• 文献检索
  • 文档翻译
  • 深度研究
  • 学术资讯
  • Suppr Zotero 插件Zotero 插件
  • 邀请有礼
  • 套餐&价格
  • 历史记录
应用&插件
Suppr Zotero 插件Zotero 插件浏览器插件Mac 客户端Windows 客户端微信小程序
定价
高级版会员购买积分包购买API积分包
服务
文献检索文档翻译深度研究API 文档MCP 服务
关于我们
关于 Suppr公司介绍联系我们用户协议隐私条款
关注我们

Suppr 超能文献

核心技术专利:CN118964589B侵权必究
粤ICP备2023148730 号-1Suppr @ 2026

文献检索

告别复杂PubMed语法,用中文像聊天一样搜索,搜遍4000万医学文献。AI智能推荐,让科研检索更轻松。

立即免费搜索

文件翻译

保留排版,准确专业,支持PDF/Word/PPT等文件格式,支持 12+语言互译。

免费翻译文档

深度研究

AI帮你快速写综述,25分钟生成高质量综述,智能提取关键信息,辅助科研写作。

立即免费体验

成功微创治疗导致肝外胆管受压的胃十二指肠动脉假性动脉瘤

Successful Minimally Invasive Management of a Gastroduodenal Artery Pseudoaneurysm Causing Extrinsic Bile Duct Compression.

作者信息

Shell Mark, Reinhart Evan, Smith Stephen, DeMarris Darryl, Naumann Christopher

机构信息

Department of Gastroenterology, Baylor Scott and White Medical Center Temple, Temple, TX.

Department of Interventional Radiology, University of New Mexico Hospital, Albuquerque, NM.

出版信息

ACG Case Rep J. 2021 Oct 5;8(9):e00663. doi: 10.14309/crj.0000000000000663. eCollection 2021 Sep.

DOI:10.14309/crj.0000000000000663
PMID:34646903
原文链接:https://pmc.ncbi.nlm.nih.gov/articles/PMC8500591/
Abstract

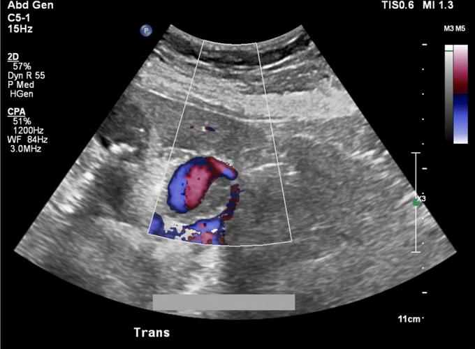
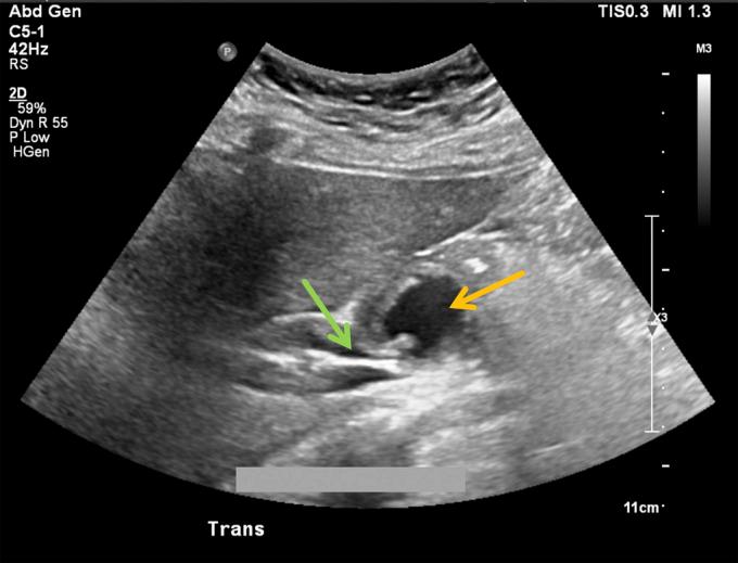
Gastroduodenal artery (GDA) pseudoaneurysms are rare clinical entities that typically develop in the setting of chronic inflammation of the pancreas, although idiopathic pseudoaneurysms can occur. Although GDA pseudoaneurysms carry the risk of rupture with resultant hemorrhage, they seldom are reported to cause biliary obstruction. We report a unique case of biliary obstruction secondary to extrinsic compression of the bile duct by a GDA pseudoaneurysm successfully managed by nonoperative means.

