Suppr超能文献

内镜黏膜下剥离术整块切除原发性大食管黏膜相关淋巴组织淋巴瘤:一例报告

En Bloc Resection of Primary Large Esophageal Mucosa-Associated Lymphoid Tissue Lymphoma by Endoscopic Submucosal Dissection: A Case Report.

作者信息

Xia Yujia, Wang Yu, Han Jian, Liu Mei

机构信息

Department of Gastroenterology, Tongji Hospital, Tongji Medical College, Huazhong University of Science and Technology, Wuhan, China.

Institute of Pathology, Tongji Hospital, Tongji Medical College, Huazhong University of Science and Technology, Wuhan, China.

出版信息

Front Med (Lausanne). 2021 Oct 13;8:757485. doi: 10.3389/fmed.2021.757485. eCollection 2021.

Abstract

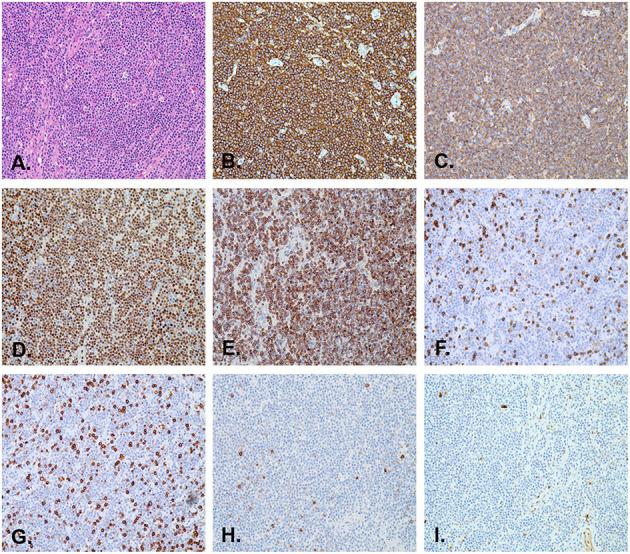
Treatment of mucosa-associated lymphoid tissue (MALT) lymphoma has recently received considerable attention. Here, we report a case of large esophageal MALT lymphoma that was successfully en bloc resected using endoscopic submucosal dissection (ESD). A 77-year-old woman was admitted to our hospital with progressive dysphagia for more than 2 months. Upper gastrointestinal endoscopy revealed a large rounded submucosal mass covered by normal mucosa, located at the lower esophagus. Endoscopic ultrasonography (EUS) showed a well-demarcated hypoechoic mass chiefly located in the esophageal wall, but the layers of the esophageal wall were not clear. ESD was performed for diagnostic and treatment purposes. No complications occurred during or after ESD. The resected specimen measured 4.3 cm × 2.8 cm × 1.5 cm. The histologic findings were diagnostic of esophageal MALT lymphoma. Infiltration of neoplastic cells in the lateral margins of the resected specimen was not observed. However, vertical margins showed an R1 situation and mild damage to the muscularis propria. After 3 months, her dysphagia disappeared. Additional radiation therapy was then administered. After 5 months, the patient was still under surveillance and free of recurrent disease. Resection with ESD of such a large mass of MALT in the esophageal region has rarely been reported before in the literature.

摘要

黏膜相关淋巴组织(MALT)淋巴瘤的治疗近来受到了广泛关注。在此,我们报告一例通过内镜黏膜下剥离术(ESD)成功整块切除的巨大食管MALT淋巴瘤病例。一名77岁女性因进行性吞咽困难2个多月入院。上消化道内镜检查发现食管下段有一个被正常黏膜覆盖的巨大圆形黏膜下肿物。内镜超声检查(EUS)显示一个边界清晰的低回声肿物,主要位于食管壁,但食管壁各层不清晰。为明确诊断并进行治疗,实施了ESD。ESD术中及术后均未发生并发症。切除标本大小为4.3 cm×2.8 cm×1.5 cm。组织学检查结果确诊为食管MALT淋巴瘤。切除标本的侧切缘未见肿瘤细胞浸润。然而,垂直切缘显示为R1情况,固有肌层有轻度损伤。3个月后,她的吞咽困难消失。随后给予了额外的放射治疗。5个月后,患者仍在接受监测,未出现复发疾病。文献中此前很少报道通过ESD切除食管区域如此巨大的MALT肿物。

https://cdn.ncbi.nlm.nih.gov/pmc/blobs/4eec/8548363/4042abceda9b/fmed-08-757485-g0001.jpg

文献AI研究员

20分钟写一篇综述,助力文献阅读效率提升50倍。

立即体验

用中文搜PubMed

大模型驱动的PubMed中文搜索引擎

马上搜索

文档翻译

学术文献翻译模型,支持多种主流文档格式。

立即体验