• 文献检索
  • 文档翻译
  • 深度研究
  • 学术资讯
  • Suppr Zotero 插件Zotero 插件
  • 邀请有礼
  • 套餐&价格
  • 历史记录
应用&插件
Suppr Zotero 插件Zotero 插件浏览器插件Mac 客户端Windows 客户端微信小程序
定价
高级版会员购买积分包购买API积分包
服务
文献检索文档翻译深度研究API 文档MCP 服务
关于我们
关于 Suppr公司介绍联系我们用户协议隐私条款
关注我们

Suppr 超能文献

核心技术专利:CN118964589B侵权必究
粤ICP备2023148730 号-1Suppr @ 2026

文献检索

告别复杂PubMed语法,用中文像聊天一样搜索,搜遍4000万医学文献。AI智能推荐,让科研检索更轻松。

立即免费搜索

文件翻译

保留排版,准确专业,支持PDF/Word/PPT等文件格式,支持 12+语言互译。

免费翻译文档

深度研究

AI帮你快速写综述,25分钟生成高质量综述,智能提取关键信息,辅助科研写作。

立即免费体验

先天性拇内翻:一种罕见的前足畸形。

Congenital Hallux Varus: A Rare Forefoot Deformity.

作者信息

Bajuri Mohd Yazid, Bashir Ridha Azwan Zhafri, Mohd Apandi Husna, Sarifulnizam Faris Aiman

机构信息

Orthopaedics and Traumatology, Universiti Kebangsaan Malaysia Medical Centre, Kuala Lumpur, MYS.

出版信息

Cureus. 2021 Sep 15;13(9):e17995. doi: 10.7759/cureus.17995. eCollection 2021 Sep.

DOI:10.7759/cureus.17995
PMID:34667671
原文链接:https://pmc.ncbi.nlm.nih.gov/articles/PMC8516324/
Abstract

