Suppr超能文献

一名患有无张力膀胱和肾积水患者的红细胞增多症

Polycythemia in a Patient With Atonic Bladder and Hydronephrosis.

作者信息

Katiyar Vatsala, Aijaz Talha, Lingamaneni Prasanth, Vohra Ishaan, Cisak Kamila

机构信息

Division of Medical Oncology and Hematology, Department of Internal Medicine, James Graham Brown Cancer Center, University of Louisville School of Medicine, Louisville, USA.

Department of Internal Medicine, John H. Stroger, Jr. Hospital of Cook County, Chicago, USA.

出版信息

Cureus. 2021 Sep 19;13(9):e18094. doi: 10.7759/cureus.18094. eCollection 2021 Sep.

Abstract

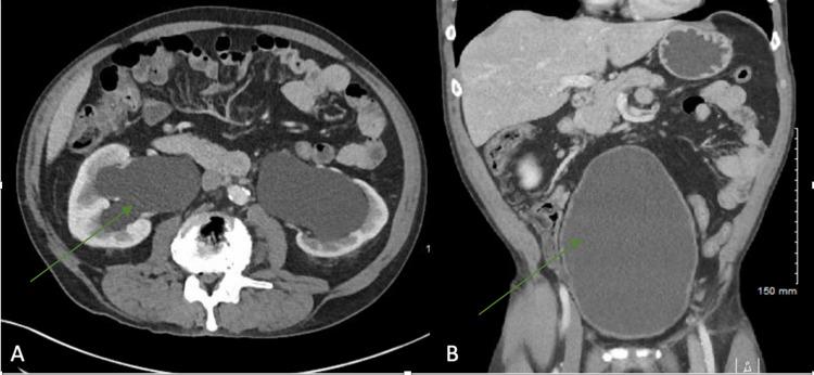
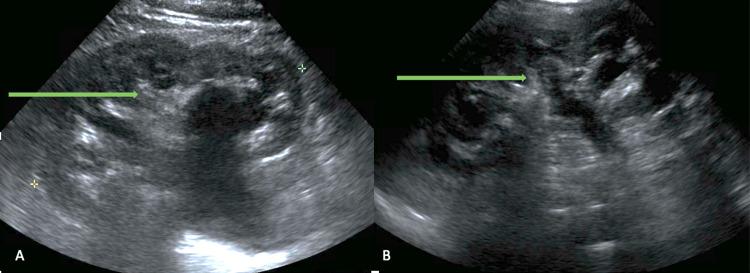
Kidneys influence the production of red blood cells by secreting most of the erythropoietin (EPO) in adults. Consequently, renal diseases often impact erythropoiesis and hemoglobin levels. Chronic kidney diseases lead to anemia due to EPO deficiency. However, erythrocytosis can occur in patients with cystic diseases of the kidney and renal artery stenosis due to upregulation of hypoxia-inducible factors (HIFs) and increased EPO production. Here, we present a patient with secondary polycythemia who was found to have atonic bladder and hydronephrosis. Resolution of hydronephrosis led to the reversal of erythrocytosis, highlighting the intricate regulation of red cell production.

摘要

在成年人中,肾脏通过分泌大部分促红细胞生成素(EPO)来影响红细胞的生成。因此,肾脏疾病常常会影响红细胞生成和血红蛋白水平。慢性肾脏疾病会因EPO缺乏导致贫血。然而,由于缺氧诱导因子(HIFs)上调和EPO生成增加,患有肾囊性疾病和肾动脉狭窄的患者可能会出现红细胞增多症。在此,我们报告一名患有继发性红细胞增多症的患者,该患者被发现存在无张力膀胱和肾积水。肾积水的缓解导致红细胞增多症的逆转,突出了红细胞生成的复杂调节机制。

https://cdn.ncbi.nlm.nih.gov/pmc/blobs/6992/8525674/72dee439572a/cureus-0013-00000018094-i01.jpg

文献AI研究员

20分钟写一篇综述,助力文献阅读效率提升50倍。

立即体验

用中文搜PubMed

大模型驱动的PubMed中文搜索引擎

马上搜索

文档翻译

学术文献翻译模型,支持多种主流文档格式。

立即体验