• 文献检索
  • 文档翻译
  • 深度研究
  • 学术资讯
  • Suppr Zotero 插件Zotero 插件
  • 邀请有礼
  • 套餐&价格
  • 历史记录
应用&插件
Suppr Zotero 插件Zotero 插件浏览器插件Mac 客户端Windows 客户端微信小程序
定价
高级版会员购买积分包购买API积分包
服务
文献检索文档翻译深度研究API 文档MCP 服务
关于我们
关于 Suppr公司介绍联系我们用户协议隐私条款
关注我们

Suppr 超能文献

核心技术专利:CN118964589B侵权必究
粤ICP备2023148730 号-1Suppr @ 2026

文献检索

告别复杂PubMed语法,用中文像聊天一样搜索,搜遍4000万医学文献。AI智能推荐,让科研检索更轻松。

立即免费搜索

文件翻译

保留排版,准确专业,支持PDF/Word/PPT等文件格式,支持 12+语言互译。

免费翻译文档

深度研究

AI帮你快速写综述,25分钟生成高质量综述,智能提取关键信息,辅助科研写作。

立即免费体验

多次导管消融术后严重肺静脉狭窄引起的难治性咯血。

Refractory Hemoptysis Caused by Severe Pulmonary Vein Stenosis after Multiple Catheter Ablations.

机构信息

Department of Respiratory Medicine, National Center for Global Health and Medicine, Japan.

Division of Respiratory Medicine, Department of Internal Medicine, The Jikei University School of Medicine, Japan.

出版信息

Intern Med. 2021;60(20):3279-3284. doi: 10.2169/internalmedicine.6513-20. Epub 2021 Oct 15.

DOI:10.2169/internalmedicine.6513-20
PMID:34657907
原文链接:https://pmc.ncbi.nlm.nih.gov/articles/PMC8580755/
Abstract

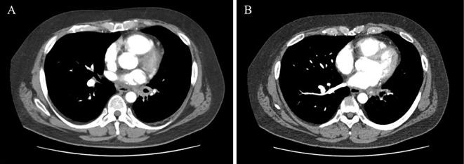
We herein report a 48-year-old man with a history of chronic atrial fibrillation (AF) and repeated hemoptysis after radiofrequency ablation. Contrast tomography showed soft tissue thickening of the left hilar region and left pulmonary vein stenosis. We performed bronchial artery embolization, but the hemoptysis did not disappear, and AF was not controlled. We performed left lung lobectomy and maze procedures since we considered surgical removal necessary as radical treatment. After the surgery, hemoptysis and atrial fibrillation did not recur. Refractory hemoptysis after catheter ablation is rare, but occasionally occurs in patients with severe pulmonary vein stenosis.

摘要

我们在此报告一例 48 岁男性,患有慢性心房颤动(AF)病史,射频消融术后反复咯血。对比断层扫描显示左肺门区软组织增厚,左肺静脉狭窄。我们进行了支气管动脉栓塞,但咯血并未消失,AF 也未得到控制。我们考虑到作为根治性治疗有必要进行手术切除,因此进行了左肺叶切除术和迷宫手术。手术后,咯血和心房颤动均未再复发。射频消融术后难治性咯血较为罕见,但在严重肺静脉狭窄患者中偶有发生。

https://cdn.ncbi.nlm.nih.gov/pmc/blobs/640a/8580755/5ef096dcba5e/1349-7235-60-3279-g006.jpg
https://cdn.ncbi.nlm.nih.gov/pmc/blobs/640a/8580755/bae250d4f4db/1349-7235-60-3279-g001.jpg
https://cdn.ncbi.nlm.nih.gov/pmc/blobs/640a/8580755/d45f28dbd614/1349-7235-60-3279-g002.jpg
https://cdn.ncbi.nlm.nih.gov/pmc/blobs/640a/8580755/e6140adfaf68/1349-7235-60-3279-g003.jpg
https://cdn.ncbi.nlm.nih.gov/pmc/blobs/640a/8580755/d6eb4999f8a0/1349-7235-60-3279-g004.jpg
https://cdn.ncbi.nlm.nih.gov/pmc/blobs/640a/8580755/18b7beac9990/1349-7235-60-3279-g005.jpg
https://cdn.ncbi.nlm.nih.gov/pmc/blobs/640a/8580755/5ef096dcba5e/1349-7235-60-3279-g006.jpg
https://cdn.ncbi.nlm.nih.gov/pmc/blobs/640a/8580755/bae250d4f4db/1349-7235-60-3279-g001.jpg
https://cdn.ncbi.nlm.nih.gov/pmc/blobs/640a/8580755/d45f28dbd614/1349-7235-60-3279-g002.jpg
https://cdn.ncbi.nlm.nih.gov/pmc/blobs/640a/8580755/e6140adfaf68/1349-7235-60-3279-g003.jpg
https://cdn.ncbi.nlm.nih.gov/pmc/blobs/640a/8580755/d6eb4999f8a0/1349-7235-60-3279-g004.jpg
https://cdn.ncbi.nlm.nih.gov/pmc/blobs/640a/8580755/18b7beac9990/1349-7235-60-3279-g005.jpg
https://cdn.ncbi.nlm.nih.gov/pmc/blobs/640a/8580755/5ef096dcba5e/1349-7235-60-3279-g006.jpg