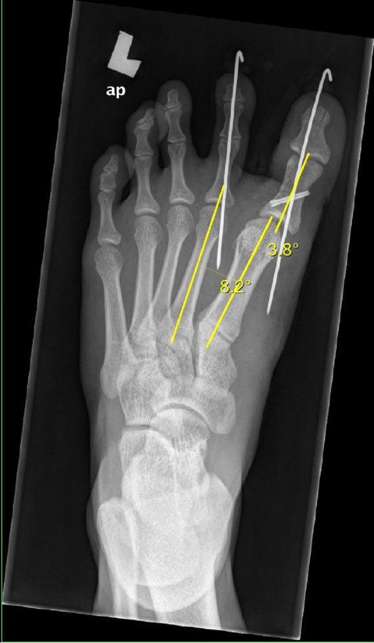
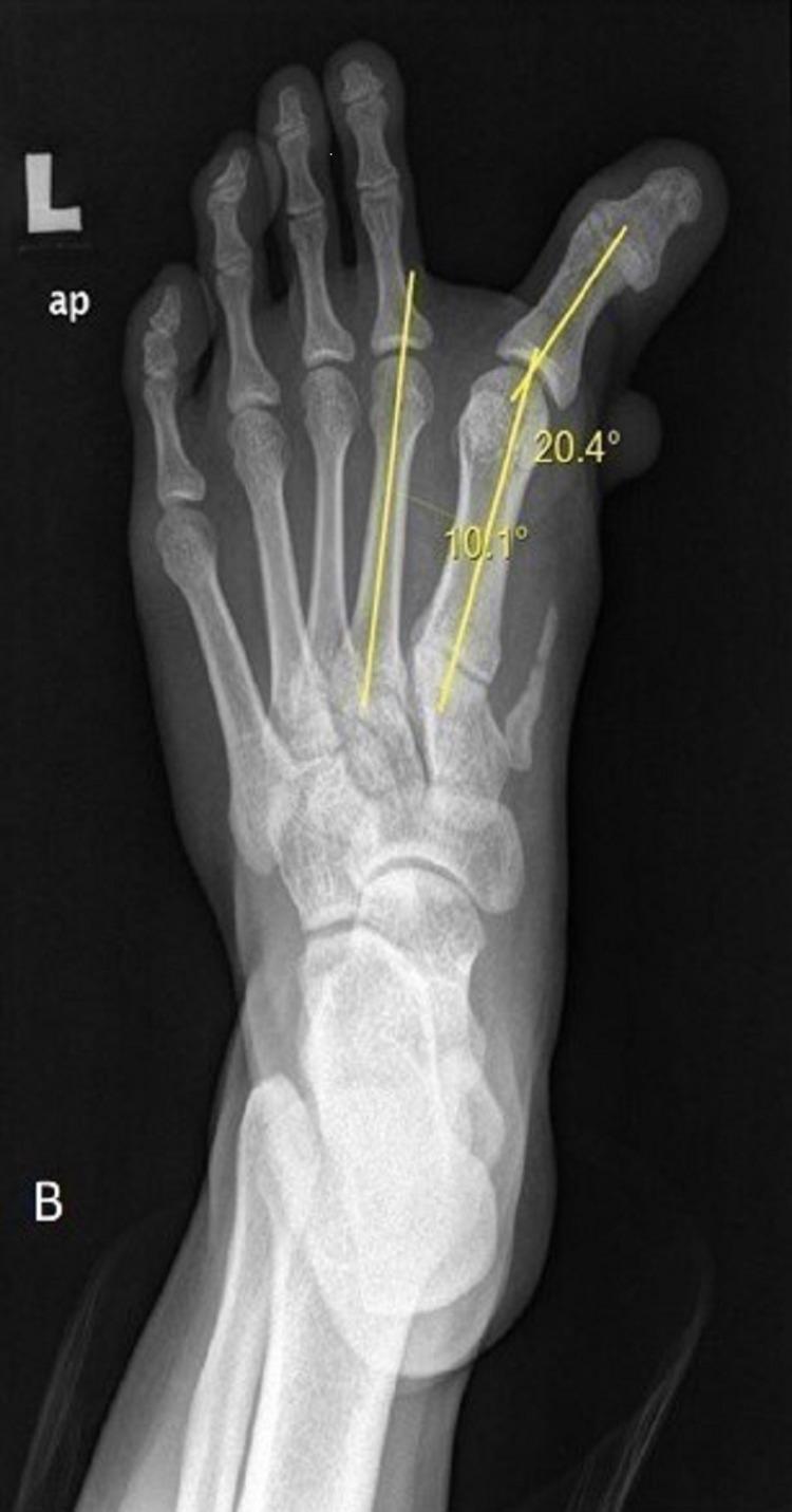
Congenital hallux varus is a rare forefoot deformity presenting with a deviation of the great toe medially. There are various techniques for the treatment of congenital hallux varus described in the literature. We present a case of a 16-year-old boy with congenital hallux varus who underwent corrective surgery, which involved soft tissue and bony procedure for better functional and clinical outcomes.

摘要

先天性拇内翻是一种罕见的前足畸形,表现为拇指向内侧偏斜。文献中描述了多种治疗先天性拇内翻的技术。我们报告一例16岁患有先天性拇内翻的男孩,他接受了矫正手术,该手术包括软组织和骨手术,以获得更好的功能和临床效果。

https://cdn.ncbi.nlm.nih.gov/pmc/blobs/e9af/8516324/99ab0622f1bd/cureus-0013-00000017995-i04.jpg
https://cdn.ncbi.nlm.nih.gov/pmc/blobs/e9af/8516324/a7e0ddfc3bd7/cureus-0013-00000017995-i01.jpg
https://cdn.ncbi.nlm.nih.gov/pmc/blobs/e9af/8516324/5039d9e3e10b/cureus-0013-00000017995-i02.jpg
https://cdn.ncbi.nlm.nih.gov/pmc/blobs/e9af/8516324/ce156e065468/cureus-0013-00000017995-i03.jpg
https://cdn.ncbi.nlm.nih.gov/pmc/blobs/e9af/8516324/99ab0622f1bd/cureus-0013-00000017995-i04.jpg
https://cdn.ncbi.nlm.nih.gov/pmc/blobs/e9af/8516324/a7e0ddfc3bd7/cureus-0013-00000017995-i01.jpg
https://cdn.ncbi.nlm.nih.gov/pmc/blobs/e9af/8516324/5039d9e3e10b/cureus-0013-00000017995-i02.jpg
https://cdn.ncbi.nlm.nih.gov/pmc/blobs/e9af/8516324/ce156e065468/cureus-0013-00000017995-i03.jpg
https://cdn.ncbi.nlm.nih.gov/pmc/blobs/e9af/8516324/99ab0622f1bd/cureus-0013-00000017995-i04.jpg

