Suppr超能文献

低剂量γ辐射和硫辛酸对高辐射剂量诱导的大鼠脑损伤的影响。

Effect of Low-Dose Gamma Radiation and Lipoic Acid on High- Radiation-Dose Induced Rat Brain Injuries.

作者信息

Abdel-Aziz Nahed, Elkady Ahmed A, Elgazzar Eman M

机构信息

Radiation Biology Research Department, National Centre for Radiation Research and Technology (NCRRT), Egyptian Atomic Energy Authority (EAEA), Cairo, Egypt.

Ahmed A. Elkady: Health Radiation Research Department, National Centre for Radiation Research and Technology (NCRRT), Egyptian Atomic Energy Authority (EAEA), Cairo, Egypt.

出版信息

Dose Response. 2021 Nov 5;19(4):15593258211044845. doi: 10.1177/15593258211044845. eCollection 2021 Oct-Dec.

Abstract

AIM

This work aims to investigate the possible radio-adaptive mechanisms induced by low-dose (LD) whole-body γ-irradiation alone or combined with alpha-lipoic acid (ALA) administration in modulating high-dose (HD) head irradiation-induced brain injury in rats.

MATERIALS AND METHODS

Rats were irradiated with LD (.25 Gy) 24 hours prior HD (20 Gy), and subjected to ALA (100 mg/kg/day) 5 minutes after HD and continued for 10 days. At the end of the experiment, animals were sacrificed and brain samples were dissected for biochemical and histopathological examinations.

RESULTS

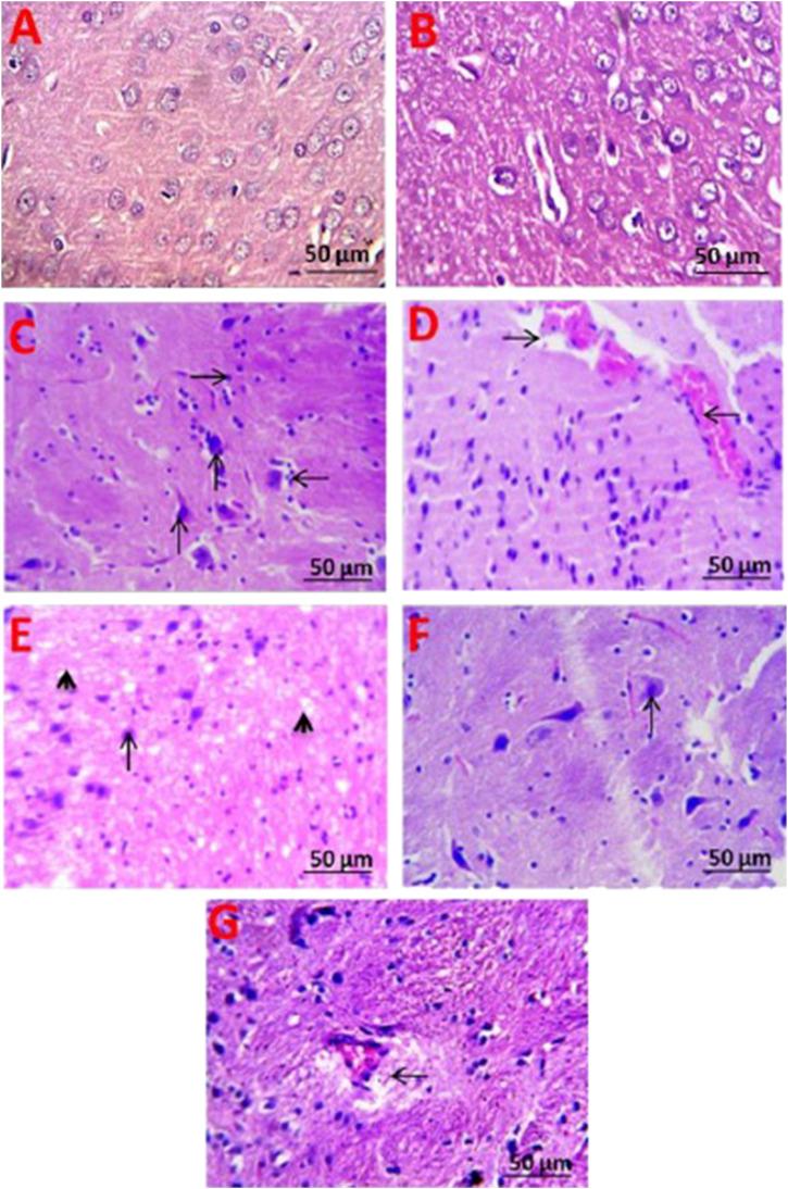
HD irradiation-induced brain injury as manifested by elevation of oxidative stress, DNA damage, apoptotic, and inflammatory markers in brain tissue. Histological examination of brain sections showed marked alterations. However, LD alone or combined with ALA ameliorated the changes induced by HD.

CONCLUSION

Under the present experimental conditions, LD whole-body irradiation exhibited neuroprotective activity against detrimental effects of a subsequent HD head irradiation. This effect might be due to the adaptive response induced by LD that activated the anti-oxidative, anti-apoptotic, and anti-inflammatory mechanisms in the affected animals making them able to cope with the subsequent high-dose exposure. However, the combined LD exposure and ALA supplementation produced a further modulating effect in the HD-irradiated rats.

摘要

目的

本研究旨在探讨低剂量(LD)全身γ射线照射单独或联合α-硫辛酸(ALA)给药在调节高剂量(HD)头部照射诱导的大鼠脑损伤中可能的辐射适应性机制。

材料与方法

大鼠在HD(20 Gy)照射前24小时接受LD(0.25 Gy)照射,并在HD照射后5分钟给予ALA(100 mg/kg/天),持续10天。实验结束时,处死动物并解剖脑样本进行生化和组织病理学检查。

结果

HD照射诱导脑组织氧化应激、DNA损伤、凋亡和炎症标志物升高,表明脑损伤。脑组织切片的组织学检查显示明显改变。然而,单独的LD或联合ALA可改善HD诱导的变化。

结论

在本实验条件下,LD全身照射对随后的HD头部照射的有害影响表现出神经保护活性。这种效应可能归因于LD诱导的适应性反应,该反应激活了受影响动物的抗氧化、抗凋亡和抗炎机制,使其能够应对随后的高剂量暴露。然而,联合LD照射和补充ALA对HD照射的大鼠产生了进一步的调节作用。

https://cdn.ncbi.nlm.nih.gov/pmc/blobs/c3de/8573698/8eb4218262d9/10.1177_15593258211044845-fig1.jpg

文献AI研究员

20分钟写一篇综述,助力文献阅读效率提升50倍。

立即体验

用中文搜PubMed

大模型驱动的PubMed中文搜索引擎

马上搜索

文档翻译

学术文献翻译模型,支持多种主流文档格式。

立即体验