相似文献

1
Refractory Hemoptysis Caused by Severe Pulmonary Vein Stenosis after Multiple Catheter Ablations.多次导管消融术后严重肺静脉狭窄引起的难治性咯血。
Intern Med. 2021;60(20):3279-3284. doi: 10.2169/internalmedicine.6513-20. Epub 2021 Oct 15.
2
Bilateral pulmonary vein stenting for treatment of massive hemoptysis caused by pulmonary vein stenosis following catheter ablation for atrial fibrillation.双侧肺静脉支架置入术治疗房颤导管消融术后肺静脉狭窄所致大咯血。
BMC Cardiovasc Disord. 2019 Jul 4;19(1):162. doi: 10.1186/s12872-019-1141-0.
3
Combined pulmonary vein stenosis stenting and left atrial appendage occlusion in a patient with hemoptysis after atrial fibrillation ablation.肺静脉狭窄支架置入联合左心耳封堵术治疗房颤消融术后咯血患者。
BMC Cardiovasc Disord. 2020 Apr 22;20(1):191. doi: 10.1186/s12872-020-01483-4.
4
Hemoptysis and lung disease as a manifestation of pulmonary vein stenosis after cryoballoon catheter ablation for atrial fibrillation.咯血和肺部疾病作为冷冻球囊导管消融治疗心房颤动后肺静脉狭窄的一种表现。
Pol Arch Med Wewn. 2016;126(1-2):94-6.
5
Pulmonary Vein Widening Plasty for Pulmonary Vein Stenosis and Occlusion After Catheter Ablation.经导管消融术后肺静脉狭窄和闭塞的肺静脉扩张成形术
Ann Thorac Surg. 2017 Nov;104(5):e411-e412. doi: 10.1016/j.athoracsur.2017.04.054.
6
Pulmonary vein reconstruction for pulmonary vein stenosis and occlusion after surgical ablation.肺静脉重建治疗外科消融后肺静脉狭窄和闭塞。
Gen Thorac Cardiovasc Surg. 2021 Dec;69(12):1580-1584. doi: 10.1007/s11748-021-01700-7. Epub 2021 Sep 12.
7
[Pulmonary Vein Stenosis after Catheter Ablation of Atrial Fibrillation: clinical presentation as a Lung cancer. Case report.].[心房颤动导管消融术后肺静脉狭窄:表现为肺癌。病例报告。]
Rev Fac Cien Med Univ Nac Cordoba. 2018 Nov 13;75(4):288-291. doi: 10.31053/1853.0605.v75.n3.17934.
8
Incidence of Pulmonary Vein Stenosis After Radiofrequency Catheter Ablation of Atrial Fibrillation.射频导管消融治疗心房颤动后肺静脉狭窄的发生率。
JACC Clin Electrophysiol. 2017 Jun;3(6):589-598. doi: 10.1016/j.jacep.2017.02.003. Epub 2017 Apr 26.
9
Clinical characteristics of patients with atrial fibrillation suffering from pulmonary vein stenosis after radiofrequency ablation.心房颤动患者射频消融术后发生肺静脉狭窄的临床特征
J Int Med Res. 2020 Mar;48(3):300060519881555. doi: 10.1177/0300060519881555. Epub 2019 Nov 10.
10
Primary Minimally Invasive Repair with Atriopericardial Anastomosis Technique for Pulmonary Vein Stenosis after Catheter Ablation.经导管消融术后肺静脉狭窄的经心房-心包吻合术的初次微创修复。
Innovations (Phila). 2021 Jul-Aug;16(4):393-394. doi: 10.1177/15569845211013768. Epub 2021 Jun 8.

