Suppr超能文献

Epstein-Barr 病毒导致一名既往健康的 17 岁女孩出现临床黄疸和急性非结石性胆囊炎。

Epstein-Barr Virus Causing Clinical Jaundice and Acute Acalculous Cholecystitis in a Previously Healthy 17-Year-Old Girl.

机构信息

Department of Emergency Medicine, Reading Hospital - Tower Health, West Reading, PA, USA.

Department of Radiology, Reading Hospital - Tower Health, West Reading, PA, USA.

出版信息

Am J Case Rep. 2021 Oct 13;22:e932285. doi: 10.12659/AJCR.932285.

Abstract

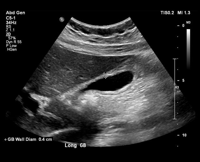
BACKGROUND Infectious mononucleosis secondary to Epstein-Barr Virus is a common infection in young adults. Infection usually involves a self-limiting course of fevers, sore throat, malaise, and myalgias. Transaminitis is a relatively common complication; clinical jaundice, however, is rare. This case report highlights an uncommon complication of Epstein-Barr Virus infection in which hepatocellular injury led to clinical jaundice as well as radiologic evidence of gallbladder pathology mimicking acute calculous cholecystitis. CASE REPORT A 17-year-old girl with no prior medical history presented to our Emergency Department 1 week after being diagnosed with infectious mononucleosis. She was hemodynamically stable and her physical exam was notable for scleral icterus with right upper quadrant tenderness and positive Murphy's sign. Multiple imaging modalities performed showed gallbladder wall thickening without common bile duct dilatation. A hepatobiliary iminodiacetic acid (HIDA) scan showed evidence of hepatocyte dysfunction with normal gallbladder filling. The imaging results obtained in conjunction with her laboratory testing and active infectious mononucleosis infection confirmed the patient's presentation was a result of her Epstein-Barr virus infection and did not require surgical intervention for cholecystectomy. CONCLUSIONS This case report highlights a rare complication of Epstein-Barr Virus infection and demonstrates the utility of interpreting hepatic function testing in conjunction with relevant imaging modalities in cases of clinical jaundice. By doing so, we were able to conclude the patient's gallbladder pathology was related to acute acalculous cholecystitis (AAC) and did not warrant surgical intervention. The patient was given supportive care measures and made a full recovery.

摘要

背景

继发于 Epstein-Barr 病毒的传染性单核细胞增多症是年轻人常见的感染。感染通常涉及自限性发热、咽痛、乏力和肌痛。肝转氨酶升高是相对常见的并发症;然而,临床黄疸则很少见。本病例报告强调了 Epstein-Barr 病毒感染的一种罕见并发症,其中肝细胞损伤导致临床黄疸以及影像学证据提示胆囊病理类似于急性胆石性胆囊炎。

病例报告

一名无既往病史的 17 岁女孩在诊断为传染性单核细胞增多症后 1 周就诊于我院急诊科。她血流动力学稳定,体格检查可见巩膜黄疸,右上象限压痛,墨菲氏征阳性。多种影像学检查显示胆囊壁增厚,无胆总管扩张。肝胆闪烁显像显示存在肝细胞功能障碍的证据,胆囊充盈正常。结合实验室检查和活动性传染性单核细胞增多症感染获得的影像学结果,证实患者的表现是由 Epstein-Barr 病毒感染引起的,无需进行胆囊切除术的手术干预。

结论

本病例报告强调了 Epstein-Barr 病毒感染的罕见并发症,并展示了在临床黄疸病例中结合相关影像学检查解读肝功能检查的实用性。通过这种方式,我们能够得出结论,患者的胆囊病理与急性非胆石性胆囊炎(AAC)有关,无需手术干预。患者接受了支持性治疗措施,完全康复。

https://cdn.ncbi.nlm.nih.gov/pmc/blobs/d664/8522527/58fa86e47f78/amjcaserep-22-e932285-g001.jpg

文献AI研究员

20分钟写一篇综述,助力文献阅读效率提升50倍。

立即体验

用中文搜PubMed

大模型驱动的PubMed中文搜索引擎

马上搜索

文档翻译

学术文献翻译模型,支持多种主流文档格式。

立即体验