Suppr超能文献

免疫功能正常患者中表现为腹膜癌病的腹膜结核

Peritoneal Tuberculosis Mimicking Peritoneal Carcinomatosis in an Immunocompetent Patient.

作者信息

Abi El Hessen Tony, Saleem Shahzaib, Hani Riad H, Chadli Fatima Z, Makarem Jawad A

机构信息

Internal Medicine, Dr. Mohamad Amine Zbeib Polyclinic, Doha, QAT.

Respiratory/Internal Medicine, Dr. Mohamad Amine Zbeib Polyclinic, Doha, QAT.

出版信息

Cureus. 2022 Nov 13;14(11):e31464. doi: 10.7759/cureus.31464. eCollection 2022 Nov.

Abstract

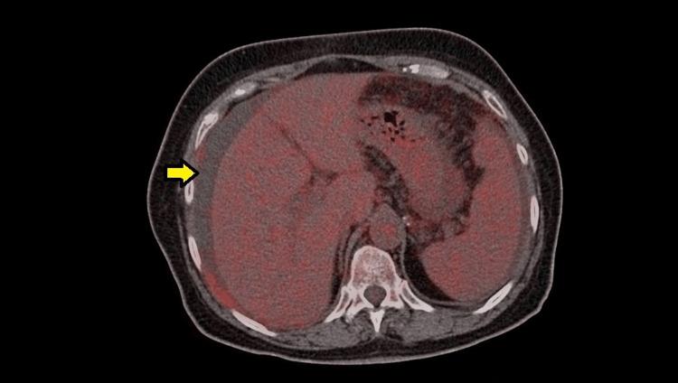
Peritoneal tuberculosis (TB) is a rare disease among the general population that can be seen in patients with associated immunocompromised conditions such as diabetes mellitus, human immunodeficiency virus (HIV)-positive patients, patients with liver cirrhosis, patients on peritoneal dialysis, and patients on treatment with anti-tumor necrosis factor (TNF) agents. Patients who already have active pulmonary TB and who are not treated promptly can develop disseminated disease within the lungs or can affect extrapulmonary organ systems such as the nervous system, gastrointestinal system, or urinary system. It is unusual to see an otherwise healthy person develop peritoneal TB as a first-time diagnosis, without any previous exposure to TB or any immunocompromising condition. The diagnosis of this condition can be tricky as the clinical and radiological manifestations of this disease strongly mimic that of malignancy, such as ovarian cancer or peritoneal carcinomatosis. In the majority of cases, the first impression of malignancy is made while examining the radiological images of the abdomen, and only after obtaining the biopsy results, an unexpected diagnosis of peritoneal TB is established. Hence, it is an interesting and uncommon diagnosis, which should always be kept in mind while managing patients with an apparent gynecological malignancy. Here, we report a case of a 65-year-old female patient who presented with a history of abdominal pain and weight loss. Initial investigation with abdominal ultrasonography revealed ascites with multiple sub-centimeter mesenteric lymphadenopathies. She also had an elevated cancer antigen 125 (CA-125), which further raised suspicion of gynecological malignancy. However, following the investigations, it was found that the actual diagnosis was an unexpected one.

摘要

腹膜结核在普通人群中是一种罕见疾病,可见于患有相关免疫功能低下疾病的患者,如糖尿病患者、人类免疫缺陷病毒(HIV)阳性患者、肝硬化患者、腹膜透析患者以及接受抗肿瘤坏死因子(TNF)药物治疗的患者。已经患有活动性肺结核且未及时治疗的患者,肺部可能会发展为播散性疾病,或者可能影响肺外器官系统,如神经系统、胃肠道系统或泌尿系统。在没有任何既往结核接触史或任何免疫功能低下情况的情况下,一个原本健康的人首次被诊断为腹膜结核是不常见的。这种疾病的诊断可能很棘手,因为其临床和影像学表现与恶性肿瘤(如卵巢癌或腹膜转移癌)极为相似。在大多数情况下,在检查腹部影像学图像时首先会怀疑是恶性肿瘤,只有在获得活检结果后,才会意外确诊为腹膜结核。因此,这是一个有趣且不常见的诊断,在处理疑似妇科恶性肿瘤的患者时应始终牢记。在此,我们报告一例65岁女性患者,她有腹痛和体重减轻的病史。腹部超声初步检查显示有腹水,伴有多个直径小于1厘米的肠系膜淋巴结肿大。她的癌抗原125(CA - 125)也升高,这进一步增加了对妇科恶性肿瘤的怀疑。然而,经过进一步检查,发现实际诊断出人意料。

https://cdn.ncbi.nlm.nih.gov/pmc/blobs/4240/9750246/494affc9aa68/cureus-0014-00000031464-i01.jpg

文献AI研究员

20分钟写一篇综述,助力文献阅读效率提升50倍。

立即体验

用中文搜PubMed

大模型驱动的PubMed中文搜索引擎

马上搜索

文档翻译

学术文献翻译模型,支持多种主流文档格式。

立即体验