Yang Ying, Gu Junjie, Li Xuechun, Xue Chunling, Ba Li, Gao Yang, Zhou Jianfeng, Bai Chunmei, Sun Zhao, Zhao Robert Chunhua
1Department of Medical Oncology, Peking Union Medical College Hospital, Chinese Academy of Medical Sciences and Peking Union Medical College, Beijing 100730, China.
2Institute of Basic Medical Sciences Chinese Academy of Medical Sciences, School of Basic Medicine Peking Union Medical College, Peking Union Medical College Hospital, Center of Excellence in Tissue Engineering Chinese Academy of Medical Sciences, Beijing Key Laboratory (No. BZO381), Beijing 100005, China.
Aging Dis. 2021 Oct 1;12(7):1794-1807. doi: 10.14336/AD.2021.0315. eCollection 2021 Oct.
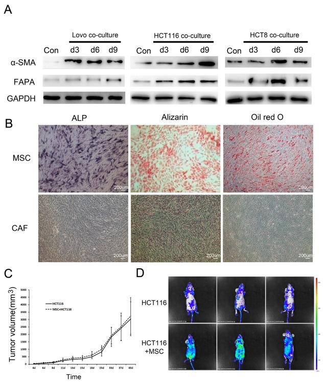
Metastasis is the major cause of death in colorectal cancer (CRC) patients. Inhibition of metastasis will prolong the survival of patients with CRC. Cancer cells bring their own soil, cancer-associated fibroblasts (CAFs), to metastasize together, promoting the survival and colonization of circulating cancer cells. However, the mechanism by which CAFs metastasize remains unclear. In this study, CAFs were derived from adipose mesenchymal stem cells (MSCs) after co-culture with CRC cell lines. Transwell assays showed that CAFs have stronger migration and invasion abilities than MSCs. In a nude mouse subcutaneous xenograft model, CAFs metastasized from the primary tumour to the lung and promoted the formation of CRC metastases. The expression of HIF-1α was upregulated when MSCs differentiated into CAFs. Inhibition of HIF-1α expression inhibited the migration and invasion of CAFs. Western blot and ChIP assays were used to identify the genes regulated by HIF-1α. HIF-1α regulated the migration and invasion of CAFs by upregulating miR-210 transcription. Bioinformatics analysis and luciferase reporter assays revealed that miR-210 specifically targeted the 3'UTR of VMP1 and regulated its expression. Downregulation of VMP1 enhanced the migration and invasion of CAFs. In vivo, inhibition of miR-210 expression in CAFs reduced the metastasis of CAFs and tumour cells. Therefore, the HIF-1α/miR-210/VMP1 pathway might regulate the migration and invasion of CAFs in CRC. Inhibition of CAF metastasis might reduce CRC metastasis.
转移是结直肠癌(CRC)患者死亡的主要原因。抑制转移将延长CRC患者的生存期。癌细胞会携带自身的“土壤”,即癌症相关成纤维细胞(CAFs)一起转移,促进循环癌细胞的存活和定植。然而,CAFs转移的机制仍不清楚。在本研究中,CAFs是脂肪间充质干细胞(MSCs)与CRC细胞系共培养后获得的。Transwell实验表明,CAFs比MSCs具有更强的迁移和侵袭能力。在裸鼠皮下异种移植模型中,CAFs从原发性肿瘤转移至肺部,并促进CRC转移灶的形成。当MSCs分化为CAFs时,HIF-1α的表达上调。抑制HIF-1α表达可抑制CAFs的迁移和侵袭。采用蛋白质免疫印迹法和染色质免疫沉淀法鉴定受HIF-1α调控的基因。HIF-1α通过上调miR-210转录来调控CAFs的迁移和侵袭。生物信息学分析和荧光素酶报告基因检测显示,miR-210特异性靶向VMP1的3'UTR并调控其表达。VMP1的下调增强了CAFs的迁移和侵袭。在体内,抑制CAFs中miR-210的表达可减少CAFs和肿瘤细胞的转移。因此,HIF-1α/miR-210/VMP1通路可能调控CRC中CAFs的迁移和侵袭。抑制CAF转移可能会减少CRC转移。