Division of Molecular Oncology, Centro di Riferimento Oncologico di Aviano (CRO), IRCCS, National Cancer Institute, Aviano, Italy.
Faculty of Medicine and Psychology, Department of Clinical and Molecular Medicine, University of Rome "Sapienza", Santo Andrea Hospital, Rome, Italy.
Cell Death Dis. 2021 Oct 15;12(10):951. doi: 10.1038/s41419-021-04241-2.
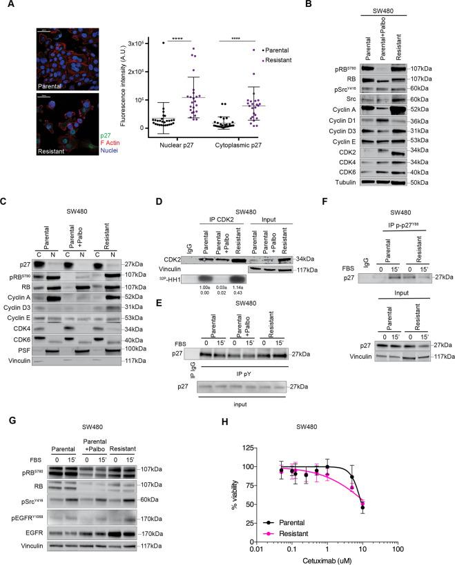
In colorectal cancer, mutation of KRAS (RAS) reduces therapeutic options, negatively affecting prognosis of the patients. In this setting, administration of CDK4/6-inhibitors, alone or in combination with other drugs, is being tested as promising therapeutic strategy. Identifying sensitive patients and overcoming intrinsic and acquired resistance to CDK4/6 inhibition represent still open challenges, to obtain better clinical responses. Here, we investigated the role of the CDK inhibitor p27 in the response to the selective CDK4/6-inhibitor Palbociclib, in colorectal cancer. Our results show that p27 expression inversely correlated with Palbociclib response, both in vitro and in vivo. Generating a model of Palbociclib-resistant RAS colorectal cancer cells, we observed an increased expression of p27, cyclin D, CDK4 and CDK6, coupled with an increased association between p27 and CDK4. Furthermore, Palbociclib-resistant cells showed increased Src-mediated phosphorylation of p27 on tyrosine residues and low doses of Src inhibitors re-sensitized resistant cells to Palbociclib. Since p27 showed variable expression in RAS colorectal cancer samples, our study supports the possibility that p27 could serve as biomarker to stratify patients who might benefit from CDK4/6 inhibition, alone or in combination with Src inhibitors.
在结直肠癌中,KRAS(RAS)突变会减少治疗选择,对患者的预后产生负面影响。在这种情况下,单独或联合其他药物使用 CDK4/6 抑制剂作为有前途的治疗策略正在进行测试。确定敏感患者并克服 CDK4/6 抑制的内在和获得性耐药性,以获得更好的临床反应,仍然是一个尚未解决的挑战。在这里,我们研究了 CDK 抑制剂 p27 在结直肠癌细胞对选择性 CDK4/6 抑制剂 Palbociclib 反应中的作用。我们的结果表明,p27 的表达与 Palbociclib 的反应呈负相关,无论是在体外还是体内。在生成对 Palbociclib 具有抗性的 RAS 结直肠癌细胞模型时,我们观察到 p27、细胞周期蛋白 D、CDK4 和 CDK6 的表达增加,同时 p27 与 CDK4 的结合增加。此外,Palbociclib 耐药细胞显示出Src 介导的 p27 酪氨酸残基磷酸化增加,低剂量的Src 抑制剂可使耐药细胞重新对 Palbociclib 敏感。由于 p27 在 RAS 结直肠癌样本中的表达存在差异,我们的研究支持了这样一种可能性,即 p27 可作为生物标志物,对可能受益于 CDK4/6 抑制的患者进行分层,单独或联合使用 Src 抑制剂。