Suppr超能文献

创伤后动静脉瘘导致心力衰竭

Post-Traumatic Arteriovenous Fistulas Leading to Heart Failure.

作者信息

Rabtsun Artem, Lejay Anne, Saaya Shoraan, Bugurov Savr, Chakfé Nabil, Karpenko Andrey

机构信息

Department of Vascular and Hybrid Surgery, Meshalkin National Medical Research Center, Ministry of Public Health of the Russian Federation, Novosibirsk, Russia.

Department of Vascular Surgery and Kidney Transplantation, Les Hôpitaux Universitaires de Strasbourg, University of Strasbourg, Strasbourg, France.

出版信息

EJVES Vasc Forum. 2021 Sep 20;53:14-16. doi: 10.1016/j.ejvsvf.2021.09.001. eCollection 2021.

Abstract

INTRODUCTION

The detection of acquired arteriovenous fistulas (AVFs) is mostly incidental. However, the modification of haemodynamic conditions secondary to AVFs can lead to dramatic systemic complications, including cardiac complications. In this report, two unusual cases of congestive heart failure secondary to acquired AVF are presented.

REPORT

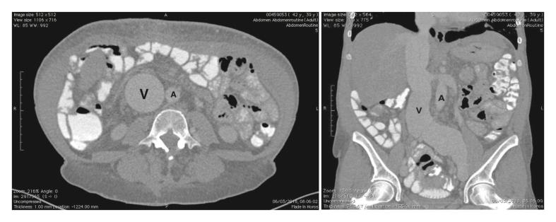
A 40 year old man with past history of gunshot wound of the right flank complained of severe right limb swelling and shortness of breath. An AVF between the right external iliac artery and external iliac vein responsible for the cardiac failure was diagnosed. A 40 year old woman with past history of spinal surgery complained of breathlessness and lower limb oedema. She presented with recurrent episodes of ascites and dyspnoea. An AVF between the right common iliac artery and the common iliac vein responsible for high output cardiac failure was diagnosed. Open surgery was performed in both patients and treatment of the AVFs led to the resolution of all symptoms. Follow up at four and three years, respectively, was uneventful in both cases.

DISCUSSION

Although rare, heart failure secondary to an AVF can be encountered. These rare cases highlight the significance of careful inquiry into the patient's medical history and meticulous follow up physical examinations for patients with injuries in close proximity to vessels.

摘要

引言

后天性动静脉瘘(AVF)大多是偶然发现的。然而,继发于AVF的血流动力学改变可导致严重的全身并发症,包括心脏并发症。在本报告中,我们介绍了两例因后天性AVF继发充血性心力衰竭的罕见病例。

报告

一名40岁男性,既往有右侧腰部枪伤史,主诉右下肢严重肿胀和呼吸急促。诊断为右髂外动脉与髂外静脉之间的AVF导致心力衰竭。一名40岁女性,既往有脊柱手术史,主诉呼吸急促和下肢水肿。她反复出现腹水和呼吸困难。诊断为右髂总动脉与髂总静脉之间的AVF导致高输出量心力衰竭。两名患者均接受了开放手术,AVF的治疗使所有症状得到缓解。分别在术后四年和三年进行随访,两例均无异常。

讨论

虽然罕见,但继发于AVF的心力衰竭仍可能发生。这些罕见病例凸显了对血管附近受伤患者仔细询问病史和进行细致随访体格检查的重要性。

https://cdn.ncbi.nlm.nih.gov/pmc/blobs/dfcb/8501500/f889b3813cc1/gr1.jpg

文献检索

告别复杂PubMed语法,用中文像聊天一样搜索,搜遍4000万医学文献。AI智能推荐,让科研检索更轻松。

立即免费搜索

文件翻译

保留排版,准确专业,支持PDF/Word/PPT等文件格式,支持 12+语言互译。

免费翻译文档

深度研究

AI帮你快速写综述,25分钟生成高质量综述,智能提取关键信息,辅助科研写作。

立即免费体验