Suppr超能文献

酷似晚期卵巢癌的腹膜结核病例报告:腹腔镜作为诊断方式

Peritoneal tuberculosis mimicking advanced ovarian cancer case report: Laparoscopy as diagnostic modality.

作者信息

Purbadi Sigit, Indarti Junita, Winarto Hariyono, Putra Andi Darma, Nuryanto Kartiwa Hadi, Utami Tofan Widya, Sotarduga Gilbert Elia

机构信息

Division of Gynecologic Oncology, Department of Obstetrics and Gynecology, Cipto Mangunkusumo Hospital, Jakarta, Indonesia.

Department of Obstetrics and Gynecology, Cipto Mangunkusumo Hospital, Jakarta, Indonesia.

出版信息

Int J Surg Case Rep. 2021 Nov;88:106495. doi: 10.1016/j.ijscr.2021.106495. Epub 2021 Oct 12.

Abstract

INTRODUCTION AND IMPORTANCE

Peritoneal Tuberculosis is one of extrapulmonary tuberculosis that occurs in 1-2% of patients, its incidence is higher in developing countries. It is very difficult to diagnosed and can mimic advanced ovarian cases. Making an accurate diagnosis is vital, laparoscopy is a great modality for this purpose.

CASE PRESENTATION

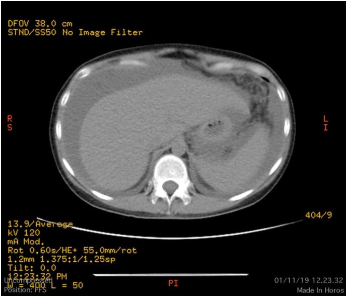
A 36 years-old woman got referred with abdominal distention and weight loss from an internist and digestive surgeon. The abdominal computed tomography said thickening of the stomach wall with ascites. Ultrasound concluded the uterus, ovary, and endometrium within normal. The CA 125 levels elevated to 1200 U/mL and the complete blood count was normal. We were making diagnosis of peritoneal tuberculosis, peritoneal carcinomatosis, and advanced ovarian cancer. We did the diagnostic laparoscopic and taking a biopsy sample, ascites with peritoneal carcinomatosis and omental cake were found, the peritoneal cavity was covered by miliary nodules. Histopathology results concluded peritoneal tuberculosis without malignancy signs. The patient was treated with tuberculosis drugs. The follow-up evaluations show significant clinical improvement.

CLINICAL DISCUSSION

When facing patients with massive ascites and elevated CA 125 without any ovary enlargement, a gynecologist should think that it may be a peritoneal TB case with peritoneal carcinomatosis and advance ovarian cancer possibility as differential diagnosis especially in developing countries. An exact diagnosis can be made using laparoscopy and histopathology examination.

CONCLUSION

Laparoscopy is the best modality to differentiate between peritoneal tuberculosis, peritoneal carcinomatosis, and advance ovarian cancer. The benefits are direct visualization and could take a biopsy for histology examination.

摘要

引言与重要性

腹膜结核是肺外结核之一,发生率为1%-2%,在发展中国家发病率更高。其诊断非常困难,可能类似晚期卵巢疾病。准确诊断至关重要,腹腔镜检查是实现这一目的的重要手段。

病例介绍

一名36岁女性因腹胀和体重减轻被内科医生和消化外科医生转诊。腹部计算机断层扫描显示胃壁增厚并伴有腹水。超声检查显示子宫、卵巢和子宫内膜正常。CA 125水平升至1200 U/mL,全血细胞计数正常。我们考虑诊断为腹膜结核、腹膜癌和晚期卵巢癌。我们进行了诊断性腹腔镜检查并取活检样本,发现有腹膜癌和网膜饼状增厚,腹膜腔布满粟粒样结节。组织病理学结果显示为腹膜结核,无恶性迹象。患者接受了抗结核药物治疗。随访评估显示临床症状有显著改善。

临床讨论

当面对大量腹水且CA 125升高但卵巢无增大的患者时,妇科医生应考虑可能是腹膜结核合并腹膜癌以及晚期卵巢癌,尤其在发展中国家,需将其作为鉴别诊断。通过腹腔镜检查和组织病理学检查可做出准确诊断。

结论

腹腔镜检查是区分腹膜结核、腹膜癌和晚期卵巢癌的最佳方法。其优点是可直接观察并可取活检进行组织学检查。

https://cdn.ncbi.nlm.nih.gov/pmc/blobs/5832/8529498/310cd43a54a6/gr1.jpg

文献检索

告别复杂PubMed语法,用中文像聊天一样搜索,搜遍4000万医学文献。AI智能推荐,让科研检索更轻松。

立即免费搜索

文件翻译

保留排版,准确专业,支持PDF/Word/PPT等文件格式,支持 12+语言互译。

免费翻译文档

深度研究

AI帮你快速写综述,25分钟生成高质量综述,智能提取关键信息,辅助科研写作。

立即免费体验