Department of Cell Biology, University of Oklahoma Health Sciences Center, Oklahoma City, United States.
Elife. 2021 Oct 5;10:e70608. doi: 10.7554/eLife.70608.
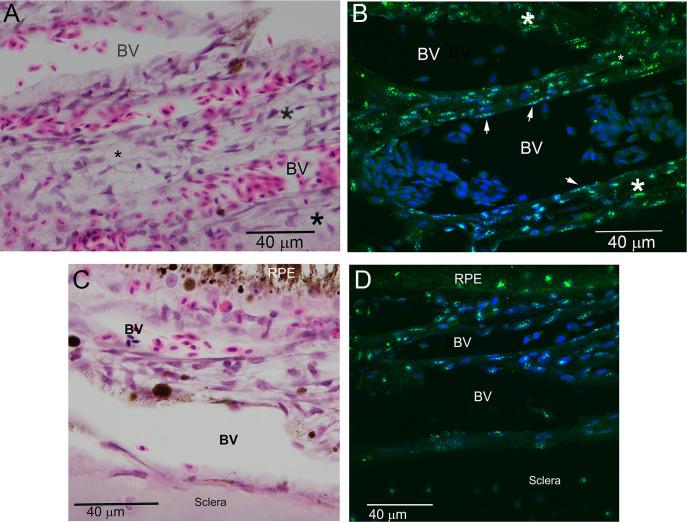
Postnatal ocular growth is regulated by a vision-dependent mechanism that acts to minimize refractive error through coordinated growth of the ocular tissues. Of great interest is the identification of the chemical signals that control visually guided ocular growth. Here, we provide evidence that the pro-inflammatory cytokine, interleukin-6 (IL-6), may play a pivotal role in the control of ocular growth using a chicken model of myopia. Microarray, real-time RT-qPCR, and ELISA analyses identified IL-6 upregulation in the choroids of chick eyes under two visual conditions that introduce myopic defocus and slow the rate of ocular elongation (recovery from induced myopia and compensation for positive lenses). Intraocular administration of atropine, an agent known to slow ocular elongation, also resulted in an increase in choroidal IL-6 gene expression. Nitric oxide appears to directly or indirectly upregulate choroidal IL-6 gene expression, as administration of the non-specific nitric oxide synthase inhibitor, L-NAME, inhibited choroidal IL-6 gene expression, and application of a nitric oxide donor stimulated IL-6 gene and protein expression in isolated chick choroids. Considering the pleiotropic nature of IL-6 and its involvement in many biological processes, these results suggest that IL-6 may mediate many aspects of the choroidal response in the control of ocular growth.
产后眼球生长受视觉依赖机制的调节,该机制通过协调眼组织的生长来最小化屈光不正。引人关注的是确定控制视觉引导眼球生长的化学信号。在这里,我们使用近视鸡模型提供了证据表明,促炎细胞因子白细胞介素 6(IL-6)可能在控制眼球生长中发挥关键作用。微阵列、实时 RT-qPCR 和 ELISA 分析鉴定出,在引入近视离焦和减缓眼伸长率的两种视觉条件下(从诱导性近视中恢复和补偿正透镜),鸡眼中脉络膜中的 IL-6 上调。众所周知,阿托品可减缓眼球伸长,其眼内给药也导致脉络膜 IL-6 基因表达增加。一氧化氮似乎直接或间接地上调脉络膜 IL-6 基因表达,因为非特异性一氧化氮合酶抑制剂 L-NAME 的给药抑制了脉络膜 IL-6 基因表达,而一氧化氮供体的应用刺激了分离的鸡脉络膜中的 IL-6 基因和蛋白表达。考虑到 IL-6 的多效性及其在许多生物学过程中的参与,这些结果表明 IL-6 可能介导了控制眼球生长的脉络膜反应的许多方面。