• 文献检索
  • 文档翻译
  • 深度研究
  • 学术资讯
  • Suppr Zotero 插件Zotero 插件
  • 邀请有礼
  • 套餐&价格
  • 历史记录
应用&插件
Suppr Zotero 插件Zotero 插件浏览器插件Mac 客户端Windows 客户端微信小程序
定价
高级版会员购买积分包购买API积分包
服务
文献检索文档翻译深度研究API 文档MCP 服务
关于我们
关于 Suppr公司介绍联系我们用户协议隐私条款
关注我们

Suppr 超能文献

核心技术专利:CN118964589B侵权必究
粤ICP备2023148730 号-1Suppr @ 2026

文献检索

告别复杂PubMed语法,用中文像聊天一样搜索,搜遍4000万医学文献。AI智能推荐,让科研检索更轻松。

立即免费搜索

文件翻译

保留排版,准确专业,支持PDF/Word/PPT等文件格式,支持 12+语言互译。

免费翻译文档

深度研究

AI帮你快速写综述,25分钟生成高质量综述,智能提取关键信息,辅助科研写作。

立即免费体验

使用圈套导管从二尖瓣瓣下装置取出被困的导管安装式轴流泵

Retrieval of Entrapped Catheter-Mounted Axial Flow Pump From Mitral Subvalvular Apparatus Using a Snare Catheter.

作者信息

Elsherif Ahmed, Nadir Adnan, Ludman Peter F, Khan Sohail Q

机构信息

Department of Interventional Cardiology, Queen Elizabeth Hospital, University Hospitals Birmingham NHS Foundation Trust, Birmingham, United Kingdom.

Cardiology Department, Faculty of Medicine, Suez Canal University Hospital, Egypt.

出版信息

JACC Case Rep. 2021 Oct 6;3(13):1494-1498. doi: 10.1016/j.jaccas.2021.06.041.

DOI:10.1016/j.jaccas.2021.06.041
PMID:34693349
原文链接:https://pmc.ncbi.nlm.nih.gov/articles/PMC8511436/
Abstract

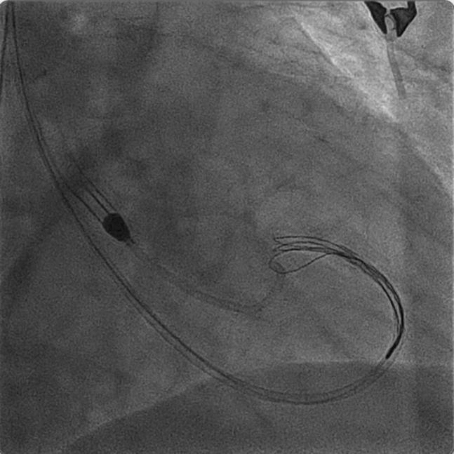
Axial-flow ventricular assist devices are being increasingly used to support hemodynamically compromised patients undergoing percutaneous coronary intervention. Periprocedural valvular complications have been recognized in a few case reports. We present a unique case of entanglement of the Impella within he mitral subvalvular apparatus, retrieved successfully using a snare under fluoroscopic guidance. ().

摘要

轴流式心室辅助装置越来越多地用于支持接受经皮冠状动脉介入治疗的血流动力学不稳定患者。少数病例报告中已认识到围手术期瓣膜并发症。我们报告了一例独特的病例,即Impella装置缠绕在二尖瓣瓣下结构内,在透视引导下使用圈套器成功取出。()

https://cdn.ncbi.nlm.nih.gov/pmc/blobs/8112/8511436/71c3066b5d8d/gr5.jpg
https://cdn.ncbi.nlm.nih.gov/pmc/blobs/8112/8511436/809f833607fd/fx1.jpg
https://cdn.ncbi.nlm.nih.gov/pmc/blobs/8112/8511436/67580bc61c74/gr1.jpg
https://cdn.ncbi.nlm.nih.gov/pmc/blobs/8112/8511436/56504f24a9fc/gr2.jpg
https://cdn.ncbi.nlm.nih.gov/pmc/blobs/8112/8511436/ee27eedc1668/gr3.jpg
https://cdn.ncbi.nlm.nih.gov/pmc/blobs/8112/8511436/c172b5a07cca/gr4.jpg
https://cdn.ncbi.nlm.nih.gov/pmc/blobs/8112/8511436/71c3066b5d8d/gr5.jpg
https://cdn.ncbi.nlm.nih.gov/pmc/blobs/8112/8511436/809f833607fd/fx1.jpg
https://cdn.ncbi.nlm.nih.gov/pmc/blobs/8112/8511436/67580bc61c74/gr1.jpg
https://cdn.ncbi.nlm.nih.gov/pmc/blobs/8112/8511436/56504f24a9fc/gr2.jpg
https://cdn.ncbi.nlm.nih.gov/pmc/blobs/8112/8511436/ee27eedc1668/gr3.jpg
https://cdn.ncbi.nlm.nih.gov/pmc/blobs/8112/8511436/c172b5a07cca/gr4.jpg
https://cdn.ncbi.nlm.nih.gov/pmc/blobs/8112/8511436/71c3066b5d8d/gr5.jpg

