• 文献检索
  • 文档翻译
  • 深度研究
  • 学术资讯
  • Suppr Zotero 插件Zotero 插件
  • 邀请有礼
  • 套餐&价格
  • 历史记录
应用&插件
Suppr Zotero 插件Zotero 插件浏览器插件Mac 客户端Windows 客户端微信小程序
定价
高级版会员购买积分包购买API积分包
服务
文献检索文档翻译深度研究API 文档MCP 服务
关于我们
关于 Suppr公司介绍联系我们用户协议隐私条款
关注我们

Suppr 超能文献

核心技术专利:CN118964589B侵权必究
粤ICP备2023148730 号-1Suppr @ 2026

文献检索

告别复杂PubMed语法,用中文像聊天一样搜索,搜遍4000万医学文献。AI智能推荐,让科研检索更轻松。

立即免费搜索

文件翻译

保留排版,准确专业,支持PDF/Word/PPT等文件格式,支持 12+语言互译。

免费翻译文档

深度研究

AI帮你快速写综述,25分钟生成高质量综述,智能提取关键信息,辅助科研写作。

立即免费体验

胎盘植入谱系疾病产科子宫切除术中输尿管损伤:病例报告

Ureter injury in obstetric hysterectomy with placenta accreta spectrum: Case report.

作者信息

Djusad Suskhan, Dilmy Mohammad Adya Firmansha, Suastika Arresta Vitasatria, Fadhly Raden Muhammad Ali, Purwosunu Yuditiya

机构信息

Department of Obstetrics and Gynecology, University of Indonesia, Jakarta, Indonesia.

Department of Obstetrics and Gynecology, University of Indonesia, Jakarta, Indonesia.

出版信息

Int J Surg Case Rep. 2021 Nov;88:106489. doi: 10.1016/j.ijscr.2021.106489. Epub 2021 Oct 6.

DOI:10.1016/j.ijscr.2021.106489
PMID:34653897
原文链接:https://pmc.ncbi.nlm.nih.gov/articles/PMC8521111/
Abstract

INTRODUCTION AND IMPORTANCE

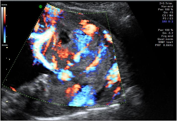
Placenta accreta spectrum (PAS) is a state of abnormal attachment of the placenta, including placenta accreta, placenta increta, and placenta percreta. This condition can be life-threatening due to the placenta cannot spontaneously separated, resulting in continuous bleeding. Cesarean section followed by hysterectomy is one of the treatment options for PAS. There was a great liability for urinary tract injuries during the operation of PAS patient.

CASE PRESENTATION

We present the case of ureter injury during subtotal hysterectomy in patient with PAS. A 30-years-old female patient was diagnosed with recurrent antepartum hemorrhage due to placenta previa accreta spectrum on G2P1 33 weeks of gestational age, singleton live breech presentation, previous c-section 1×. After uterine transverse incision, the baby was delivered. We decided to perform subtotal hysterectomy. There was severe adhesion. On the exploration after subtotal hysterectomy was performed, we found ruptured of the right ureter.

CLINICAL DISCUSSION

Hysterectomy peripartum is one of the treatment of PAS, either to prevent or to control postpartum hemorrhage. In pregnant women with morbid placental adherence, there was a great liability for urinary tract injuries. Distal ureters are the most commonly injured while hysterectomy. Injuries to the ureters in this patient occurred due to severe adhesions and unclear visual organ.

CONCLUSION

Although it is rare, ureter injury may occur during subtotal hysterectomy in patient with placenta accreta spectrum. To prevent that condition, inserting ureter stent can be perform before the operation. Multidisciplinary approach is carried out so that patient outcomes are good.

摘要

引言与重要性

胎盘植入谱系疾病(PAS)是胎盘异常附着的一种状态,包括胎盘粘连、胎盘植入和穿透性胎盘植入。由于胎盘无法自然剥离,这种情况可能会危及生命,导致持续出血。剖宫产加子宫切除术是PAS的治疗选择之一。在PAS患者手术过程中,尿路损伤的风险很大。

病例介绍

我们报告一例PAS患者在次全子宫切除术中发生输尿管损伤的病例。一名30岁女性患者,孕2产1,孕33周,单胎臀位,既往剖宫产1次,因前置胎盘植入谱系疾病诊断为复发性产前出血。子宫横切口后,娩出胎儿。我们决定行次全子宫切除术。粘连严重。次全子宫切除术后探查发现右侧输尿管破裂。

临床讨论

围产期子宫切除术是PAS的治疗方法之一,用于预防或控制产后出血。在患有病态胎盘粘连的孕妇中,尿路损伤的风险很大。子宫切除术中最常损伤的是输尿管远端。该患者输尿管损伤是由于严重粘连和手术视野不清所致。