摘要

胃十二指肠动脉(GDA)假性动脉瘤是一种罕见的临床病症,通常在胰腺慢性炎症的背景下发生,不过也可能出现特发性假性动脉瘤。尽管GDA假性动脉瘤有破裂并导致出血的风险,但很少有报道称其会引起胆管梗阻。我们报告了一例独特的病例,该病例为GDA假性动脉瘤对胆管造成外部压迫继发胆管梗阻,通过非手术方法成功治愈。

https://cdn.ncbi.nlm.nih.gov/pmc/blobs/1ce8/8500591/f106a6d67bb4/ac9-8-e00663-g006.jpg
https://cdn.ncbi.nlm.nih.gov/pmc/blobs/1ce8/8500591/70c1ee5d8efe/ac9-8-e00663-g001.jpg
https://cdn.ncbi.nlm.nih.gov/pmc/blobs/1ce8/8500591/04d7c8bff65d/ac9-8-e00663-g002.jpg
https://cdn.ncbi.nlm.nih.gov/pmc/blobs/1ce8/8500591/b26112239a7b/ac9-8-e00663-g003.jpg
https://cdn.ncbi.nlm.nih.gov/pmc/blobs/1ce8/8500591/93db0fa19f86/ac9-8-e00663-g004.jpg
https://cdn.ncbi.nlm.nih.gov/pmc/blobs/1ce8/8500591/88fe81993f29/ac9-8-e00663-g005.jpg
https://cdn.ncbi.nlm.nih.gov/pmc/blobs/1ce8/8500591/f106a6d67bb4/ac9-8-e00663-g006.jpg
https://cdn.ncbi.nlm.nih.gov/pmc/blobs/1ce8/8500591/70c1ee5d8efe/ac9-8-e00663-g001.jpg
https://cdn.ncbi.nlm.nih.gov/pmc/blobs/1ce8/8500591/04d7c8bff65d/ac9-8-e00663-g002.jpg
https://cdn.ncbi.nlm.nih.gov/pmc/blobs/1ce8/8500591/b26112239a7b/ac9-8-e00663-g003.jpg
https://cdn.ncbi.nlm.nih.gov/pmc/blobs/1ce8/8500591/93db0fa19f86/ac9-8-e00663-g004.jpg
https://cdn.ncbi.nlm.nih.gov/pmc/blobs/1ce8/8500591/88fe81993f29/ac9-8-e00663-g005.jpg
https://cdn.ncbi.nlm.nih.gov/pmc/blobs/1ce8/8500591/f106a6d67bb4/ac9-8-e00663-g006.jpg

