Suppr超能文献

颅面部纤维发育不良与脑血管疾病并存:22例病例系列及文献复习

Co-existing of craniofacial fibrous dysplasia and cerebrovascular diseases: a series of 22 cases and review of the literature.

作者信息

Song Xiaowen, Li Zhi

机构信息

Department of Neurosurgery, Beijing Tiantan Hospital, Capital Medical University, No 119, Nansihuan xilu, Beijing, 100070, China.

China National Research Center for Neurological Disease, Beijing, China.

出版信息

Orphanet J Rare Dis. 2021 Nov 4;16(1):471. doi: 10.1186/s13023-021-02102-x.

Abstract

BACKGROUND

Craniofacial fibrous dysplasia is a fairly rare condition. Some literature have reported a few patients with craniofacial fibrous dysplasia suffering from vascular abnormalities. This study aimed to describe the possible coexistence of craniofacial fibrous dysplasia and cerebrovascular diseases for the first time.

METHOD

We retrospectively reviewed the 1175 patients with craniofacial fibrous dysplasia in Beijing Tiantan Hospital and the information of the 22 patients coexisted with cerebrovascular diseases were described. In addition, we performed a systematic review for cases of craniofacial fibrous dysplasia with vascular abnormalities.

RESULT

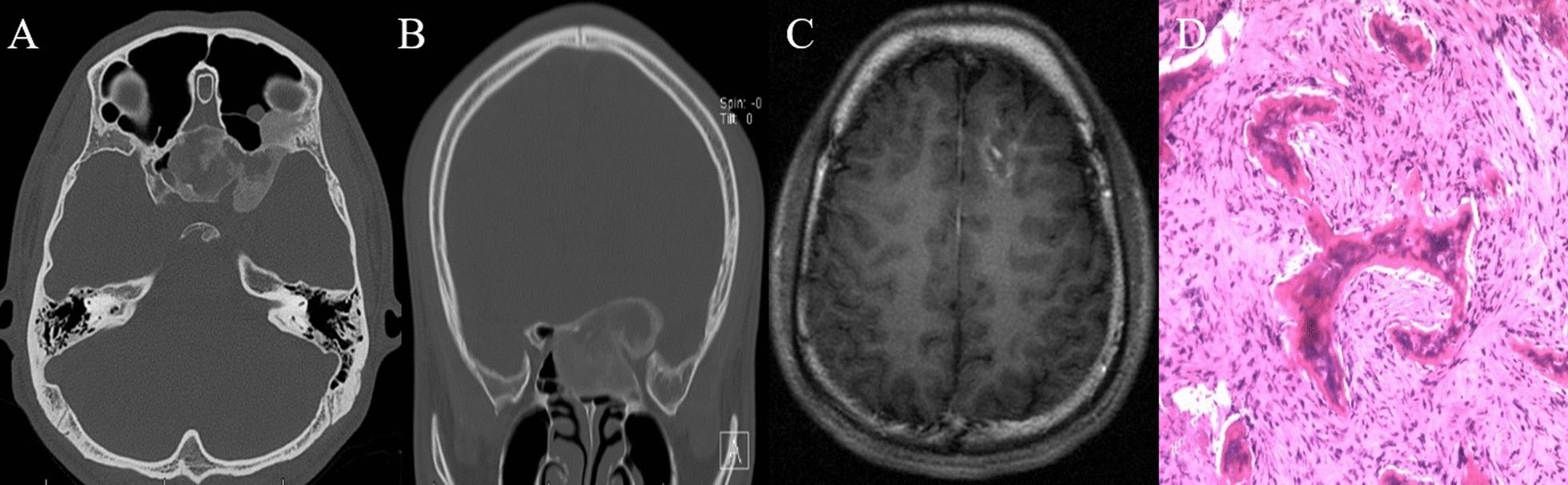
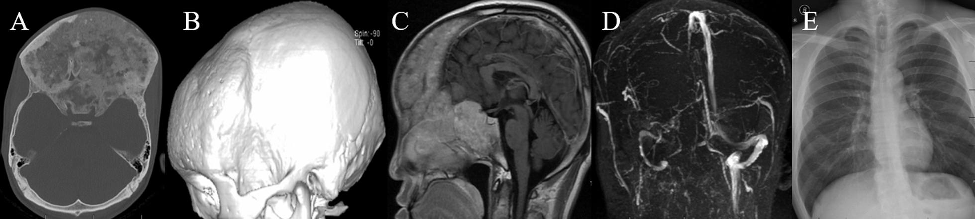
22 out of 1175 patients (1.9%) were diagnosed with craniofacial fibrous dysplasia and cerebrovascular diseases including 9 intracranial aneurysms, 4 venous malformations, 2 arteriovenous malformations, 1 moyamoya disease, 2 intracranial venous stenosis and 4 cerebral ischemia with a mean age of 38.18 years old. Only 2 patients were managed surgically for craniofacial fibrous dysplasia and 6 patients were treated with neurosurgery for cerebrovascular diseases. 8 patients were closely followed and only 1 patient's symptoms worsened.

CONCLUSION

Craniofacial fibrous dysplasia might cause constriction of the intracranial vessels and alteration of the overall hemodynamics of the intracranial vasculature resulting in various cerebrovascular diseases. Multimodal screening and examinations seems reasonable for patients with craniofacial fibrous dysplasia for throughout treatment and prognosis evaluations.

摘要

背景

颅面骨纤维发育不良是一种相当罕见的疾病。一些文献报道了少数患有颅面骨纤维发育不良的患者伴有血管异常。本研究旨在首次描述颅面骨纤维发育不良与脑血管疾病可能并存的情况。

方法

我们回顾性分析了北京天坛医院1175例颅面骨纤维发育不良患者的资料,并描述了其中22例合并脑血管疾病患者的情况。此外,我们对颅面骨纤维发育不良合并血管异常的病例进行了系统综述。

结果

1175例患者中有22例(1.9%)被诊断为颅面骨纤维发育不良合并脑血管疾病,包括9例颅内动脉瘤、4例静脉畸形、2例动静脉畸形、1例烟雾病、2例颅内静脉狭窄和4例脑缺血,平均年龄为38.18岁。仅2例患者因颅面骨纤维发育不良接受了手术治疗,6例患者因脑血管疾病接受了神经外科治疗。8例患者进行了密切随访,只有1例患者症状加重。

结论

颅面骨纤维发育不良可能导致颅内血管狭窄和颅内血管整体血流动力学改变,从而引发各种脑血管疾病。对于颅面骨纤维发育不良患者,在整个治疗和预后评估过程中进行多模式筛查和检查似乎是合理的。

https://cdn.ncbi.nlm.nih.gov/pmc/blobs/e0e4/8567608/8c8be8a8ef46/13023_2021_2102_Fig1_HTML.jpg

文献检索

告别复杂PubMed语法,用中文像聊天一样搜索,搜遍4000万医学文献。AI智能推荐,让科研检索更轻松。

立即免费搜索

文件翻译

保留排版,准确专业,支持PDF/Word/PPT等文件格式,支持 12+语言互译。

免费翻译文档

深度研究

AI帮你快速写综述,25分钟生成高质量综述,智能提取关键信息,辅助科研写作。

立即免费体验