蛋白和CNPase的免疫组织化学是识别和表征该物种中PNSTs的一组有用的特殊染色。

https://cdn.ncbi.nlm.nih.gov/pmc/blobs/fadc/8467327/fa2a3dd068bd/animals-11-02621-g001.jpg

文献检索

告别复杂PubMed语法,用中文像聊天一样搜索,搜遍4000万医学文献。AI智能推荐,让科研检索更轻松。

立即免费搜索

文件翻译

保留排版,准确专业,支持PDF/Word/PPT等文件格式,支持 12+语言互译。

免费翻译文档

深度研究

AI帮你快速写综述,25分钟生成高质量综述,智能提取关键信息,辅助科研写作。

立即免费体验