引用本文的文献

1
Pulmonary Lobectomy for Chronic Pulmonary Vein Occlusion after Catheter Ablation for Atrial Fibrillation: A Case Report and Literature Review.心房颤动导管消融术后慢性肺静脉闭塞的肺叶切除术:一例报告及文献复习
Surg Case Rep. 2025;11(1). doi: 10.70352/scrj.cr.24-0034. Epub 2025 Feb 8.
2
Massive Hemoptysis of Pulmonary Vein Origin in the Inner Wall of a Lung Abscess.肺脓肿内壁肺静脉起源的大量咯血。
Ann Thorac Surg Short Rep. 2023 Jun 3;1(3):498-500. doi: 10.1016/j.atssr.2023.05.004. eCollection 2023 Sep.
3
Extensive pulmonary venous stenoses as a complication of radiofrequency catheter ablation for atrial fibrillation.

本文引用的文献

1
Hemoptysis after five months of cryoballoon ablation: What is the relationship?冷冻球囊消融术后五个月出现咯血:两者有何关系?
HeartRhythm Case Rep. 2017 May 31;3(7):357-359. doi: 10.1016/j.hrcr.2017.05.010. eCollection 2017 Jul.
2
Clinical and Angiographic Characteristics of 35 Patients With Cryptogenic Hemoptysis.35例隐源性咯血患者的临床及血管造影特征
Chest. 2017 Nov;152(5):1008-1014. doi: 10.1016/j.chest.2017.05.007. Epub 2017 May 16.
3
Recurrent haemoptysis as a symptom of severe pulmonary vein stenosis-a rare complication of catheter ablation in atrial fibrillation.
广泛肺静脉狭窄作为心房颤动射频导管消融的并发症
Radiol Case Rep. 2022 Sep 14;17(11):4299-4301. doi: 10.1016/j.radcr.2022.08.032. eCollection 2022 Nov.
反复咯血作为严重肺静脉狭窄的症状——心房颤动导管消融术的一种罕见并发症。
Respirol Case Rep. 2017 Jan 9;5(2):e00212. doi: 10.1002/rcr2.212. eCollection 2017 Mar.
4
Severe Pulmonary Vein Stenosis Resulting From Ablation for Atrial Fibrillation: Presentation, Management, and Clinical Outcomes.严重肺静脉狭窄导致的心房颤动消融:表现、处理和临床结局。
Circulation. 2016 Dec 6;134(23):1812-1821. doi: 10.1161/CIRCULATIONAHA.116.021949. Epub 2016 Oct 28.
5
Hemoptysis and lung disease as a manifestation of pulmonary vein stenosis after cryoballoon catheter ablation for atrial fibrillation.咯血和肺部疾病作为冷冻球囊导管消融治疗心房颤动后肺静脉狭窄的一种表现。
Pol Arch Med Wewn. 2016;126(1-2):94-6.
6
Thoracoscopic lobectomy for pulmonary vein occlusion after radiofrequency catheter ablation of atrial fibrillation.胸腔镜肺叶切除术治疗心房颤动射频导管消融术后肺静脉闭塞
J Cardiothorac Surg. 2016 Jan 19;11:12. doi: 10.1186/s13019-016-0400-8.
7
Hemoptysis after pulmonary vein isolation with a cryoballoon: an analysis of the potential etiology.肺静脉隔离术后咯血:潜在病因分析。
J Cardiovasc Electrophysiol. 2011 Sep;22(9):1067-9. doi: 10.1111/j.1540-8167.2011.02031.x. Epub 2011 Feb 25.
8
Lobectomy for pulmonary vein occlusion secondary to radiofrequency ablation.肺静脉闭塞的肺叶切除术继发于射频消融。
J Cardiovasc Electrophysiol. 2010 Sep;21(9):1055-8. doi: 10.1111/j.1540-8167.2010.01763.x.
9
Updated worldwide survey on the methods, efficacy, and safety of catheter ablation for human atrial fibrillation.全球更新的关于人房颤导管消融方法、疗效和安全性的调查。
Circ Arrhythm Electrophysiol. 2010 Feb;3(1):32-8. doi: 10.1161/CIRCEP.109.859116. Epub 2009 Dec 7.
10
Pulmonary vein stenosis complicating ablation for atrial fibrillation: clinical spectrum and interventional considerations.肺静脉狭窄并发心房颤动消融术:临床谱及介入治疗考量
JACC Cardiovasc Interv. 2009 Apr;2(4):267-76. doi: 10.1016/j.jcin.2008.12.014.