Suppr超能文献

大鼠脑中烟碱型乙酰胆碱受体的纯化与特性分析

Purification and characterization of a nicotinic acetylcholine receptor from rat brain.

作者信息

Whiting P, Lindstrom J

出版信息

Proc Natl Acad Sci U S A. 1987 Jan;84(2):595-9. doi: 10.1073/pnas.84.2.595.

Abstract

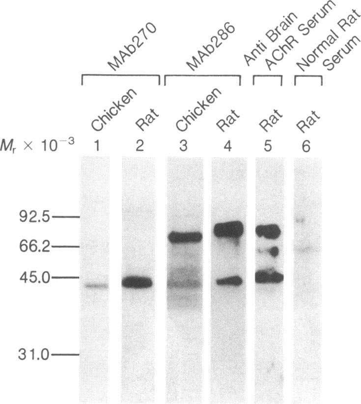
We previously reported the immunoaffinity purification of an acetylcholine receptor from chicken brain that did not bind alpha-bungarotoxin but did bind nicotine and other cholinergic agonists. Antisera and monoclonal antibodies raised against this receptor crossreacted with a receptor from rat brain that had similar pharmacological properties, and also bound to functional acetylcholine receptors in chicken ciliary ganglion cells and rat PC12 cells. Here we report purification of the receptor from rat brain using monoclonal antibody (mAb) 270 raised against receptor from chicken brain. This receptor, similar in size to monomers of receptor from Torpedo electric organ, contained two subunits--apparent Mr, 51,000 and 79,000. The Mr 51,000 subunit was bound by antisera to alpha subunits of receptor from Torpedo electric organ and by mAb 270, which is specific for the Mr 49,000 subunit analogue of receptor from chicken brain. Both subunits were bound by mAb 286, which also binds both subunits of receptors from chicken brain. The alpha-bungarotoxin binding component was purified from the same extracts. It consisted of four subunits of apparent Mr 44,700, 52,300, 56,600, and 65,200. The basic structure of receptors from muscle had evolved to an (alpha)2 beta gamma delta subunit stoichiometry by the time of primitive elasmobranches and is now little changed in mammals. The apparent (alpha)2(beta)2 or (alpha)3(beta)2 structure of the neuronal acetylcholine receptors that we have purified may derive from an early gene duplication event in the evolution of the extended gene family, which now also includes receptors from ganglia and muscle as well as neuronal alpha-bungarotoxin binding sites.

摘要

我们之前报道过从鸡脑中免疫亲和纯化出一种乙酰胆碱受体,该受体不与α-银环蛇毒素结合,但能与尼古丁及其他胆碱能激动剂结合。针对这种受体产生的抗血清和单克隆抗体与大鼠脑中具有相似药理学特性的受体发生交叉反应,并且还能与鸡睫状神经节细胞和大鼠PC12细胞中的功能性乙酰胆碱受体结合。在此,我们报道使用针对鸡脑受体产生的单克隆抗体(mAb)270从大鼠脑中纯化该受体。这种受体的大小与电鳐电器官受体的单体相似,包含两个亚基——表观分子量分别为51,000和79,000。51,000分子量的亚基可被针对电鳐电器官受体α亚基的抗血清以及对鸡脑受体49,000分子量亚基类似物具有特异性的mAb 270所结合。两个亚基都能被mAb 286结合,mAb 286也能结合鸡脑受体的两个亚基。α-银环蛇毒素结合成分从相同提取物中纯化得到。它由表观分子量分别为44,700、52,300、56,600和65,200的四个亚基组成。到原始板鳃亚纲动物出现时,肌肉受体的基本结构已进化为(α)2βγδ亚基化学计量比,如今在哺乳动物中变化不大。我们纯化的神经元乙酰胆碱受体的表观(α)2(β)2或(α)3(β)2结构可能源于扩展基因家族进化过程中的早期基因复制事件,该家族现在还包括神经节和肌肉中的受体以及神经元α-银环蛇毒素结合位点。

https://cdn.ncbi.nlm.nih.gov/pmc/blobs/5f10/304257/a51af90f1280/pnas00267-0285-a.jpg

文献检索

告别复杂PubMed语法,用中文像聊天一样搜索,搜遍4000万医学文献。AI智能推荐,让科研检索更轻松。

立即免费搜索

文件翻译

保留排版,准确专业,支持PDF/Word/PPT等文件格式,支持 12+语言互译。

免费翻译文档

深度研究

AI帮你快速写综述,25分钟生成高质量综述,智能提取关键信息,辅助科研写作。

立即免费体验