相似文献

1
Successful Minimally Invasive Management of a Gastroduodenal Artery Pseudoaneurysm Causing Extrinsic Bile Duct Compression.成功微创治疗导致肝外胆管受压的胃十二指肠动脉假性动脉瘤
ACG Case Rep J. 2021 Oct 5;8(9):e00663. doi: 10.14309/crj.0000000000000663. eCollection 2021 Sep.
2
Accessory Right Hepatic Artery Pseudoaneurysm Resulting in Biliary Obstruction.副肝右动脉假性动脉瘤导致胆道梗阻
Case Rep Gastroenterol. 2023 Nov 28;17(1):346-355. doi: 10.1159/000535039. eCollection 2023 Jan-Dec.
3
Gastroduodenal Artery Pseudoaneurysm: A Rare Cause of Upper Gastrointestinal Bleeding and Pancreatic Duct Compression.胃十二指肠动脉假性动脉瘤:上消化道出血和胰管受压的罕见原因
Cureus. 2022 Oct 6;14(10):e29971. doi: 10.7759/cureus.29971. eCollection 2022 Oct.
4
Large gastroduodenal artery pseudoaneurysm and arterioportal fistula in chronic pancreatitis.慢性胰腺炎中的胃十二指肠动脉假性动脉瘤和动脉门静脉瘘
Radiol Case Rep. 2024 Sep 7;19(12):5612-5618. doi: 10.1016/j.radcr.2024.08.038. eCollection 2024 Dec.
5
Correction to: Successful Minimally Invasive Management of a Gastroduodenal Artery Pseudoaneurysm Causing Extrinsic Bile Duct Compression.对《胃十二指肠动脉假性动脉瘤致肝外胆管压迫的成功微创治疗》的勘误
ACG Case Rep J. 2021 Dec 8;8(12):e00710. doi: 10.14309/crj.0000000000000710. eCollection 2021 Dec.
6
Gastroduodenal Artery Pseudoaneurysm Causing Obstructive Jaundice.胃十二指肠动脉假性动脉瘤致梗阻性黄疸
Ochsner J. 2021 Spring;21(1):104-107. doi: 10.31486/toj.19.0110.
7
Pseudoaneurysm of the Gastroduodenal Artery: A Rare Complication of Bile Duct Surgery.胃十二指肠动脉假性动脉瘤:胆管手术的一种罕见并发症。
Cureus. 2024 Jan 30;16(1):e53209. doi: 10.7759/cureus.53209. eCollection 2024 Jan.
8
Systematic review of the incidence, presentation and management of gastroduodenal artery pseudoaneurysm after pancreatic resection.胰腺切除术后胃十二指肠动脉假性动脉瘤的发生率、表现和处理的系统评价。
BJS Open. 2019 Sep 30;3(6):735-742. doi: 10.1002/bjs5.50210. eCollection 2019 Dec.
9
Case report: Duodenal obstruction caused by gastroduodenal artery pseudoaneurysm with hematoma: an unusual case and literature review.病例报告:胃十二指肠动脉假性动脉瘤伴血肿导致的十二指肠梗阻:1例罕见病例及文献复习
Front Med (Lausanne). 2023 Jun 22;10:1198378. doi: 10.3389/fmed.2023.1198378. eCollection 2023.
10
Transcatheter arterial embolization of gastroduodenal artery stump pseudoaneurysms after pancreaticoduodenectomy: safety and efficacy of two embolization techniques.经导管动脉栓塞术治疗胰十二指肠切除术后胃十二指肠动脉残端假性动脉瘤:两种栓塞技术的安全性和有效性。
J Vasc Interv Radiol. 2011 Mar;22(3):294-301. doi: 10.1016/j.jvir.2010.11.020.

引用本文的文献

1
Endovascular treatment of gastroduodenal artery pseudoaneurysm in a low-risk young female: Case report with literature review.低风险年轻女性胃十二指肠动脉假性动脉瘤的血管内治疗:病例报告及文献综述
Int J Surg Case Rep. 2025 Jun;131:111346. doi: 10.1016/j.ijscr.2025.111346. Epub 2025 Apr 23.
2
Gastroduodenal Artery (GDA) Pseudoaneurysm as a Cause of Massive Upper Gastrointestinal (GI) Bleeding Years After Partial Gastrectomy.胃十二指肠动脉假性动脉瘤作为胃部分切除术后多年大量上消化道出血的原因
J Investig Med High Impact Case Rep. 2025 Jan-Dec;13:23247096251323076. doi: 10.1177/23247096251323076. Epub 2025 Mar 22.
3

