Suppr超能文献

小儿颞部瘘管:三例报告

Pediatric temporal fistula: Report of three cases.

作者信息

Gu Mei-Zhen, Xu Hong-Ming, Chen Fang, Xia Wei-Wei, Li Xiao-Yan

机构信息

Department of Otorhinolaryngology-Head and Neck Surgery, Shanghai Children's Hospital, Shanghai Jiaotong University, Shanghai 200062, China.

Department of Radiology, Shanghai Children's Hospital, Shanghai Jiaotong University, Shanghai 200062, China.

出版信息

World J Clin Cases. 2021 Sep 16;9(26):7811-7817. doi: 10.12998/wjcc.v9.i26.7811.

Abstract

BACKGROUND

Pediatric temporal fistulae are rarely reported in the literature. Dissemination of these cases can help inform future diagnosis and effective treatment.

CASE SUMMARY

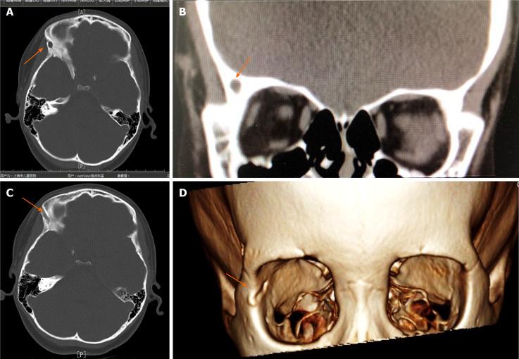
Three pediatric patients came to the clinic due to repeated infections of the skin and soft tissue of the temporal area. One patient presented with a temporal fistula that penetrated the temporal bone and reached the dura mater. Another patient presented with a temporal fistula that penetrated into the temporal muscle fascia. The third patient presented with a fistula that penetrated the lateral wall of the orbit and entered the orbit All patients underwent surgical fistula resection informed by preoperative computed tomography (CT) evaluation. Histopathological evaluation was also performed. All three patients were surgically treated successfully. Histopathological evaluations confirmed the fistula diagnoses in all three cases

CONCLUSION

For patients who have temporal fistulae with repeated infections, surgical treatment should be performed as soon as possible to prevent serious complications. CT can be very useful for preoperative evaluation. B-mode ultrasound examination and evaluation also have a certain auxiliary role.

摘要

背景

小儿颞部瘘管在文献中鲜有报道。对这些病例的传播有助于为未来的诊断和有效治疗提供信息。

病例摘要

三名儿科患者因颞部皮肤和软组织反复感染前来就诊。一名患者出现颞部瘘管,穿透颞骨并到达硬脑膜。另一名患者出现颞部瘘管,穿透至颞肌筋膜。第三名患者出现瘘管,穿透眶外侧壁并进入眼眶。所有患者均在术前计算机断层扫描(CT)评估的指导下接受了手术瘘管切除术。还进行了组织病理学评估。所有三名患者均手术治疗成功。组织病理学评估在所有三例中均证实了瘘管诊断。

结论

对于患有颞部瘘管且反复感染的患者,应尽早进行手术治疗以预防严重并发症。CT对术前评估非常有用。B超检查和评估也有一定的辅助作用。

https://cdn.ncbi.nlm.nih.gov/pmc/blobs/a4c3/8462237/677979732be4/WJCC-9-7811-g001.jpg

文献AI研究员

20分钟写一篇综述,助力文献阅读效率提升50倍。

立即体验

用中文搜PubMed

大模型驱动的PubMed中文搜索引擎

马上搜索

文档翻译

学术文献翻译模型,支持多种主流文档格式。

立即体验