Marín-Díez Elena, Drake-Pérez Marta, Valle-San Román Natalia, Mora Cuesta Víctor Manuel, Hernández-Hernández Miguel Ángel, Marco de Lucas Enrique
Department of Radiology, Marquis of Valdecilla University Hospital, Santander, Spain.
Department of Neumology, Marquis of Valdecilla University Hospital, Santander, Spain.
Acta Radiol Open. 2021 Oct 3;10(8):20584601211038721. doi: 10.1177/20584601211038721. eCollection 2021 Aug.
Lung transplantation (LT) requires complex multidisciplinary organization and constitutes a therapeutic option and a life-saving procedure. Although the number of lung recipients continues to increase, neurological complications and death rates following lung transplantation are still higher than desirable.
This study aims to analyse the neuroimaging findings in a cohort of adult patients with LT.
A retrospective cohort study of all lung transplant recipients (344 patients: 205 men and 139 women) at a single institution from January 2011 to January 2020. The collected data included demographic features, clinical data and evaluation of the imaging findings. We also recorded the date of neurological complication(s) and the underlying disease motivating lung transplantation.
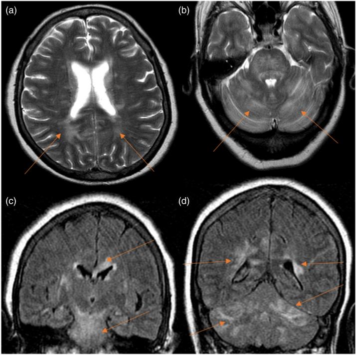
We found an elevated rate of neuroimaging findings in patients following LT with 32.6% of positive studies. In our cohort, the average time after LT to a neurological complication was 4.9 months post-transplant. Encephalopathy, critical illness polyneuropathy and stroke, in that order, were the most frequent neurological complications. Structural abnormalities in brain imaging were more often detected using MRI than CT for indications of encephalopathy and seizures.
LT recipients constitute an especially vulnerable group that needs close surveillance, mainly during the early post-transplant period.
肺移植(LT)需要复杂的多学科组织,是一种治疗选择和挽救生命的手术。尽管肺移植受者的数量持续增加,但肺移植后的神经并发症和死亡率仍高于预期。
本研究旨在分析一组成年肺移植患者的神经影像学表现。
对2011年1月至2020年1月在单一机构接受肺移植的所有受者(344例患者:205例男性和139例女性)进行回顾性队列研究。收集的数据包括人口统计学特征、临床数据以及影像学表现评估。我们还记录了神经并发症发生的日期以及促使进行肺移植的基础疾病。
我们发现肺移植患者的神经影像学表现发生率较高,阳性研究占32.6%。在我们的队列中,肺移植后出现神经并发症的平均时间为移植后4.9个月。脑病、危重病性多发性神经病和中风依次是最常见的神经并发症。对于脑病和癫痫的诊断,MRI比CT更常检测到脑成像中的结构异常。
肺移植受者是一个特别脆弱的群体,需要密切监测,主要是在移植后的早期阶段。