相似文献

1
Congenital Hallux Varus: A Rare Forefoot Deformity.先天性拇内翻:一种罕见的前足畸形。
Cureus. 2021 Sep 15;13(9):e17995. doi: 10.7759/cureus.17995. eCollection 2021 Sep.
2
Primary Congenital Hallux Varus: A Step-Cut Surgical Approach.原发性先天性拇内翻:一种阶梯式手术入路
Cureus. 2022 Aug 16;14(8):e28075. doi: 10.7759/cureus.28075. eCollection 2022 Aug.
3
Congenital Hallux Varus with Polydactyly and Syndactyly-Correction in an Adult - A Case Report.成人先天性拇内翻合并多指及并指畸形的矫正——病例报告
J Orthop Case Rep. 2014 Apr-Jun;4(2):64-8. doi: 10.13107/jocr.2250-0685.171.
4
Prenatal diagnosis of congenital hallux varus deformity associated with pericentric inversion of chromosome 9.与9号染色体臂间倒位相关的先天性拇内翻畸形的产前诊断。
J Obstet Gynaecol Res. 2015 Apr;41(4):628-30. doi: 10.1111/jog.12603. Epub 2014 Dec 10.
5
Forefoot Deformity in Rheumatoid Arthritis: A Comparison of Shod and Unshod Populations.类风湿关节炎中的前足畸形:穿鞋与不穿鞋人群的比较
Foot Ankle Spec. 2015 Oct;8(5):378-83. doi: 10.1177/1938640015583513. Epub 2015 May 4.
6
[Hallux varus congenitus].
Z Orthop Ihre Grenzgeb. 1998 Nov-Dec;136(6):542-7. doi: 10.1055/s-2008-1045183.
7
[Tendon transfers in postoperative hallux varus. Apropos of 12 cases].[拇内翻术后的肌腱转移。附12例报告]
Rev Chir Orthop Reparatrice Appar Mot. 2000 Apr;86(2):181-7.
8
Longitudinal bracketed epiphysis of proximal phalanx of the great toe with congenital hallux varus managed simultaneously with monorail external fixator: a case report.采用单轨外固定器同步治疗先天性拇内翻合并拇趾近节趾骨纵向带括号骨骺:1例报告
Foot Ankle Spec. 2014 Feb;7(1):68-70. doi: 10.1177/1938640013502724. Epub 2013 Sep 11.
9
[Split transfer of the extensor hallucis longus tendon in flexible hallux varus deformity].[柔性拇内翻畸形中拇长伸肌腱的分期转移]
Oper Orthop Traumatol. 2008 Sep;20(3):274-82. doi: 10.1007/s00064-008-1309-8.
10
Surgical treatment of congenital hallux varus.先天性拇内翻的手术治疗
Clin Orthop Surg. 2014 Jun;6(2):216-22. doi: 10.4055/cios.2014.6.2.216. Epub 2014 May 16.

引用本文的文献

1
Bilateral congenital hallux varus with metatarsus adductus in a 6-year-old girl: A case report.一名6岁女孩双侧先天性拇内翻伴内收跖骨:病例报告。
World J Clin Cases. 2025 Jul 16;13(20):105327. doi: 10.12998/wjcc.v13.i20.105327.
2
Correcting Severe Relapsed Hallux Varus Using Hexapod Circular External Fixator.使用六足环形外固定器矫正重度复发性拇内翻
J Am Acad Orthop Surg Glob Res Rev. 2024 Dec 4;8(12). doi: 10.5435/JAAOSGlobal-D-24-00064. eCollection 2024 Dec 1.

本文引用的文献

1
Surgical treatment of congenital hallux varus.先天性拇内翻的手术治疗
Clin Orthop Surg. 2014 Jun;6(2):216-22. doi: 10.4055/cios.2014.6.2.216. Epub 2014 May 16.
2
Congenital hallux varus.先天性拇内翻。
Am J Surg. 1958 Feb;95(2):274-8. doi: 10.1016/0002-9610(58)90515-4.
3
Hallux varus.拇内翻
J Bone Joint Surg Br. 1989 May;71(3):437-40. doi: 10.1302/0301-620X.71B3.2722937.
4
Congenital hallux varus: case presentation and review of the literature.先天性拇内翻:病例报告及文献综述
J Foot Surg. 1991 Sep-Oct;30(5):509-12.