相似文献

1
Retrieval of Entrapped Catheter-Mounted Axial Flow Pump From Mitral Subvalvular Apparatus Using a Snare Catheter.使用圈套导管从二尖瓣瓣下装置取出被困的导管安装式轴流泵
JACC Case Rep. 2021 Oct 6;3(13):1494-1498. doi: 10.1016/j.jaccas.2021.06.041.
2
Initial experience with the Impella Recover LP 2.5 micro-axial pump in patients undergoing high-risk coronary angioplasty.Impella Recover LP 2.5微轴流泵在高危冠状动脉血管成形术患者中的初步应用经验。
Hellenic J Cardiol. 2008 Nov-Dec;49(6):382-7.
3
Feasibility and efficacy of the 2.5 L and 3.8 L impella percutaneous left ventricular support device during high-risk, percutaneous coronary intervention in patients with severe aortic stenosis.2.5升和3.8升Impella经皮左心室支持装置在重度主动脉瓣狭窄患者高危经皮冠状动脉介入治疗中的可行性和疗效。
Catheter Cardiovasc Interv. 2015 May;85(6):981-9. doi: 10.1002/ccd.25355. Epub 2014 Jan 31.
4
Percutaneous Coronary Intervention Under Cover of Left Ventricular Assist Device (Impella 2.5).在左心室辅助装置(Impella 2.5)支持下的经皮冠状动脉介入治疗
J Coll Physicians Surg Pak. 2015 Oct;25 Suppl 2:S78-80. doi: 10.2015/JCPSP.S78S80.
5
Catheter ablation of hemodynamically unstable ventricular tachycardia with mechanical circulatory support.使用机械循环支持对血流动力学不稳定的室性心动过速进行导管消融。
Int J Cardiol. 2013 Oct 9;168(4):3859-65. doi: 10.1016/j.ijcard.2013.06.035. Epub 2013 Jul 15.
6
A prospective feasibility trial investigating the use of the Impella 2.5 system in patients undergoing high-risk percutaneous coronary intervention (The PROTECT I Trial): initial U.S. experience.一项前瞻性可行性研究,调查在接受高危经皮冠状动脉介入治疗(PROTECT I 试验)的患者中使用 Impella 2.5 系统的情况:美国初步经验。
JACC Cardiovasc Interv. 2009 Feb;2(2):91-6. doi: 10.1016/j.jcin.2008.11.005.
7
Device fracture as a potential complication of a left ventricular microaxial pump catheter: a case report.作为左心室微轴泵导管潜在并发症的装置断裂:一例报告。
Eur Heart J Case Rep. 2022 Aug 16;6(8):ytac335. doi: 10.1093/ehjcr/ytac335. eCollection 2022 Aug.
8
The comparative value of transesophageal and transthoracic echocardiography before and after percutaneous mitral balloon valvotomy: a prospective study.经皮二尖瓣球囊成形术前后经食管和经胸超声心动图的比较价值:一项前瞻性研究。
Am Heart J. 1993 Apr;125(4):1094-105. doi: 10.1016/0002-8703(93)90119-t.
9
Maintenance of valvular integrity with Impella left heart support: Results from the multicenter PROTECT II randomized study.Impella 左心辅助维持瓣膜完整性:多中心 PROTECT II 随机研究结果。
Catheter Cardiovasc Interv. 2018 Oct 1;92(4):813-817. doi: 10.1002/ccd.27242. Epub 2017 Oct 8.
10
[Coronary artery bypass grafting surgery in left ventricular dysfunction patients complicated with mitral regurgitation].左心室功能不全合并二尖瓣反流患者的冠状动脉旁路移植手术
Zhonghua Yi Xue Za Zhi. 2020 May 12;100(18):1376-1379. doi: 10.3760/cma.j.cn112137-20191217-02756.

引用本文的文献

1
Tissue Plasminogen Activator to Resolve Elevated Purge System Pressure in a Catheter-Based Ventricular Assist Device.组织型纤溶酶原激活剂用于解决基于导管的心室辅助装置中升高的清除系统压力。
JACC Case Rep. 2025 Jul 9;30(18):103890. doi: 10.1016/j.jaccas.2025.103890.
2
Device fracture as a potential complication of a left ventricular microaxial pump catheter: a case report.作为左心室微轴泵导管潜在并发症的装置断裂:一例报告。
Eur Heart J Case Rep. 2022 Aug 16;6(8):ytac335. doi: 10.1093/ehjcr/ytac335. eCollection 2022 Aug.

本文引用的文献

1
MitraClip Treatment for Severe Mitral Regurgitation Due to Chordae Rupture Following Impella CP Support in a Patient With Severe Aortic Stenosis.经 Impella CP 支持治疗后的主动脉瓣重度狭窄患者,因腱索断裂导致重度二尖瓣反流而采用 MitraClip 治疗。
Cardiovasc Revasc Med. 2021 Jul;28S:118-120. doi: 10.1016/j.carrev.2020.08.027. Epub 2020 Aug 15.
2
Short-term mechanical circulatory support (intra-aortic balloon pump, Impella, extracorporeal membrane oxygenation, TandemHeart): a review.短期机械循环支持(主动脉内球囊反搏、Impella、体外膜肺氧合、TandemHeart):综述
Ann Transl Med. 2020 Jul;8(13):829. doi: 10.21037/atm-20-2171.
3
Entrapment of the Impella heart pump in the mitral subvalvular apparatus.
Impella心脏泵陷入二尖瓣瓣下结构。
EuroIntervention. 2021 Feb 5;16(15):e1262-e1263. doi: 10.4244/EIJ-D-19-00942.
4
The Effect of Impella CP on Cardiopulmonary Physiology During Venoarterial Extracorporeal Membrane Oxygenation Support.Impella CP对静脉-动脉体外膜肺氧合支持期间心肺生理的影响。
Artif Organs. 2017 Dec;41(12):1109-1112. doi: 10.1111/aor.12923. Epub 2017 Jun 7.
5
Snare-Facilitated Retrieval of Entangled Impella Device.圈套器辅助取出纠缠的Impella装置。
J Interv Cardiol. 2016 Jun;29(3):332-3. doi: 10.1111/joic.12275. Epub 2016 Feb 3.