Suppr超能文献

使用CRISPR/Cas9破坏剪接调节元件以拯救人类诱导多能干细胞和小鼠中的脊髓性肌萎缩症。

Disruption of splicing-regulatory elements using CRISPR/Cas9 to rescue spinal muscular atrophy in human iPSCs and mice.

作者信息

Li Jin-Jing, Lin Xiang, Tang Cheng, Lu Ying-Qian, Hu Xinde, Zuo Erwei, Li He, Ying Wenqin, Sun Yidi, Lai Lu-Lu, Chen Hai-Zhu, Guo Xin-Xin, Zhang Qi-Jie, Wu Shuang, Zhou Changyang, Shen Xiaowen, Wang Qifang, Lin Min-Ting, Ma Li-Xiang, Wang Ning, Krainer Adrian R, Shi Linyu, Yang Hui, Chen Wan-Jin

机构信息

Department of Neurology and Institute of Neurology, The First Affiliated Hospital of Fujian Medical University, Fuzhou 350005, China.

Fujian Key Laboratory of Molecular Neurology, Fujian Medical University, Fuzhou 350005, China.

出版信息

Natl Sci Rev. 2019 Sep 3;7(1):92-101. doi: 10.1093/nsr/nwz131. eCollection 2020 Jan.

Abstract

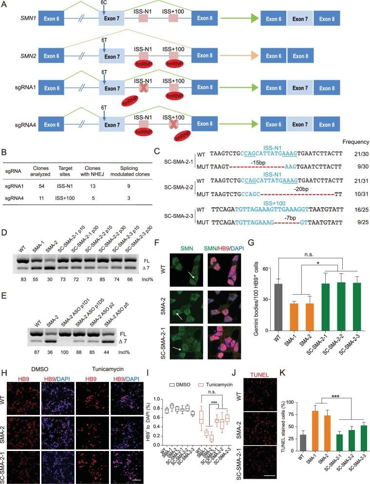
We here report a genome-editing strategy to correct spinal muscular atrophy (SMA). Rather than directly targeting the pathogenic exonic mutations, our strategy employed Cas9 and guide-sgRNA for the targeted disruption of intronic splicing-regulatory elements. We disrupted intronic splicing silencers (ISSs, including ISS-N1 and ISS + 100) of survival motor neuron (SMN) 2, a key modifier gene of SMA, to enhance exon 7 inclusion and full-length SMN expression in SMA iPSCs. Survival of splicing-corrected iPSC-derived motor neurons was rescued with SMN restoration. Furthermore, co-injection of Cas9 mRNA from (SpCas9) or Cas9 from (SaCas9) alongside their corresponding sgRNAs targeting ISS-N1 into zygotes rescued 56% and 100% of severe SMA transgenic mice ( , ). The median survival of the resulting mice was extended to >400 days. Collectively, our study provides proof-of-principle for a new strategy to therapeutically intervene in SMA and other RNA-splicing-related diseases.

摘要

我们在此报告一种用于纠正脊髓性肌萎缩症(SMA)的基因组编辑策略。我们的策略并非直接靶向致病性外显子突变,而是利用Cas9和引导性sgRNA靶向破坏内含子剪接调控元件。我们破坏了生存运动神经元(SMN)2的内含子剪接沉默子(ISSs,包括ISS-N1和ISS + 100),SMN 2是SMA的关键修饰基因,以增强SMA诱导多能干细胞(iPSCs)中外显子7的包含和全长SMN的表达。剪接校正的iPSC衍生运动神经元的存活通过SMN恢复得以挽救。此外,将来自(SpCas9)的Cas9 mRNA或来自(SaCas9)的Cas9与其靶向ISS-N1的相应sgRNA共同注射到受精卵中,挽救了56%和100%的严重SMA转基因小鼠(,)。所得小鼠的中位生存期延长至>400天。总体而言,我们的研究为治疗性干预SMA和其他RNA剪接相关疾病的新策略提供了原理证明。

https://cdn.ncbi.nlm.nih.gov/pmc/blobs/c8c9/8446915/b28bb8eb2a1f/nwz131fig1.jpg

文献AI研究员

20分钟写一篇综述,助力文献阅读效率提升50倍。

立即体验

用中文搜PubMed

大模型驱动的PubMed中文搜索引擎

马上搜索

文档翻译

学术文献翻译模型,支持多种主流文档格式。

立即体验