结论

虽然罕见,但胎盘植入谱系疾病患者在次全子宫切除术中可能发生输尿管损伤。为预防这种情况,可在手术前放置输尿管支架。采取多学科方法可使患者获得良好预后。

https://cdn.ncbi.nlm.nih.gov/pmc/blobs/0701/8521111/5808aa94d959/gr4.jpg
https://cdn.ncbi.nlm.nih.gov/pmc/blobs/0701/8521111/768d31522f2b/gr1.jpg
https://cdn.ncbi.nlm.nih.gov/pmc/blobs/0701/8521111/e838e0818fae/gr2.jpg
https://cdn.ncbi.nlm.nih.gov/pmc/blobs/0701/8521111/f4e216a1cb9f/gr3.jpg
https://cdn.ncbi.nlm.nih.gov/pmc/blobs/0701/8521111/5808aa94d959/gr4.jpg
https://cdn.ncbi.nlm.nih.gov/pmc/blobs/0701/8521111/768d31522f2b/gr1.jpg
https://cdn.ncbi.nlm.nih.gov/pmc/blobs/0701/8521111/e838e0818fae/gr2.jpg
https://cdn.ncbi.nlm.nih.gov/pmc/blobs/0701/8521111/f4e216a1cb9f/gr3.jpg
https://cdn.ncbi.nlm.nih.gov/pmc/blobs/0701/8521111/5808aa94d959/gr4.jpg

相似文献

1
Ureter injury in obstetric hysterectomy with placenta accreta spectrum: Case report.胎盘植入谱系疾病产科子宫切除术中输尿管损伤:病例报告
Int J Surg Case Rep. 2021 Nov;88:106489. doi: 10.1016/j.ijscr.2021.106489. Epub 2021 Oct 6.
2
A multicenter observational survey of management strategies in 442 pregnancies with suspected placenta accreta spectrum.442 例疑似胎盘植入谱系疾病妊娠管理策略的多中心观察性调查。
Acta Obstet Gynecol Scand. 2021 Mar;100 Suppl 1(Suppl 1):12-20. doi: 10.1111/aogs.14096.
3
Colombian Consensus on the Treatment of Placenta Accreta Spectrum (PAS).哥伦比亚胎盘植入症谱(PAS)治疗共识。
Rev Colomb Obstet Ginecol. 2022 Sep 30;73(3):283-316. doi: 10.18597/rcog.3877.
4
The application of prophylactic balloon occlusion of the internal iliac artery for the treatment of placenta accreta spectrum with placenta previa: a retrospective case-control study.预防性阻断髂内动脉在前置胎盘伴胎盘植入综合征治疗中的应用:一项回顾性病例对照研究。
BMC Pregnancy Childbirth. 2020 Jun 8;20(1):349. doi: 10.1186/s12884-020-03041-4.
5
Placenta Accreta Spectrum (PAS): Diagnosis, Clinical Presentation, Therapeutic Approaches, and Clinical Outcomes.胎盘植入谱系疾病(PAS):诊断、临床表现、治疗方法和临床结局。
Medicina (Kaunas). 2024 Jul 20;60(7):1180. doi: 10.3390/medicina60071180.
6
Use of routine ureteral stents in cesarean hysterectomy for placenta accreta.在胎盘植入的剖宫产子宫切除术时常规使用输尿管支架。
J Matern Fetal Neonatal Med. 2021 Feb;34(3):386-389. doi: 10.1080/14767058.2019.1609935. Epub 2019 May 2.
7
Effectiveness of Intrauterine Bakri Balloon® Tamponade for Placenta Previa and Placenta Accreta Spectrum.Bakri 球囊子宫填塞在前置胎盘和胎盘植入谱系中的有效性。
J Coll Physicians Surg Pak. 2020 Jul;30(7):707-712. doi: 10.29271/jcpsp.2020.07.707.
8
Maternal and fetal outcome in placenta accreta spectrum (PAS) associated with placenta previa: a retrospective analysis from a tertiary center.胎盘植入谱系疾病(PAS)相关前置胎盘的母婴结局:来自一家三级中心的回顾性分析。
J Med Life. 2021 May-Jun;14(3):367-375. doi: 10.25122/jml-2021-0134.
9
Placenta Previa Accreta Spectrum: Cesarean Hysterectomy.胎盘植入谱系疾病:剖宫产子宫切除术
Surg J (N Y). 2021 May 25;7(Suppl 1):S28-S37. doi: 10.1055/s-0040-1721492. eCollection 2021 Dec.
10
Surgical Management of the Placenta Accreta Spectrum: An Institutional Experience.胎盘植入谱系疾病的外科治疗:机构经验
J Obstet Gynaecol Can. 2019 Nov;41(11):1551-1557. doi: 10.1016/j.jogc.2019.01.016. Epub 2019 Apr 2.

引用本文的文献

1
Placenta Accreta Spectrum Leading to Peripartum Hysterectomy: A Case Report.导致围产期子宫切除术的胎盘植入谱系障碍:一例报告
Cureus. 2025 Apr 30;17(4):e83253. doi: 10.7759/cureus.83253. eCollection 2025 Apr.
2
An Ominous Case of Uterine Rupture in an Unscarred Womb and Its Subsequent Management.一例子宫无瘢痕子宫破裂的凶险病例及其后续处理
Cureus. 2024 Mar 30;16(3):e57273. doi: 10.7759/cureus.57273. eCollection 2024 Mar.