本文引用的文献

1
Visceral artery aneurysms: review on indications and current treatment strategies.内脏动脉瘤:适应证及当前治疗策略综述
Int Angiol. 2019 Oct;38(5):381-394. doi: 10.23736/S0392-9590.19.04194-4. Epub 2019 Jul 5.
2
A systematic review and meta-analysis of the management of visceral artery aneurysms.内脏动脉动脉瘤处理的系统评价和荟萃分析。
J Vasc Surg. 2019 Nov;70(5):1694-1699. doi: 10.1016/j.jvs.2019.02.024. Epub 2019 May 21.
3
Gastroduodenal Artery Aneurysm: A Case Report and Concise Review of Literature.胃十二指肠动脉动脉瘤:一例报告并文献简要综述
Case report: Duodenal obstruction caused by gastroduodenal artery pseudoaneurysm with hematoma: an unusual case and literature review.
病例报告:胃十二指肠动脉假性动脉瘤伴血肿导致的十二指肠梗阻:1例罕见病例及文献复习
Front Med (Lausanne). 2023 Jun 22;10:1198378. doi: 10.3389/fmed.2023.1198378. eCollection 2023.
4
Emergency Pancreatoduodenectomy: A Non-Trauma Center Case Series.急诊胰十二指肠切除术:一个非创伤中心的病例系列
J Clin Med. 2022 May 20;11(10):2891. doi: 10.3390/jcm11102891.
Ann Vasc Dis. 2015;8(4):331-3. doi: 10.3400/avd.cr.15-00086. Epub 2015 Nov 27.
4
Endovascular salvage for contained rupture of gastroduodenal artery aneurysm presented with obstructive jaundice.血管内挽救治疗以梗阻性黄疸为表现的胃十二指肠动脉动脉瘤局限性破裂。
Ann Vasc Surg. 2015 Jul;29(5):1017.e1-5. doi: 10.1016/j.avsg.2014.12.040. Epub 2015 Mar 14.
5
Visceral artery aneurysms: Incidence, management, and outcome analysis in a tertiary care center over one decade.内脏动脉瘤:一家三级医疗中心十年间的发病率、治疗及结局分析
Eur Radiol. 2015 Jul;25(7):2004-14. doi: 10.1007/s00330-015-3599-1. Epub 2015 Feb 19.
6
Gastroduodenal artery aneurysm, diagnosis, clinical presentation and management: a concise review.胃十二指肠动脉动脉瘤:诊断、临床表现及处理——简要综述
Ann Surg Innov Res. 2013 Apr 16;7(1):4. doi: 10.1186/1750-1164-7-4.
7
Coil embolization of a gastroduodenal artery pseudoaneurysm secondary to cholangitis: technical aspects and review of the literature.胆管炎继发胃十二指肠动脉假性动脉瘤的弹簧圈栓塞术:技术要点及文献复习
Vasc Endovascular Surg. 2012 Oct;46(7):550-4. doi: 10.1177/1538574412457082. Epub 2012 Aug 17.
8
Obstructive jaundice following a myocardial infarct: pseudoaneurysm of the gastroduodenal artery.心肌梗死后的梗阻性黄疸:胃十二指肠动脉假性动脉瘤。
Gut. 2008 Feb;57(2):180, 187. doi: 10.1136/gut.2006.103804.
9
Gastroduodenal artery pseudoaneurysm associated with hemosuccus pancreaticus and obstructive jaundice.胃十二指肠动脉假性动脉瘤伴胰源性消化道出血和梗阻性黄疸。
J Gastrointest Surg. 2007 Dec;11(12):1752-4. doi: 10.1007/s11605-007-0231-y. Epub 2007 Jul 17.
10
Giant gastroduodenal artery pseudoaneurysm due to polyarteritis nodosa as a cause of obstructive jaundice: imaging findings and coil embolization results.结节性多动脉炎所致巨大胃十二指肠动脉假性动脉瘤作为梗阻性黄疸的病因:影像学表现及弹簧圈栓塞结果
Cardiovasc Intervent Radiol. 2005 Nov-Dec;28(6):850-3. doi: 10.1007/s00270-004-0313-0.