Department of Senior Healthcare, Graduate School, Eulji University, Uijeongbu, South Korea.
Department of Clinical Laboratory Science, Wonkwang Health Science University, Iksan, South Korea.
Front Immunol. 2021 Oct 8;12:646316. doi: 10.3389/fimmu.2021.646316. eCollection 2021.
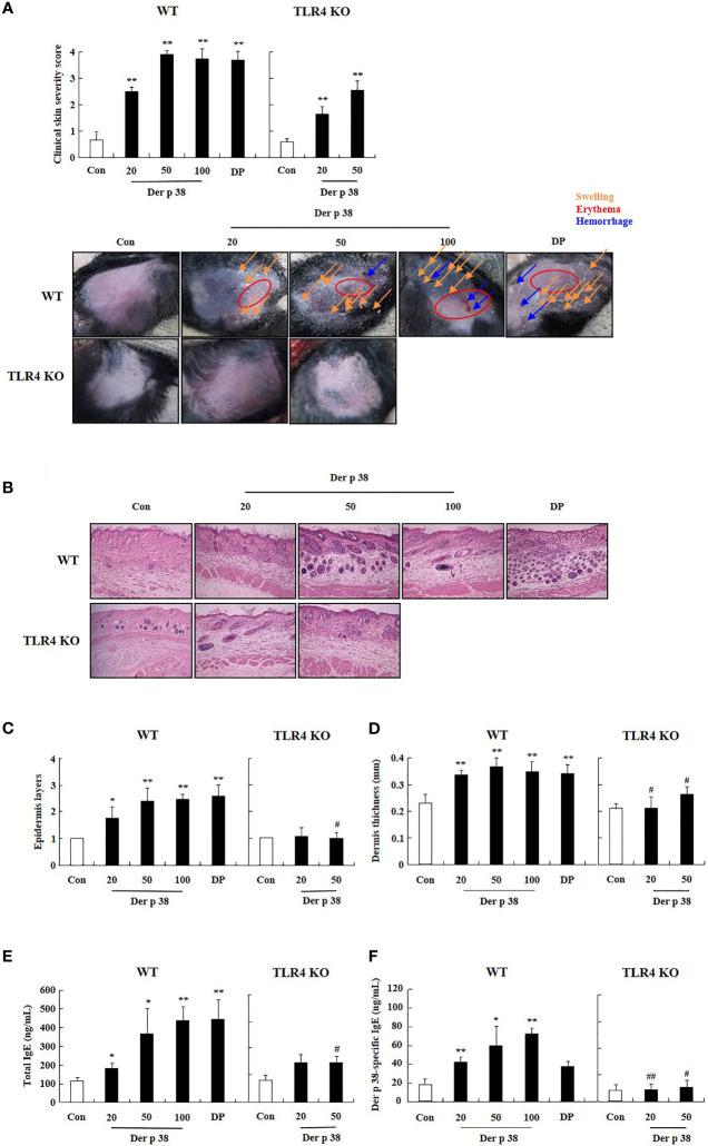
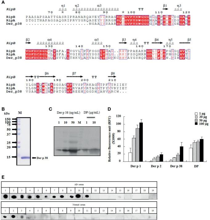
Atopic dermatitis (AD) is a chronic relapsing pruritic disease encompassing skin inflammation and barrier dysfunction. House dust mites are key allergens that augment the development of atopic dermatitis. We aimed to investigate the pathogenic mechanism of AD due to Der p 38, recently identified by us. The frequency of IgE reactivity to Der p 38 in AD subjects was 52.6% (10/19) in the skin prick test and 57.9% (11/19) in the dot blot assay. In human keratinocyte HaCaT cells, Der p 38 triggered the impairment of filaggrin expression and induced pro-inflammatory cytokines such as IL-6, IL-8 and MCP-1 through TLR4, PI3K, AKT, c-Jun N-terminal kinase (JNK) and NF-κB pathway. Supernatants from Der p 38-treated cells blocked filaggrin expression and neutrophil apoptosis. The anti-apoptotic effect of the Der p 38-released molecules on neutrophils was accomplished by inhibition of the caspase 9/3 pathway, and by increased MCL-1 expression and BCL-2/BAX expression ratio. In C57BL/6 wild type (WT) mice, Der p 38 induced a dose-dependent increase of AD-like skin lesions, with enhanced expressions of total and Der p 38-specific IgE. Der p 38 also diminished the expressions of skin barrier proteins and induced JNK activation. However, the AD-like features following cutaneous Der p 38 exposure were observed to be reduced in the TLR4 knockout (KO) group, as compared to the WT group. Skin infiltration of neutrophils, eosinophils and mast cells was increased in the WT mice, but was not portrayed in the TLR4 KO mice. These findings indicate that Der p 38 is a novel mite allergen that triggers AD by lowering skin barrier proteins and increasing inflammatory cells. Results of this study have thereby paved the way to unveil the pathogenic mechanisms of AD.
特应性皮炎(AD)是一种慢性复发性瘙痒性疾病,包括皮肤炎症和屏障功能障碍。尘螨是增强特应性皮炎发展的关键过敏原。我们旨在研究我们最近发现的 Der p 38 导致 AD 的发病机制。在皮肤点刺试验中,AD 受试者对 Der p 38 的 IgE 反应频率为 52.6%(19 例中有 10 例),在斑点印迹试验中为 57.9%(19 例中有 11 例)。在人角质形成细胞 HaCaT 细胞中,Der p 38 触发丝聚合蛋白表达受损,并通过 TLR4、PI3K、AKT、c-Jun N 末端激酶(JNK)和 NF-κB 通路诱导白细胞介素 6(IL-6)、白细胞介素 8(IL-8)和单核细胞趋化蛋白 1(MCP-1)等促炎细胞因子。Der p 38 处理过的细胞上清液阻断丝聚合蛋白表达和中性粒细胞凋亡。Der p 38 释放的分子对中性粒细胞的抗凋亡作用是通过抑制半胱天冬酶 9/3 通路、增加 MCL-1 表达和 BCL-2/BAX 表达比来实现的。在 C57BL/6 野生型(WT)小鼠中,Der p 38 诱导 AD 样皮肤损伤呈剂量依赖性增加,总 IgE 和 Der p 38 特异性 IgE 表达增强。Der p 38 还降低了皮肤屏障蛋白的表达并诱导了 JNK 激活。然而,与 WT 组相比,TLR4 敲除(KO)组的 Der p 38 暴露后 AD 样特征减少。WT 小鼠的中性粒细胞、嗜酸性粒细胞和肥大细胞浸润增加,但 TLR4 KO 小鼠未显示。这些发现表明 Der p 38 是一种新型螨过敏原,通过降低皮肤屏障蛋白和增加炎症细胞触发 AD。本研究的结果为揭示 AD 的发病机制铺平了道路。