Suppr超能文献

皮肤淋巴管瘤病中皮肤镜检查及CD31表达的诊断价值

Diagnostic Values of Dermatoscopy and CD31 Expression in Cutaneous Lymphangioma Circumscriptum.

作者信息

Lu Lixia, Yan Siyu, Chen Mingliang, Huang Xiaoyan, Su Juan

机构信息

Department of Dermatology, Xiangya Hospital, Central South University, Changsha, China.

Hunan Key Laboratory of Skin Cancer and Psoriasis, Central South University, Changsha, China.

出版信息

Front Med (Lausanne). 2021 Oct 8;8:738815. doi: 10.3389/fmed.2021.738815. eCollection 2021.

Abstract

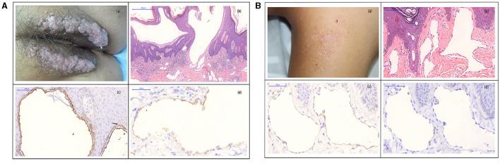
Cutaneous lymphangioma circumscriptum is characterized by clusters of deep-seated, vesicle-like papules. Cutaneous lymphangioma circumscriptum (CLC) is not a tumor but rather a congenital malformation of superficial lymphatics. The study aimed to describe the dermoscopic features of CLC and investigate the reason why marked blood components in CLC. Moreover, this study sought to increase awareness of the clinical characteristics of CLC and provide insights into CLC diagnosis. A representative sample of patients with CLC with demographic information and pathological and dermoscopical results was analyzed. The immunohistochemistry of lymphangioma specimens with CD31 and D2-40 was performed. The clinical manifestations of CLC, demographic information, and the results of immunohistochemistry were statistically analyzed to validate the correlation. Besides the pattern of frog spawn-like blisters, lymphangioma also presented as either transparent or pigmented with dark-red to whitish/yellowish shades. Moreover, lymphangioma manifested as a pattern of dermatofibroma. Furthermore, CD31 was detected in the flattened endothelium and only present in dilated spaces containing enough blood or lymph components. This study is limited by its retrospective nature and statistical power. Dermoscopy is useful for the diagnosis of CLC. CD31 positive staining and cystic-dilated spaces showed flattened inner and outer endothelia are the diagnostic features in hypopyon-like shape and blisters resembling frog spawn patterns in CLC. These features can assist in the diagnosis of CLC.

摘要

局限性皮肤淋巴管瘤的特征是成簇的深部囊泡样丘疹。局限性皮肤淋巴管瘤(CLC)并非肿瘤,而是一种浅表淋巴管的先天性畸形。该研究旨在描述CLC的皮肤镜特征,并探究CLC中出现明显血液成分的原因。此外,本研究试图提高对CLC临床特征的认识,并为CLC的诊断提供见解。分析了具有人口统计学信息以及病理和皮肤镜检查结果的CLC患者的代表性样本。对淋巴管瘤标本进行了CD31和D2-40免疫组织化学检测。对CLC的临床表现、人口统计学信息和免疫组织化学结果进行了统计分析,以验证相关性。除了蛙卵样水疱的形态外,淋巴管瘤还表现为透明或有色素沉着,颜色从暗红色到白色/淡黄色。此外,淋巴管瘤表现为皮肤纤维瘤样形态。此外,CD31在扁平内皮中检测到,仅存在于含有足够血液或淋巴成分的扩张间隙中。本研究受其回顾性性质和统计效力的限制。皮肤镜检查对CLC的诊断有用。CD31阳性染色以及囊状扩张间隙显示扁平的内外内皮是CLC中积脓样形态和类似蛙卵样水疱形态的诊断特征。这些特征有助于CLC的诊断。

https://cdn.ncbi.nlm.nih.gov/pmc/blobs/7486/8533675/fab10a2cbc6b/fmed-08-738815-g0001.jpg

文献AI研究员

20分钟写一篇综述,助力文献阅读效率提升50倍。

立即体验

用中文搜PubMed

大模型驱动的PubMed中文搜索引擎

马上搜索

文档翻译

学术文献翻译模型,支持多种主流文档格式。

立即体验