Suppr超能文献

禽类宿主大脑中(血孢子虫目,血变科)巨型滋养体的首次报告,兼述家八哥血液寄生虫的巨型滋养体发育过程。

First Report of (Haemosporida, Haemoproteidae) Megalomeronts in the Brain of an Avian Host, with Description of Megalomerogony of , the Blood Parasite of the Common Starling.

作者信息

Duc Mélanie, Ilgūnas Mikas, Kubiliūnaitė Monika, Valkiūnas Gediminas

机构信息

Nature Research Centre, Akademijos 2, 08412 Vilnius, Lithuania.

出版信息

Animals (Basel). 2021 Sep 27;11(10):2824. doi: 10.3390/ani11102824.

Abstract

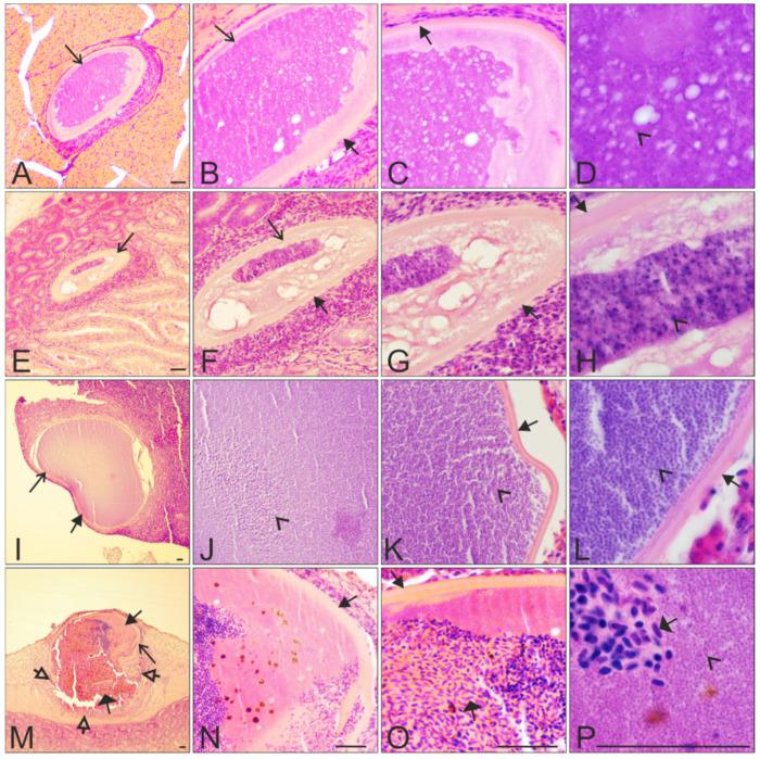
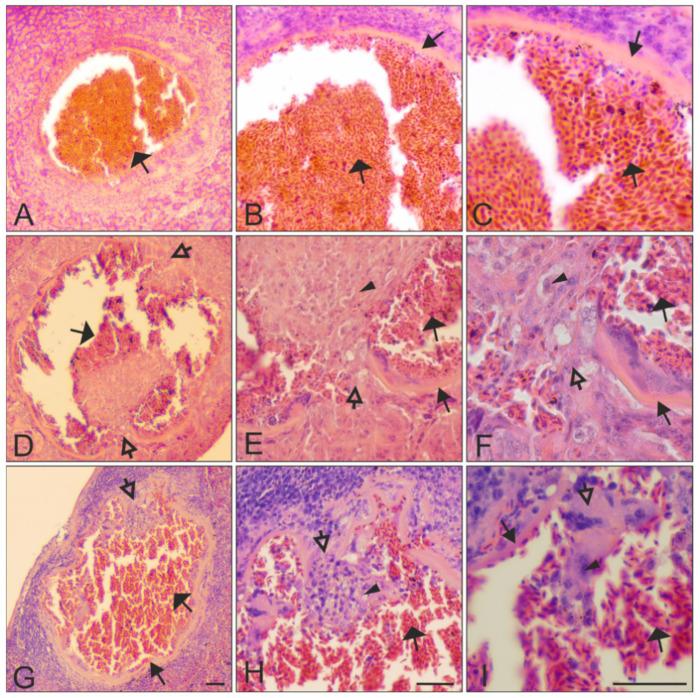
Species of (Haemoproteidae, Haemosporida) are common bird pathogens. Recent molecular studies combined with histopathology research have reported development of megalomeronts of these parasites in various organs, sometimes resulting in the death of the avian host. Five Common starlings () were found naturally infected with lineage hLAMPUR01. The parasite was identified using microscopic examination of blood films and DNA sequences. Infected bird organs were investigated histologically for (i) the presence of exo-erythrocytic stages and (ii) the patterns of development (morphology and localization) in different host individuals. For the first time, megalomeronts of parasites were seen developing in the brain, while numerous others at different stages of maturation were found in the intestine, pancreas, kidneys, lungs, esophagus, spleen, gizzard, and trachea. Megalomeronts were predominantly roundish or oval, up to 800 μm, they were surrounded by a capsular-like wall and developed asynchronously in the same bird individual. After megalomeront maturation and rupture, a massive infiltration of blood cells occurred, indicating the hemorrhagic processes. Review of available data showed that different species produce markedly different megalomeronts, morphology of which can probably be predicted using phylogenetic analysis based on partial sequences of cytochrome gene.

摘要

疟原虫科(血孢子虫目)的物种是常见的鸟类病原体。最近的分子研究与组织病理学研究相结合,报告了这些寄生虫的巨型滋养体在各种器官中的发育情况,有时会导致鸟类宿主死亡。发现5只家八哥自然感染了hLAMPUR01谱系疟原虫。通过对血涂片的显微镜检查和DNA序列鉴定了该寄生虫。对受感染鸟类的器官进行了组织学研究,以确定(i)是否存在红细胞外期,以及(ii)不同宿主个体中的发育模式(形态和定位)。首次在脑中观察到疟原虫的巨型滋养体在发育,而在肠道、胰腺、肾脏、肺、食管、脾脏、砂囊和气管中发现了许多处于不同成熟阶段的其他巨型滋养体。巨型滋养体主要呈圆形或椭圆形,长达800μm,被囊状壁包围,在同一鸟类个体中异步发育。巨型滋养体成熟破裂后,血细胞大量浸润,表明有出血过程。对现有数据的回顾表明,不同的疟原虫物种产生的巨型滋养体明显不同,其形态可能可以通过基于细胞色素b基因部分序列的系统发育分析来预测。

https://cdn.ncbi.nlm.nih.gov/pmc/blobs/ae04/8532782/003d5056e189/animals-11-02824-g001.jpg

文献检索

告别复杂PubMed语法,用中文像聊天一样搜索,搜遍4000万医学文献。AI智能推荐,让科研检索更轻松。

立即免费搜索

文件翻译

保留排版,准确专业,支持PDF/Word/PPT等文件格式,支持 12+语言互译。

免费翻译文档

深度研究

AI帮你快速写综述,25分钟生成高质量综述,智能提取关键信息,辅助科研写作。

立即免费体验